Найти в Дзене

Несостоятельный рубец на матке. Диагностика и эффективная методика хирургической коррекции

Хочу затронуть тему несостоятельности рубца на матке после оперативных вмешательств.
С данным вопросом сталкиваются планирующие беременность женщины, для которых оценка состояния рубца на матке играет важнейшую роль.

Хочу затронуть тему несостоятельности рубца на матке после оперативных вмешательств.



С данным вопросом сталкиваются планирующие беременность женщины, для которых оценка состояния рубца на матке играет важнейшую роль.

👉Причина несостоятельного рубца на матке:
Повторное кесарево сечение, после первого несостоятельный рубец формируется не чаще, чем у ⅓ пациенток, после второго у ⅔, после третьего почти у 90% пациенток!

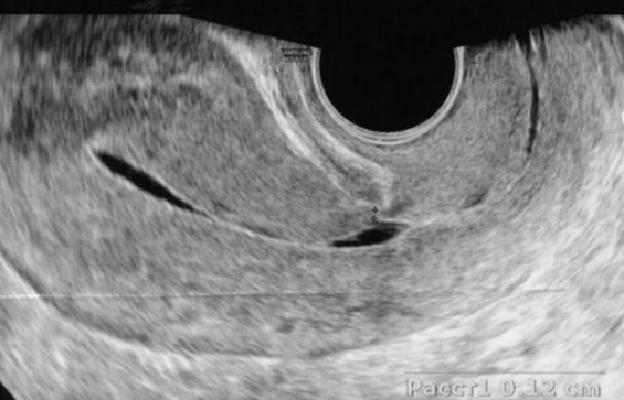
Методами определения состояния рубца является гистероскопия и УЗИ.

Гистероскопию рекомендовано выполнять сразу после менструации.

▫️При несостоятельности рубца определяется «ниша» в области рубца. Белесоватый цвет ткани рубца, отсутствие сосудов говорят о преобладании соединительнотканного компонента, а «ниша» - об истончении миометрия в результате неполноценной регенерации.

▫️Невизуализируемый маточный рубец и рубец с преобладанием мышечной ткани служат признаком его анатомической и морфологической полноценности.

▪️К УЗ-признакам несостоятельности рубца на матке относят неровный контур по задней стенке наполненного мочевого пузыря, истончение миометрия, прерывистость контуров рубца, значительное количество гиперэхогенных включений.

Измеряют 3 размера ниши и толщину миометрия в области рубца. Толщина миометрия в области рубца менее 3 мм — абсолютное показание к хирургическому лечению, если женщина планирует забеременеть.

☝В результате принимается окончательное решение о допустимости отмены контрацепции и дальнейшей возможности безопасно беременеть.

✔️В случаях, когда у женщины формируется несостоятельный рубец на матке, возможна его коррекция.

Но здесь есть риски❗️

Лапароскопическая коррекция патологически измененного рубца часто проходит с большей кровопотерей, чем открытая операция, длится дольше и связана с достаточно высоким риском перехода на открытую; хирург формирует менее надёжный шов на стенке матки.