Добавить в корзинуПозвонить
Найти в Дзене
Караван Ярмарка

В Твери спасают белоснежного хаски

В Твери защитники животных борются за жизнь белоснежного хаски, у которого  даже нет пока клички. Пса нашли сбитым на обочине дороги Кимры-Тверь.

В Твери защитники животных борются за жизнь белоснежного хаски, у которого  даже нет пока клички. Пса нашли сбитым на обочине дороги Кимры-Тверь. Неизвестно сколько он там пролежал в ожидании помощи. Тверские хирурги не рискнули прооперировать собаку и посоветовали ехать в ветеринарную клинику в Москве.

На животе собаки волонтеры нашли клеймо. Позвонили в клуб и выяснили, что это породистый хаски. За три года своей жизни он сменил трех хозяев, последние из которых малоимущая семья. В клубе  посоветовали не искать их и заниматься псом самим.

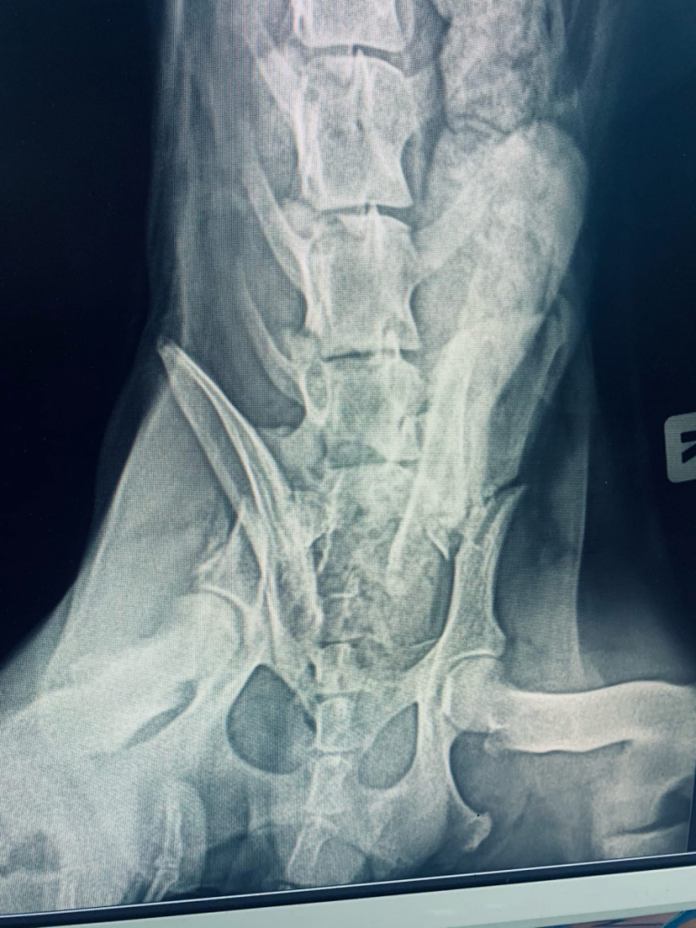
Волонтеры отвезли собаку в Москву, где ему провели очень сложную многочасовую операцию. Оказалось, у сбитого пса перелом таза. И это ДТП — не первое в его недолгой жизни, о чем говорят  рентгеновские снимки.

-2

На лечение хаски уже потратили больше 75 тысяч рублей и впереди ещё приличные расходы на сложный медицинский уход в ветеринарном госпитале. Пес пока самостоятельно не может даже ходить в туалет. Волонтеры просят оказать посильную материальную помощь на лечении собаки. Реквизиты для оказания помощи здесь .

Подписывайтесь на наш канал  в «Яндекс. Дзен» и заходите на сайт газеты «Караван. Ярмарка» , где вы найдёте не только самые свежие новости и самую качественную авторскую аналитику, но и тысячи объявлений .