Добавить в корзинуПозвонить
Найти в Дзене
ВетСовет

Осторожно, клещ! или лечим пироплазмоз

Тема статьи- опасное и сезонное заболевание .
Данная информация будет полезна владельцам собак,ведь в средней полосе нашей страны активно тает снег,а значит клещи уже на подходе.Через пару дней начнется "клещевой "сезон,а значит надо быть во всеоружии!
ФОТО ИЗ СВОБОДНЫХ ИСТОЧНИКОВ
Что такое пироплазмоз?
Оглавление
Тема статьи- опасное и сезонное заболевание .
Данная информация будет полезна владельцам собак,ведь в средней полосе нашей страны активно тает снег,а значит клещи уже на подходе.Через пару дней начнется "клещевой "сезон,а значит надо быть во всеоружии!
ФОТО ИЗ СВОБОДНЫХ ИСТОЧНИКОВ
ФОТО ИЗ СВОБОДНЫХ ИСТОЧНИКОВ

Что такое пироплазмоз?

Пироплазмоз или бабезиоз - заболевание крови,а именно эритроцитов,в которых поселяется простейший микроорганизм. Болезнь сопровождается сильной лихорадкой,анемией, желтухой и поражением почек, расстройством функции сердечно-сосудистой системы.
При отсутствие лечения в 85 % случаях наступает гибель.

Кто возбудитель?

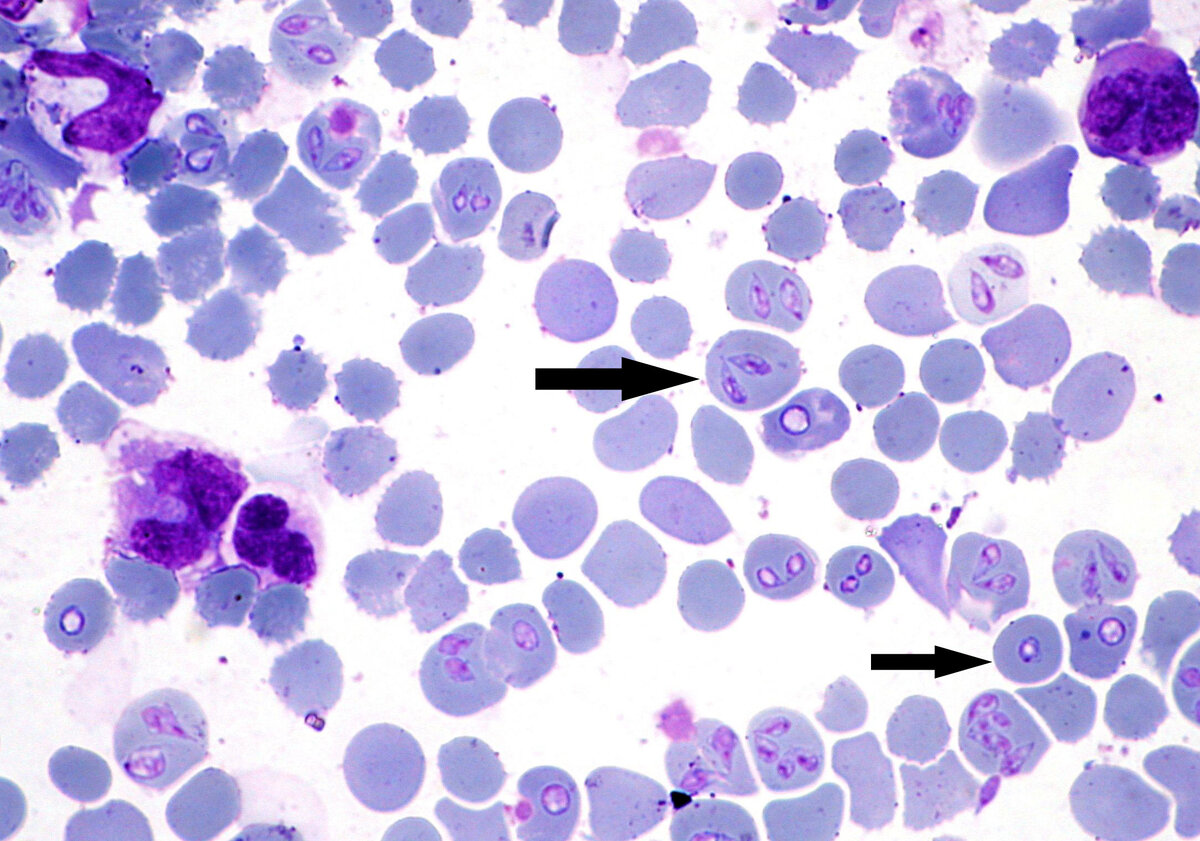
Возбудителем болезни являются Babesia canis / Babesia gibsoni.
Это простейшие микроорганизмы овальной,круглой, грушевидной формы. Они локализуются в эритроцитах, иногда лейкоцитах, плазме крови,редко в органах.

стрелкой выделена бабезия канис
стрелкой выделена бабезия канис
стрелкой выделена бабезия гибсони
стрелкой выделена бабезия гибсони

В организм собаки бабезии проникают после укуса клещей рода Dermacentor , рода Ixodes ricinus (собачий клещ).У клещей эти кровепаразиты находятся в слюнных железах.После начала сосания крови через 36-48 часов возбудители пироплазмоза становятся способны к заражению собак и вместе со слюной клеща устремляются в кровь.
Считается,что КАЖДЫЙ КЛЕЩ является переносчиком этих кровепаразитов,потому что бабезии присутствуют не только в слюнных железах клеща,но и в яйцах самок,а значит и нимфы(молодые клещи) уже инвазированны (заражены). Бабезии передаются у клещей из поколения в поколение.
Клещи проявляют активность с апреля по октябрь,когда температура воздуха ночью и днем становится больше 4
°С.
Встретить их можно в траве, они сидят на стеблях растительности с вытянутыми конечностями и цепляются за различные движущиеся объекты,попав на которые около 20-30 минут ищут место прикрепления для кровососания.

Ixodes ricinus -собачий клещ
Ixodes ricinus -собачий клещ

После попадания в кровеносное русло собаки бабезии проходят несколько стадий развития. В конечном итоге зрелые бабезии паразитируют в эритроцитах и в процессе своей жизнедеятельности разрушают их. В момент заболевания пироплазмозом в крови собаки циркулируют не только бабезии в эритроцитах,но и другие стадии развития паразита в плазме крови и клещ,кусая такую собаку также вместе с кровью получает одну из форм бабезий,которая "дозревает"в его организме и вновь выходит со слюной,заражая при укусе других собак.

Что происходит в организме?

1.Разрушение эритроцитов приводит к уменьшению их числа в крови (развивается анемия).

2.При разрушении эритроцитов из них выделяется гемоглобин. Гемоглобин захватывается клетками печени и превращается ими в билирубин. Если в здоровом организме этот процесс происходит при умеренном количестве гемоглобина( эритроцит живет в среднем 120 суток ,затем погибает ), то при пироплазме гибнет огромное количество эритроцитов,а значит и гемоглобина также много. Печень не может справится с такой нагрузкой, нарушается ее структура ( она увеличивается и становится болезненной) и функции (нарушается пищеварение, развивается желтуха). В крови появляется избыточное количество билирубина,который по своей структуре является токсичным веществом.

3.В организме развивается интоксикация. От этого страдает сердечно-сосудистая, выделительная и другие системы организма.

4.Билирубин в избыточном количестве в крови при фильтрации в почках проникает в мочу и окрашивает ее в красный/бурый цвет.Структура почек при этом нарушается.

Симптомы

Симптомы будут проявлятся в соответствии с патогенезом.
Инкубационный период - 2- 10 дней.

1.Угнетение,вялость.
Собака отказывается от игр, неохотно идет на прогулки или просто лежит.В самый разгар болезни питомец может начать подволакивать задние конечности или будет наблюдаться их тремор.
2.Отстутствие аппетита (анорексия).
Питомец прекращает проявлять интерес к еде,даже отказывается от любимых прежде лакомств.
3.Полидипсия.
Начинающуюся интоксикацию животное пытается снять увеличением количества жидкости.
4.Повышенная температура тела.(гипертермия)
У собаки температура тела может достигать более 39.5 С.
5.Нарушение в работе ЖКТ.
Возможна диарея с примесью крови или диарея с ярко-желтым оттенком кала.У животного наблюдается болезненность в области брюшной стенки с акцентом на область печени.
Возникает
желтуха! Видимые слизистие оболочки( ротовая полость и склера глаз) окрашиваются в желтый цвет.

желтушное окрашивание слизистой ротовой полости
желтушное окрашивание слизистой ротовой полости

6.Анемия
Слизистые оболочки становятся бледными ( в норме розовые).Затем ,как правило, приобретают желтушность.
7.Изменения в работе почек.
Моча становится сначала розовая,затем красная и впоследствии бурая/кофейная. Цвет мочи напрямую зависит от тяжести заболевания! Чем она темнее,тем в хуже прогноз!

Летальность без лечения сильно варьирует от возраста, породы и условий содержания животного,но в целом составляет 85%!

Лечение

Терапию данного заболевания необходимо начать как можно раньше!Прогноз болезни сильно зависит от того, в каком состоянии начато лечение!
1.Этиологическая терапия
Антидот -вещество,которое после введения в организм нарушает обмен веществ бабезии (подавляет поступление инозитола ,необходимого для жизнедеятельности кровепаразита) и приводит к ее гибели.
Самый эффективное действующее вещество - имидокарб и препараты на его основе : ПИРО-СТОП, ИМИДОСАН,ФОРТИКАРБ,БАБЕЗАН.

Пиро-стоп,фото из свободных источников
Пиро-стоп,фото из свободных источников

Также возможно использование препаратов на основе диминазена : НЕОЗИДИН ,АЗИДИН,БЕРЕНИЛ.
Перед введением антидота рекомендуется провести введение антигистаминных.
2. Симптоматическая и поддерживающая терапия.
При необходимости проводится:
1. Инфузионная терапия(установка венозного катетера и введение глюкозы,физиологического раствора и комплексных препаратов для устранения дегидратации(обезвоживания))

ИНФУЗИОННАЯ ТЕРАПИЯ,ФОТО ИЗ СВОБОДНЫХ ИСТОЧНИКОВ
ИНФУЗИОННАЯ ТЕРАПИЯ,ФОТО ИЗ СВОБОДНЫХ ИСТОЧНИКОВ

2. Назначение гепатопротекторов (Гепатовет, Гепатиале форте,Гепатоджект, Гептрал,Карсил)
3.Витаминотерапия (Витам,Гемобаланс, Катозал)

О ЭФФЕКТИВНОЙ ПРОФИЛАКТИКЕ РАССКАЖУ В СЛЕДУЮЩЕЙ СТАТЬЕ!

Надеюсь,что статья была полезна!

Искренне Ваш,ВетСовет