Добавить в корзинуПозвонить
Найти в Дзене

Как выглядит вирус чумы?

Рассказываем и показываем, как выглядит вирус чумы плотоядных под микроскопом. Материал исследования – кровь
Пациент – собака
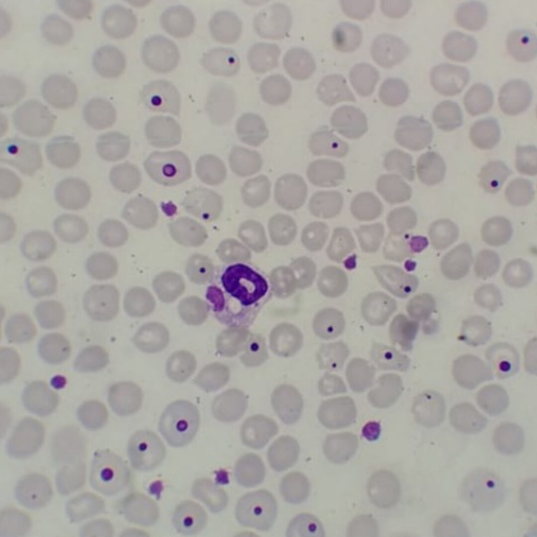
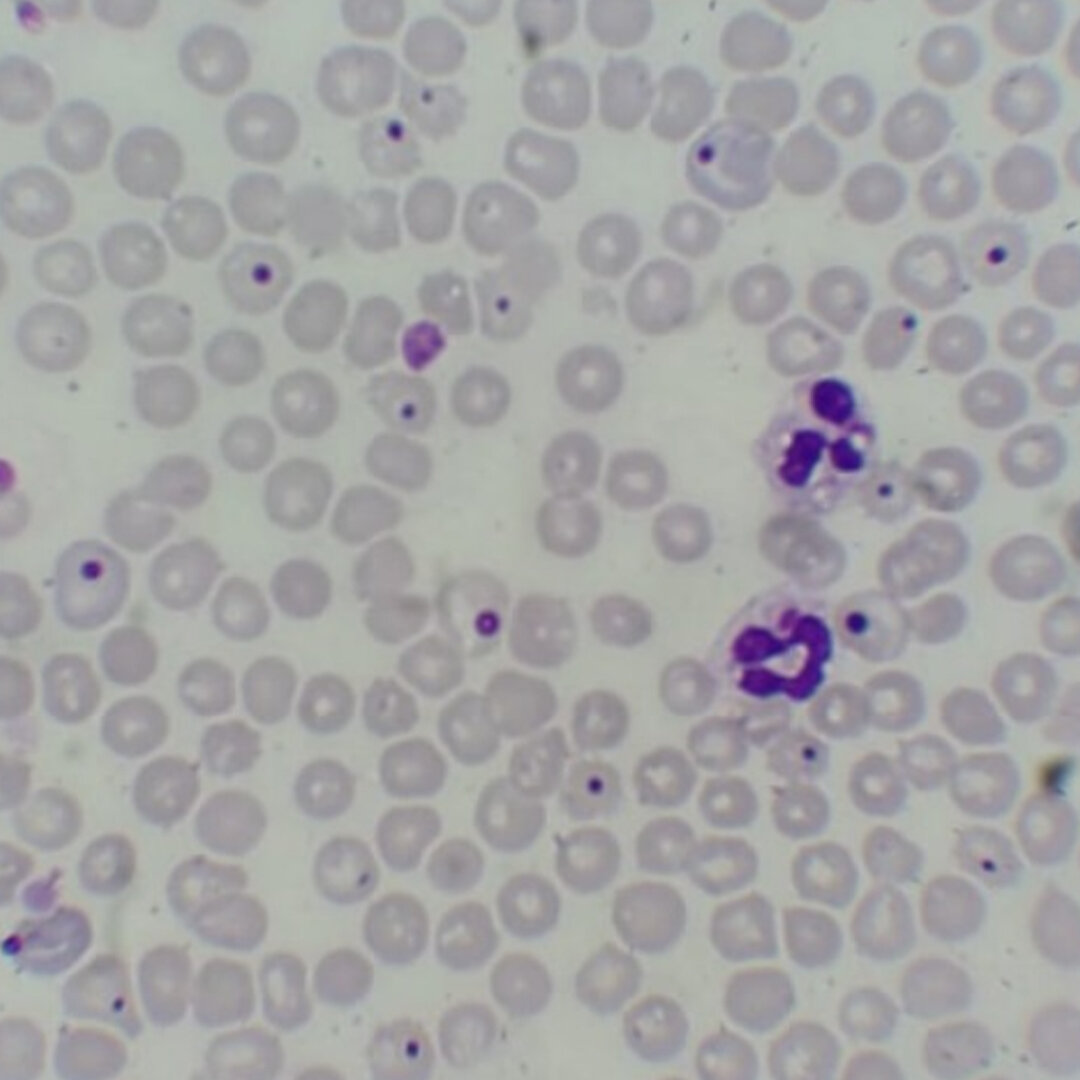
В мазке обнаружены тельца-включения, содержащие вирус чумы плотоядных. Включения на ранних стадиях крупные – до 3 мкм, округлой или овальной формы, цвет от синевато-серого до пурпурного. Именно тельца включения хорошо и ярко окрашиваются быстрыми красителями (Diff-Quick), по сравнению с краской Райта. Вирус чумы собак Canine distemper virus, CDV – одноцепочечный РНК вирус из семейства Paramyxoviridae, известен как Canine morbillivirus.
Болезнь распространена во всем мире. Как этиологический агент чумы собак, вирус известен с 1760 года. Будучи высокотропным к эпителиальным, лимфоидным и тканям нервной системы CDV поражает системы органов дыхания, пищеварения, лимфатической системы, кожи, скелета и центральной нервной системы, летальность достигает от 30 до 90%. Источники инфекции Главный источник – больные или переболевшие животные. Зараженные особи нач
Оглавление

Рассказываем и показываем, как выглядит вирус чумы плотоядных под микроскопом.

Материал исследования – кровь
Пациент – собака

В мазке обнаружены тельца-включения, содержащие вирус чумы плотоядных. Включения на ранних стадиях крупные – до 3 мкм, округлой или овальной формы, цвет от синевато-серого до пурпурного. Именно тельца включения хорошо и ярко окрашиваются быстрыми красителями (Diff-Quick), по сравнению с краской Райта.

Вирус чумы собак

Canine distemper virus, CDV – одноцепочечный РНК вирус из семейства Paramyxoviridae, известен как Canine morbillivirus.

Болезнь распространена во всем мире. Как этиологический агент чумы собак, вирус известен с 1760 года. Будучи высокотропным к эпителиальным, лимфоидным и тканям нервной системы CDV поражает системы органов дыхания, пищеварения, лимфатической системы, кожи, скелета и центральной нервной системы, летальность достигает от 30 до 90%.

Источники инфекции

Главный источник – больные или переболевшие животные. Зараженные особи начинают выделять вирус спустя неделю после заражения и продолжают выделение вируса около трех месяцев после выздоровления. В окружающую среду вирус попадает с истечениями из глаз, носа, слюной, мочой, калом.

Собака, зараженная вирусом чумы
Собака, зараженная вирусом чумы

Множество штаммов вируса имеют разную степень патогенности и вызывают различные признаки или сочетания:

  • Поражение респираторного тракта
  • Поражение желудочно-кишечного тракта
  • Неврологическая симптоматика
  • Выраженная иммуносупрессия, которая ведет к вторичному инфицированию

Формы чумы плотоядных


Молниеносная
Лихорадка и внезапная гибель животного.

Острая
Лихорадка, конъюнктивит, поражение дыхательной системы (катаральное восполнение гортани, бронхов, миндалин), поражение ЖКТ (рвота, диарея), поражение ЦНС (изменение поведения, локальный миоклонус, тонико-клонические судороги, атаксия, парез), выраженная лейкопения.

Подостаря форма с поражением нервной системы
Энцефалит с судорогами и судорожными приступами. Может наблюдаться после острой формы и субклинического течения. У выздоровевших животных часто наблюдаются поражения ЦНС (нервные тики, непроизвольные движения конечностей и т.д.)

Поздняя форма у стареющих собак
Энцефалит с медленно прогрессирующим поражением нервной системы, гиперкератоз мякишей лап и носового зеркала. Может возникать без острой или подострой формы в анамнезе.

Вирус чумы плотоядных проникает через плацентарный барьер, увеличивая вероятность абортов, появления мертворожденных или ослабленных щенков. Щенки, инфицированные внутриутробно, иммуносупрессивны, у них нередко отмечают поражение ЦНС. Щенки болеют тяжело, смертность высокая. Особенно восприимчивы не вакцинированные щенки от 3-6 месяцев, а также животные с ослабленной иммунной системой.

Эффективная мера профилактики – вакцинация.

Диагностика чумы плотоядных

ОТ-ПЦР в режиме реального времени
Метод позволяет выявить РНК вируса в тканях и жидкостях заболевшего животного. Максимальная вирусная нагрузка выявлена в пробах мочи, смывах с конъюнктивы, миндалин и цельной крови – самых информативных биоматериалах.

ИФА
Используется для определения антител класса IgG и IgM к CDV.

  • Повышенные титры сывороточных антител класса IgM выявляются в сыворотке крови собак в период острой фазы на 8 день инфицирования.
  • Высокие титры антител IgG могут свидетельствовать о перенесенном заболевании или проведенную вакцинацию. ИФА, направленный на выявление антител IgG позволяет диагностировать хроническую форму чумы с инфицированием тканей нервной системы.

Лаборатория VET UNION проводит тесты и комплексы исследований для выявления чумы плотоядных.

AN322НОС – Вирус чумы плотоядных (CDV)

AN237ЧЕК – ВакциЧек, определение антител класса IgG к аденовирусу тип I: вирусный гепатит собак (СAV I), парвовирусу (CPV), чуме плотоядных (CDV).

AN89ОБС – Желудочно-кишечный большой профиль: парвовирус собак (CPV 2), коронавирус собак (CCoV 1), аденовирус 1 типа (вирус гепатита собак, CAV 1), вирус чумы плотоядных (CDV), гиардиа (Giardia spp.), криптоспоридии (Cryptosporidium spp.)), ротавирус (Rotavirus).

AN122ОБС – Желудочно-кишечный большой профиль: парвовирус собак (CPV 2), коронавирус собак (CCoV 1), аденовирус 1 типа (вирус гепатита собак, CAV 1), вирус чумы плотоядных (CDV), гиардиа (Giardia spp.), криптоспоридии (Cryptosporidium spp.)), ротавирус (Rotavirus).

AN121ОБС – Желудочно-кишечный профиль: парвовирус собак (CPV 2), коронавирус собак (CCoV 1), аденовирус 1 типа (вирус гепатита собак, CAV 1), вирус чумы плотоядных (CDV).

AN90ОБС – Желудочно-кишечный расширенный профиль собак: парвовирус собак (CPV 2), коронавирус собак (CCoV 1), аденовирус 1 типа (вирус гепатита собак, CAV 1), вирус чумы плотоядных (CDV), гиардиа (Giardia spp.), криптоспоридии (Cryptosporidium spp.), ротавирус.

AN23ОБС – Респираторный большой профиль: аденовирус 2 типа (респираторный, (CAV 2), бордетелла (Bordetella bronchiseptica), герпесирус собак (CHV 1), парагрипп собак (СPiV), микоплазма (M. cynos), хламидия (Сhlamydia spp.), вирус чумы плотоядных (CDV).

AN122ОБС – Желудочно-кишечный большой профиль: парвовирус собак (CPV 2), коронавирус собак (CCoV 1), аденовирус 1 типа (вирус гепатита собак, CAV 1), вирус чумы плотоядных (CDV), гиардиа (Giardia spp.), криптоспоридии (Cryptosporidium spp.)), ротавирус (Rotavirus).

AN24ОБС – Желудочно-кишечный профиль: парвовирус собак (CPV 2), коронавирус собак (CCoV 1), аденовирус 1 типа (вирус гепатита собак, CAV 1), вирус чумы плотоядных (CDV).