Найти в Дзене
allada_perm

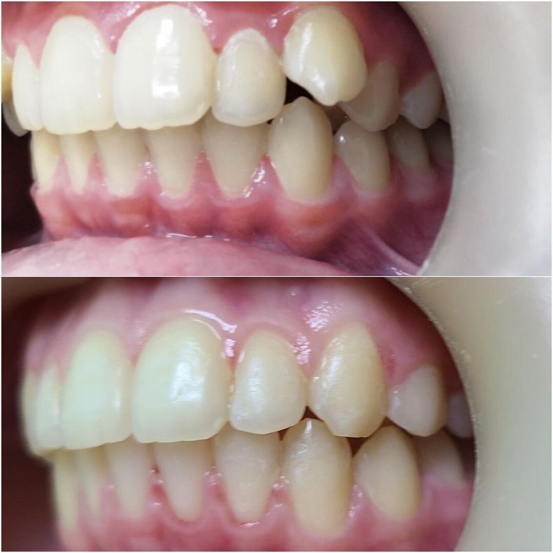
В каком возрасте лучше устанавливать брекеты?

⠀⠀⠀
12 -16 лет организм находится в стадии активного роста, процесс пойдет быстрее.
Размер челюстной кости увеличивается, поэтому брекет-системе работать проще.
⠀⠀⠀
-2
-3
-4

⠀⠀⠀

12 -16 лет организм находится в стадии активного роста, процесс пойдет быстрее.

Размер челюстной кости увеличивается, поэтому брекет-системе работать проще.

⠀⠀⠀

☝️Юный возраст самое благоприятное время для лечения.

⠀⠀⠀

❗Но даже позже ( 50+ лет) зубы вполне сохраняют свой потенциал к смене положения. Дуга точно так же будет воздействовать на зубной ряд, заставляя зубы постепенно выравниваться.

⠀⠀⠀

Лучше сейчас, чем никогда.

1,5 - 2 года - довольно небольшой срок по сравнению с тем, сколько лет вы будете потом радоваться вашей красивой улыбке.

👩‍⚕️ Работа стоматолога - ортодонта Жижчук Альбины Валентиновны

________________________________________ .

Создаем улыбки с 8:00 до 21:00 ежедневно 

Предоставляем рассрочку | кредит.

Вопросы в сообщения группы или по тел.+ 7 (342) 273-01-36

📍ул.Леонова, 23 📍ул.Мира, 69 📍Нефтяников 27

www.sk-allada.ru