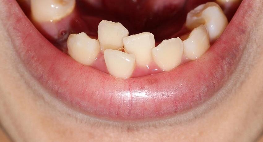
Все мы знаем, что правильный прикус-это красиво, но не все знают, что это ещё и очень важно для нашего с вами здоровья.
Поэтому, чтобы минимизировать эти риски, лучше всего показаться ортодонту.
Все мы знаем, что правильный прикус-это красиво, но не все знают, что это ещё и очень важно для нашего с вами здоровья.
Поэтому, чтобы минимизировать эти риски, лучше всего показаться ортодонту.
...Читать далее
Все мы знаем, что правильный прикус-это красиво, но не все знают, что это ещё и очень важно для нашего с вами здоровья.
Последствий неправильного прикуса на самом деле великое и великое множество:
- Неправильное распределение жевательной нагрузки, одни зубы начинают испытывать пониженную нагрузку(гипофункцию), другие же, наоборот, повышенную(гиперфункцию), что в обоих случаях не есть хорошо. При повышенной нагрузке ускоряется стираемость зубов, она приобретает уже характер патологической, кроме того и десны испытывает повышенную нагрузку, в результате чего просто не выдерживает и начинает опускаться на нижней челюсти, подниматься на верхней, оголяются корни(рецессии), это может привести к повышенной чувствительности, расшатыванию зубов
- Нарушается правильно пережевывание пищи, в результате страдает ЖКТ
- Появляются некариозные поражения зубов, в области тех самых рецессий(клиновидные дефекты), которые тоже могут вызывать повышенную чувствительность
- Из-за значительного изменения местоположения зубов(например, большая скученность) становится очень трудно хорошо вычищать все поверхности зуба, в результате обильное скопление налёта, а это все будущий кариес
- Заболевания пародонта
- Отсутсвие физиологичного смыкания зубов приводит к повышенной нагрузке на сустав, в результате боли в таковом, щелчки и тд, плюс головные, шейные боли
- Скрежет зубами(бруксизм)
- Гипертонус жевательных мышц
- Аномальное положение челюстей приводит к проблемам с дыханием(например, нижняя челюсть занимает заднее положение, в результате чего происходит сужение дыхательных путей, это в свою очередь может проявляться храпами, ночным апноэ, ротовым дыханием
- Неправильная осанка
Поэтому, чтобы минимизировать эти риски, лучше всего показаться ортодонту.