Добавить в корзинуПозвонить
Найти в Дзене
DentaQ_ru

Что такое художественная реставрация зубов и какие материалы для нее используют стоматологи?

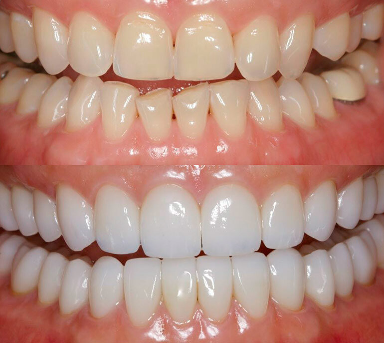
Красивая улыбка - стандартная мечта любого человека. Для ее получения в современной стоматологии много методик. Одна из возможностей - художественная реставрация зубных тканей.
Определение
Под художественной реставрацией понимают методику восстановления анатомической формы зубов с использованием фотокомпозитов и различных искусственных материалов. Главное отличие пломбы от реставрации -
Оглавление

Красивая улыбка - стандартная мечта любого человека. Для ее получения в современной стоматологии много методик. Одна из возможностей - художественная реставрация зубных тканей.

Определение

Под художественной реставрацией понимают методику восстановления анатомической формы зубов с использованием фотокомпозитов и различных искусственных материалов. Главное отличие пломбы от реставрации - естественный цвет эмали. Пломбирование - только лечебная процедура, а при реставрации важен и художественный эффект.

Единственное неудобство: пациенту достаточно долго придется сидеть в стоматологическом кресле.

Идеальный конечный результат процедуры - достижение высокой эстетики зуба. По сравнению с протезированием, реставрация считается более гуманной манипуляцией. Срок службы готовой пломбы составляет около семи лет. Долговечность напрямую зависит от ряда факторов (вредные привычки, рацион питания).

Показания

Художественную реставрацию назначают в следующих случаях:

  • неудовлетворительное состояние цвета зубов;
  • наличие сколов и трещин;
  • незначительное искривление зубного ряда;
  • расширение зубной ткани после глубокого кариеса;
  • изменение местоположения зуба в общем ряду;
  • пигментация;
  • истирание шеек и поверхностей зубов;
  • шиповидные резцы.

Отреставрировать можно не только травмированные зубы, но и решить врожденные проблемы. Уход за реставрированными резцами ничуть не отличается от того, к которому мы привыкли ежедневно: тщательной чистки и использования зубной нити будет достаточно.

-2

При проведении реставрации учитывают жизнеспособность зубов. Восстановлению подлежит практически любой корень с качественно пломбированным каналом. Обязательно должна сохраниться круговая связка зуба.

Положительные и отрицательные моменты

К преимуществам художественной реставрации относят:

  • моментальное достижение желаемого эффекта (стоматолога придется посетить максимум 2 раза), в стандартных случаях за один сеанс можно реставрировать до шести зубов;
  • использование только качественных материалов;
  • зубы после процедуры выглядят естественно, при этом полностью сохраняют свою функциональность.

После реставрации все резцы становятся ровными и приобретают естественный цвет и блеск. Единственный минус процедуры — список противопоказаний.

Этапы реставрации

Реставрация проводится непосредственно в ротовой полости: врач формирует новый зуб прямо на месте.

Зубы возможно реставрировать двумя способами:

  • с помощью светоотражаемого пломбировочного материала;
  • с использованием виниров (специальных зубных накладок).

Виниры применяют, если зубы недостаточно ровные.

К процедуре тщательно готовятся:

  1. Зубы очищают полировочной пастой. Зубной налет исключает прямой контакт кислотного геля и эмали. Поэтому профессиональная гигиена обязательна.
  2. Подбирают соответствующий тон: зубы соотносят со специальной цветовой шкалой.
  3. Для снятия болезненных ощущений используют анестезию.
  4. Осуществляют препарирование разрушенных зубов. Оно должно быть максимально щадящим. На эмали выполняется скос в сорок пять градусов по всему краю полости. Он нужен для маскировки линии перехода.
  5. Если на зубе есть кариес, проводят его высверливание. Главная задача специалиста — сохранить здоровые ткани по-максимуму.
  6. Зуб изолируют от слюны и влажного дыхания. В противном случае качество реставрации существенно ухудшится.
  7. Коронка моделируется при помощи светоотражающих компонентов.
  8. Свежую пломбу шлифуют и подсвечивают ровно одну минуту. Световой луч при этом направляют перпендикулярно.
-3

Существует мнение, что реставрируют только передние зубы, однако это совсем не так. Задние - чаще склонны к повреждениям. Ведь важна не только эстетика, но и возможность откусывать и пережевывать пищу без каких-либо трудностей.

В каких случаях процедура противопоказана?

Абсолютных противопоказаний для проведения реставрации совсем не много:

  • наличие у пациента сердечного стимулятора (может привести к нарушению частоты импульсов прибора, а далее даже спровоцировать остановку сердца);
  • аллергия на используемые препараты (редкий случай);
  • невозможность обеспечить резцу неприкосновенность влаги.

Относительными противопоказаниями считают:

  • бруксизм (скрипение зубами по ночам);
  • глубокое резцовое перекрытие (врачам придется восстанавливать режущий край и зуб у основания);
  • прямой прикус и патологическая стираемость зубов (сначала придется решать вопрос с прикусом).

В большинстве случаев художественная реставрация - не прихоть, а необходимость. Поэтому к выбору клиники и врача следует подходить с максимальной ответственностью. Это гарантия получения долговечного и эстетичного результата.