Найти в Дзене
#fraubeschoten

Почему я никогда не давала пустышку детям, и как от неё избавляются в Германии

Оглавление

Если вы гуляли по Европе, то наверняка вам в глаза бросалось, что дети здесь до школы могут сосать пустышку. Никогда не понимала этой необходимости.

И с первым, и со вторым сыном прошли младенчество без соски во рту.

Вредная привычка

Как молодая мать я всё-таки купила пустышку при ожидании первого сына. Все же пользуются, значит, она может пригодиться. Не пригодилась.

Я пыталась пару раз дать пустышку своему сыну, но он отказался от чужеродного предмета во рту. И причиной тому стало грудное вскармливание по требованию. Вот что безусловно помогает избежать использования силиконового соска.

Использование бутылочек для некоторых - жизненная необходимость. Но какая необходимость может возникнуть в пустышке?

Второму ребенку я даже не покупала уже соску, потому что понимала, что это всего-лишь вредная привычка, к которой родители сами приучают ребёнка, а потом мучительно отучают.

Ребёнок не рождается с соской во рту, и если ему её никогда не давать, он и знать не будет о её существовании и не будет требовать.

Многие вставляют соску ребёнку в холодное время, чтобы не наглотался холодного воздуха. Но ребёнок должен дышать через нос.
Многие вставляют соску ребёнку в холодное время, чтобы не наглотался холодного воздуха. Но ребёнок должен дышать через нос.

Когда мой сын Томас подрос он с удивлением смотрел на детей с пустышкой во рту и хотел понять, что это? Для него это было невиданное чудо. При этом никогда не было никаких проблем с сосанием пальцев - для этого давно придумали рукавички. А вот с появлением зубов можно давать играть с прорезывателем, он не вызывает привыкания и не создает больших проблем с артикуляционным аппаратом.

Мнение логопеда

Мнение об опасности “безобидной” пустышки поддержала и практикующий логопед из Пскова Мария Торженова :

“Как только у ребёнка появляются первые зубы, необходимо избавиться от пустышки. Длительное сосание приводит к патологическим изменениям артикуляционного аппарата. К сожалению, в моей практике часто встречаются родители, которые не смогли отказаться от неё своевременно”.

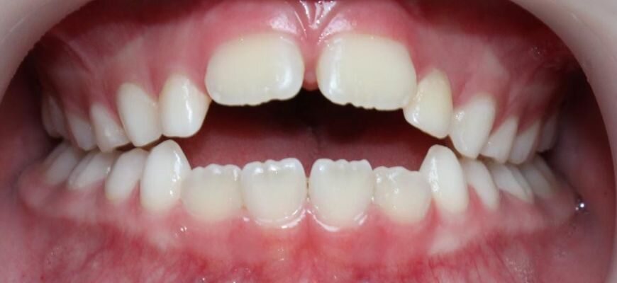
Пустышка может привести к двум большим проблемам со здоровьем ребёнка - неправильный прикус и задержка психоречевого развития.

Фото: kosmetik-dent.ru
Фото: kosmetik-dent.ru

“Если между верхними и нижними зубами образуется щель овальной формы, посещение ортодонта обязательно! Кроме того, задержка речи почти всегда приводит к комплексному расстройству психоречевого развития. А это уже другая и дорогостоящая история.”, - уточнила Мария.

Так что на исправление этих ошибок, а также постановку звуков придётся потратить много сил и времени:

“И здесь всё будет зависеть от степени нарушений, от регулярности занятий и от желания ребёнка сотрудничать. У детей в таких случаях часто проявляется речевой негативизм, они не хотят говорить, ведь раньше всё доставалась по указательному жесту”.

Дерево пустышек

Идея поднять эту тему пришла во время прогулки с моим сыном. В Германии в детских парках устраивают вот такие деревья пустышек. Уже в сознательном возрасте детки приносят сюда свои соски и прощаются с ними.

Детский деревенский дворик в Нойсе (Германия).
Детский деревенский дворик в Нойсе (Германия).

Дерево задумывалось для пустышек, но особо изворотливые родители и от бутылочек решили так избавляться.

Детский деревенский дворик в Нойсе (Германия).
Детский деревенский дворик в Нойсе (Германия).

Можно, конечно, избавиться старым дедовским способом - намазать горчицей, но в украшении дерева присутствует элемент игры. К тому же ребёнок запоминает, что он сам отдал свою соску, поэтому требовать её снова у родителей не имеет смысла.

Если вы надумаете отказаться от соски для своего ребёнка, может, так это сделать будет не сильно травматично. А если вы ещё только собираетесь купить пустышку, то подумайте, а надо ли?

Есть что сказать на эту тему? Делитесь в комментариях!

Советую почитать: С детьми можно всё: Пять необоснованных страхов молодых родителей

Всегда пожалуйста,

Ваша #fraubeschoten

#молодая мама #уход за ребенком #дети #родители #детское здоровье #логопедия

Рада вашим лайкам, отзывам и подпискам.