Найти в Дзене
Scientific

7 invenții care salvează vieți: un articol mare

Cred că unul dintre cele mai importante invenții care salvează vieți au fost instrumente chirurgicale-în timpul săpăturilor arheologice în Grecia și Egipt, seturile lor au fost găsite printre artefacte ce datează din secolele V-VI Î. hr. Odată cu apariția de transport de masă în secolul al XX-lea, dezvoltarea securității la transportare devenit popular. De atunci, puține s-au schimbat în
Оглавление

Cred că unul dintre cele mai importante invenții care salvează vieți au fost instrumente chirurgicale-în timpul săpăturilor arheologice în Grecia și Egipt, seturile lor au fost găsite printre artefacte ce datează din secolele V-VI Î. hr. Odată cu apariția de transport de masă în secolul al XX-lea, dezvoltarea securității la transportare devenit popular. De atunci, puține s-au schimbat în principiu: principalele invenții de salvare sunt concentrate în industrie, medicină și transport.

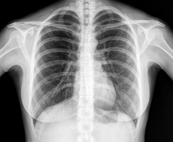
1. Raze X

Razele X sunt primele imagini de diagnostic din lume. Este dificil să ne imaginăm un spital modern fără o astfel de examinare. Aceasta include fluorografie pentru a verifica plămânii noștri și imagini pentru boli articulare sau fracturi osoase. Detectarea precoce a tuberculozei sau a unei tumori în plămâni crește șansele de recuperare. În plus, razele X dure pot distruge celulele canceroase. Principiile radioscopiei moderne sunt utilizate atât în sistemele de securitate (scanere la aeroporturi, gări etc.), cât și în industrie. În metalurgie sau inginerie mecanică, uniformitatea structurii scanate cu raze X indică caracteristici bune de rezistență ale pieselor. În același mod, se verifică rezistența structurilor de beton pentru construcția de locuințe monolitice, cusăturile sudate ale structurilor metalice complexe.

Una dintre cele mai importante invenții care salvează vieți omenești se bazează pe descoperirea lui Wilhelm Conrad Roentgen, un fizician German care a lucrat la Universitatea din Würzburg la sfârșitul secolului al XIX-lea. Radiația pe care a descoperit-o a fost numită după el și mai târziu clasificată ca unde electromagnetice în intervalul dintre radiațiile ultraviolete și gamma. În acel moment, nu se știa că astfel de unde scurte se formează atunci când electronii accelerați sunt decelerați brusc în momentul coliziunii lor cu atomii substanței anodice. Descoperirea a fost întâmplătoare: în 1895, Wilhelm Conrad Roentgen, studiind strălucirea în tubul catodic, a văzut dintr-o dată că, simultan cu pornirea sau oprirea aparatului, lumina începe să apară sau să dispară pe un carton întins lângă el, acoperit cu cristale de bariu platinocyanide. În același timp, tubul catodic a fost înfășurat în hârtie groasă neagră. Pornind și oprind tubul catodic, omul de știință a concluzionat că servește ca o sursă de radiații atotpătrunzătoare, ceea ce face ca cristalele sensibile de platinocianură de bariu să strălucească.

Continuând să studieze razele X, radiografia a primit pe echipamentul său prima imagine a scheletului osos-mâna. De atunci, elementele de bază ale unei convențional cu raze X s-au schimbat puțin: un catod (X-ray) tub, un dispozitiv de alimentare (două transformatoare) , și un film-fotografie de hârtie făcute din argint compuși cu halogeni, care întuneca cu intensitate diferită în funcție de densitatea a transmis materialul și forma, astfel, o imagine.

În 1917, legea exponențială a atenuării radiațiilor în substanțe a fost aplicată analizei imaginilor cu raze X, care au arătat o precizie ridicată. Aceasta a dus la apariția tomografiei computerizate (raze X tridimensionale)-un studiu strat-cu - strat al țesuturilor și crearea unei imagini ținând cont de diferența de absorbție a radiației cu raze X de către diferite țesuturi în densitate. Inventatorii tomografiei sunt americanul Allan Cormack, care a dezvoltat un algoritm matematic pentru reconstrucția imaginii tomografice în 1963, și britanicul Godfrey Hounsfield de la EMI Ltd. Britanicul, folosind algoritmul Cormack, în 1971 a creat primul tomograf cu raze X pentru scanarea creierului. În 1979, ambii au primit Premiul Nobel pentru dezvoltarea tomografiei computerizate. Tomograful oferă un diagnostic mai precis al organelor individuale și este deosebit de important pentru determinarea bolilor creierului și vaselor de sânge. Multe vieți au fost salvate datorită determinării infailibile a tipului de accident vascular cerebral folosind tomografie computerizată, care este încă considerată o condiție importantă pentru diagnosticarea unei astfel de boli.

2. Radioterapia

-2

Prima metodă eficientă de combatere a cancerului a fost radiația cu raze X. Aproape imediat după descoperirea razelor X în 1895, oamenii de știință au observat că arsurile au rămas pe părțile corpului unde a căzut radiația, ceea ce a dus la ideea distrugerii celulelor canceroase cu raze X. Prima sesiune de terapie cu raze X a fost efectuată la 29 ianuarie 1896 la Chicago pentru un pacient cu cancer de sân inoperabil. În timpul experimentelor ulterioare, a devenit cunoscut faptul că radiația cu raze X distruge cel mai eficient structura electronică a moleculelor din țesuturi cu diviziune celulară intensă, caracteristică tumorilor canceroase. Prin urmare, acest tip de radioterapie pentru cancerul pulmonar este încă utilizat și în 10-15% din cazuri duce la vindecarea completă. Cu toate acestea, această metodă are efecte secundare, precum și alte mijloace cele mai comune de combatere a cancerului — chimioterapie (introducerea de medicamente prin sânge sau de a lua pastile). Printre acestea — o scădere a imunității, apetitului, greutății, apariția slăbiciunii, greață, căderea părului.

A doua metodă de radioterapie a fost găsită și la începutul secolelor XIX și XX-odată cu descoperirea radiațiilor și a elementelor radioactive. În 1896, Francezul Henri Becquerel, experimentarea cu sare de uraniu, a descoperit radioactivitatea naturală, iar în 1898, Maria Sklodovskaya și Pierre Curie au descoperit radiația de poloniu și radiu. Apoi au existat și arsuri pe zonele corpului care au fost expuse la radiații. Dar nu au putut doza radiații în acei ani, așa că nu existau puține informații despre efectul cu succes al radiației asupra celulelor canceroase. Cu toate acestea, aceste experimente au fost precursorul radiobiologiei — știința efectelor radiației asupra obiectelor biologice.

În Mai 2013, Mitsubishi Electric Corporation (MELCO) a finalizat asamblarea unui nou sistem de terapie cu protoni pentru tratamentul cancerului, care a fost dezvoltat la Centrul de sisteme energetice al corporației situat în prefectura Hyogo, Japonia. Tehnologia include o serie de soluții inovatoare, cum ar fi un sistem de generare și canalizarea radiație de mare putere, de mare precizie fascicul de poziționare atunci când se utilizează un sistem de scanare, utilizarea combinată a fasciculului de iradiere și de pasiv împrăștiere tehnologii, folosind colimatoare pe o singură masă de operație.

În același timp, creșterea intensității fasciculului de particule a făcut posibilă reducerea duratei iradierii de 4 ori în comparație cu sistemele anterioare, ceea ce înseamnă că pacientul va petrece mai puțin timp într-o stare fixă fixă. De înaltă precizie de poziționare a fasciculului când scanați o tumoare cu o grindă a crescut de 2 ori la 5 milimetri, precum și viteza de scanare-de 5 ori la 100 de milimetri pe secundă, care oferă rapid și precis iradierea chiar tumori complexe, cu minimizat daune la țesuturile sănătoase. În prezent, în lume sunt utilizate două tehnologii de iradiere cu protoni. Sistemul de scanare utilizează un fascicul de particule controlat cu magnet pentru a iradia întreaga tumoră punct cu punct. Tehnologia de împrăștiere pasivă necesită fabricarea preliminară a unui filtru special în funcție de forma tumorii-un colimator, la trecerea prin care un fascicul de particule iradiază uniform întreaga tumoare.

3. Supapă cardiacă artificială

-3

Această invenție a devenit posibilă odată cu dezvoltarea cardiologiei și apariția tehnologiilor de creare a țesuturilor sintetice, a materialelor polimerice care nu sunt respinse de corpul uman.

Milioane de vieți au fost salvate datorită acestei invenții. Inima umană este cu patru camere, iar o defecțiune a cel puțin uneia dintre cele 4 supape duce la o funcționare defectuoasă a întregului mușchi cardiac. În 1957, a fost introdusă prima supapă de funcționare artificială cu piese din oțel inoxidabil, fibră de Nylon și o clapetă din politetrafluoretilenă Teflon (ulterior ambele nume au devenit nume comune și s-au transformat în Nylon și Teflon). Brevetele pentru invenția ambelor materiale inovatoare aparțin companiei DuPont (Nylon în 1935, Teflon în 1937).

Prima supapă implantată în inimă în 1958 avea o clapă din elastomer organosilicon (un polimer cu proprietăți de cauciuc). Supapele moderne sunt împărțite în două tipuri, în funcție de materialul utilizat — mecanic și biologic (de exemplu, din țesuturile valvelor cardiace de porc). În supapele mecanice, elementele din Teflon sunt încă utilizate. Se utilizează, de asemenea, carbon pirolitic, dacron (fibră sintetică).

4. Defibrilator

-4

"O pierdem" - această frază este cunoscută de mulți din scenele filmelor. De regulă, în același timp cu aceste cuvinte, pe monitorul computerului este afișată o linie dreaptă de ritmuri cardiace dispărute. După aceea, două dispozitive asemănătoare fierului sunt aplicate pe pieptul persoanei moarte și se aude sunetul unei descărcări. Dacă ritmul cardiac nu apare pe ecran, procedura se repeta. Repornirea forțat al mușchiului cardiac cu o descărcare electrică a salvat o mulțime de oameni.

Acest dispozitiv este numit "defibrilator" - de la invers la fibrilația cardiacă, când contracțiile musculare ale diferitelor părți apar anormal aritmic.

Cu fibrilație severă, inima se oprește. Acest fenomen a fost studiat mai întâi de Jean-Louis Prevost și Frederic Batelli, care în 1899 a publicat rezultatele cercetărilor lor pe stop cardiac, la câini, după un șoc electric.

În anii 1930, posibilitatea defibrilării prin electroșoc la animale — câini, pisici, broaște-a fost studiată în diferite țări. Până în 1956, Paul Zoll a efectuat prima defibrilare AC de succes de 110 volți într-o operație umană cu inimă deschisă. Din moment ce 1960, defibrilatoarele autonome au fost dezvoltate aproape simultan în mai multe țări. Eficacitatea acestor dispozitive a fost observată atunci când a fost expusă la un impuls electric instantaneu într-o fracțiune de secundă cu o tensiune de 1500-2500 volți pe inima goală în timpul operațiilor și până la 7000 volți cu un piept nedeschis.

5. Stent

-5

Bolile vasculare, împreună cu bolile de inimă, rămân printre cele mai periculoase și frecvente din lume. Stilul de viață sedentar, hrana rapidă, stresul — și deja metabolismul normal este perturbat, lumenul vaselor se schimbă patologic. Acest lucru duce la boli coronariene, atac de cord. Doar un stent-un element artificial de formă cilindrică-poate salva o persoană în această situație. Acesta este de obicei administrat prin artera femurală pe un cateter cu balon din plastic la locul îngustării vasului. Chirurgul observă vizual mișcarea stentului pe ecranul aparatului cu raze X. Când se ajunge la zona afectată a vasului, chirurgul activează alimentarea cu gaz a balonului pe care este atașat stentul — umflarea, balonul îl împinge în peretele vasului. Lumenul necesar al vasului stent este reglat datorită unei anumite presiuni în balon. După aceea, gazul este pompat, dar stentul păstrează lumenul dorit.

Chirurgii cardiaci au discutat mult timp ideea înlocuirii zonei afectate a vasului, dar dificultatea a fost în alegerea corectă a materialelor stent și în tehnologia implantării sale. În cele din urmă, în 1986, Jacques Puel și Ulrich Siegwart au implantat pentru prima dată un stent la un pacient din Franța. Primele stenturi aveau aspectul unui tub din metal pur. Acum ele pot fi reticulate, sub formă de inele și alte forme. Pentru fabricarea lor, se folosesc diverse materiale, există stenturi care secretă medicamente pentru a reduce riscul formării cheagurilor de sânge. Invenția și implantarea stentului au salvat milioane de vieți. Este suficient să spunem că până în prezent, aproximativ 7 milioane de oameni mor în fiecare an în lume din cauza diagnosticării precoce a bolilor coronariene.

6. Centura de siguranță

-6

Acest element important al securității transportului nu a devenit imediat obligatoriu pentru șoferul cu un pasager în mașină și pentru pilotul din avion. Epoca aeronauticii și a industriei auto a început cu inventarea motorului cu ardere internă la începutul secolului al XIX-lea. Nu se știe exact cine a sugerat pentru prima dată utilizarea centurii de siguranță. Se crede că acesta a fost inventatorul englez Sir George Cayley, care lucra la acel moment la crearea aeronavelor. Era o centură obișnuită în jurul taliei, așa cum se află acum pe scaunele avioanelor de pasageri. Odată cu apariția primelor aeronave și a echipajelor autopropulsate, a devenit clar: într-o manevră bruscă sau accident, șoferul și pilotul zboară din scaunele lor prin inerție, ceea ce duce la răni grave sau deces. Prin urmare, centurile de siguranță erau încă relevante la acel moment.

Odată cu începutul epocii industriei constructoare de mașini la sfârșitul secolului al XIX-lea, accidentele au devenit mai frecvente. Unul dintre fondatorii industriei auto franceze, Louis Renault, a propus în 1903 o centură de siguranță în cinci puncte, care este acum instalată pe scaune pentru copii sau mașini de curse. Dar centurile de siguranță au devenit obligatorii în aviație — la începutul anilor 1930. Și prima țară în care instalarea unei centuri a devenit obligatorie în construcția de mașini, în 1957, a fost Suedia. Pentru comparație: Franța a devenit a doua în lume abia în 1970. În acel moment, nu exista un singur standard și au fost instalate diferite tipuri de curele — șold, talie, cinci puncte.

Fostul inginer de aeronave Nils Bolin, care în 1958 a lucrat ca specialist în siguranță într-o companie de automobile, a propus o centură de siguranță universală în trei puncte-peste umăr până la șold. După un an de testare pe manechine, această opțiune a fost aleasă, deoarece a ținut cel mai bine o persoană în accidente și ușor fixată cu o mână. De atunci, a fost folosit mai des decât altele în producerea industrială de mașini. Cu toate acestea, până în 1980, nu exista un singur standard în lume și centurile în trei puncte erau instalate doar pe scaunele din față ale mașinilor.

7. Airbag

-7

Istoria nu a păstrat numele inventatorilor primelor airbag-uri, potrivit unor surse, precursorii unor astfel de dispozitive au fost instalați experimental în aeronave în anii 1930 și 1940. O problemă comună a aviației în acei ani-cowling din cauza erorilor în timpul aterizării pe aerodromuri de câmp, atunci când nasul aeronavei blocat în pământ, urmată de basculare coada înainte. Adesea, piloții au murit în astfel de cazuri de la lovirea capului pe cadrul de observare sau pe tabloul de bord. Dar nu au folosit această invenție în masă în aviație-a început războiul și au apărut probleme mai importante pentru a proteja piloții și avioanele de luptă. Iar construcția de aerodromuri moderne și noi sisteme de control și siguranță în aeronave, în general, au făcut ca instalarea airbag-urilor să fie irelevantă. Referințele la primele brevete pentru airbag-uri auto datează din 1951, când americanul John Hetrick și germanul Walter Linderer și-au înregistrat simultan invențiile. Airbag-ul s-a umflat cu gaz comprimat și au existat opțiuni în care șoferul a activat manual dispozitivul dacă a văzut că o coliziune este inevitabila.

Inginer japonez Yasuzoburo Kobori în 1963 a propus utilizarea unui gaz pyropatron, care a umflat perna, declanșată de impact. Dar totuși, fiabilitatea unui astfel de dispozitiv nu era suficientă pentru o securitate ridicată. Un rol imens în îmbunătățirea acestei tehnologii a fost jucat de inginerul american Allen K. Breed— în 1967 a introdus un senzor cu bilă pentru a determina momentul coliziunii.

Și în 1971, a apărut primul airbag pentru producere în masă, iar din anii 1980, aproape toți cei mai importanți producători auto din Europa și Statele Unite au început să-l instaleze la asamblarea mașinilor produse în masă. Curând, echiparea mașinii cu un astfel de element de siguranță a devenit obligatorie.