Добавить в корзинуПозвонить
Найти в Дзене

ИБС: факторы риска и механизмы развития данной патологии

Болезни сердечно-сосудистой системы являются главной причиной смертности населения, как в нашей стране, так и во всем мире. Именно ишемическая болезнь обусловливает большинство летальных исходов при данной патологии. О том, что является главными факторами развития ИБС и какие изменения происходят при этом в миокарде, и в чем именно заключается опасность данного заболевания, рассмотрим в данной
Болезни сердечно-сосудистой системы являются главной причиной смертности населения, как в нашей стране, так и во всем мире. Именно ишемическая болезнь обусловливает большинство летальных исходов при данной патологии. О том, что является главными факторами развития ИБС и какие изменения происходят при этом в миокарде, и в чем именно заключается опасность данного заболевания, рассмотрим в данной статье.
Система кровообращения сердца
Система кровообращения сердца

Ишемическая болезнь сердца - поражение миокарда ( мышечной оболочки сердца), вызванное нарушением тока крови по коронарным сосудам ( артериям, питающим миокард).

Все причины развития нарушения кровотока можно разделить на 2 группы:

  • органические - в большинстве случаев являются необратимыми, например - стенозирующий атеросклероз
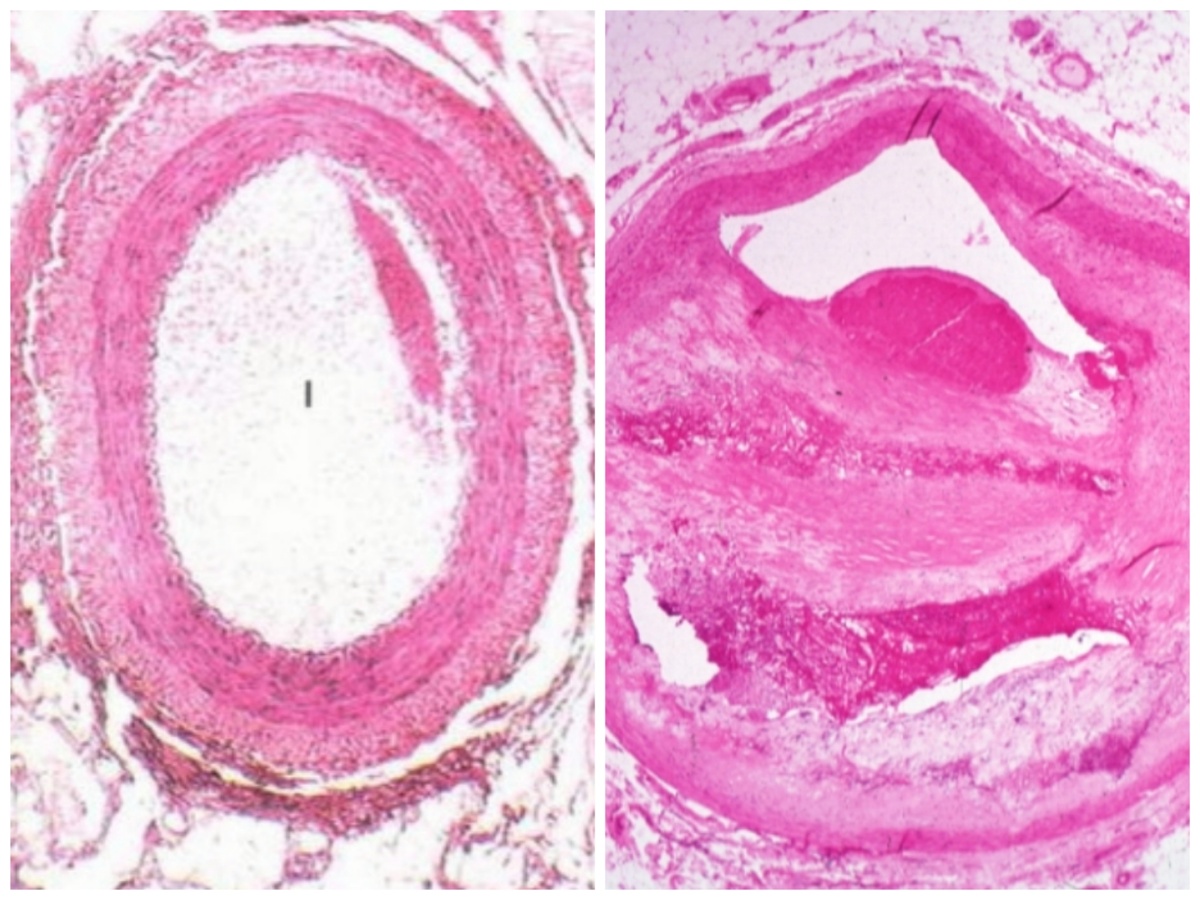
Просвет нормального сосуда/ просвет сосуда с атеросклеротической бляшкой
Просвет нормального сосуда/ просвет сосуда с атеросклеротической бляшкой

функциональные - обратимы на ранних этапах, например - спазм, внутрисосудистый тромбоз

Факторы риска ИБС:

  • высокий уровень холестерина - доказано, что у лиц с уровнем холестерина 5,2-6,7 ммоль/л ИБС встречается в 2 раза чаще, чем у лиц с уровнем холестерина ниже 5,2 ммоль/л
  • высокое артериальное давление - стойкое повышение давления выше 140 мм рт ст, увеличивает риск развития ИБС в 3 раза
  • сахарный диабет - атеросклеротические изменения и ИБС наступают раньше на 10 лет, чем у лиц без данной патологии
  • курение - увеличивает риск развития ИБС до 50%
  • низкая физическая активность
  • избыточная масса тела
  • потребление алкоголя
  • стрессовые факторы - у лиц, склонных к проявлению гнева, депрессии, постоянной тревоги агрессивности - дополнительный стресс, вызывает выброс гормонов катехоламинов в кровь, что в свою очередь, вызывает увеличение пульса и повышение давления, которые увеличивают потребность миокарда в кислороде

Также к факторам риска можно отнести мужской пол, возраст после 45 лет, отягощенный анамнез ( наличие данного заболевания у близких родственников).

Теперь рассмотрим подробнее изменения миокарда при ишемической болезни сердца.

Сердце - это мышечный орган, который работает непрерывно, обеспечивая ток крови по всему организму. На протяжении всей жизни, сердце не останавливается ни на минуту. Именно поэтому потребность сердца в кислороде и питательных веществах - крайне велика.

Ишемия или недостаточное кровообращение, возникает когда потребность миокарда в кислороде превышает возможность его доставки вместе с током крови по сосудам сердца.

В условиях недостатка кислорода происходит нарушение обменных процессов в миокарде, процесса распространения биопотенциалов, и активируется факторы разрушающие клетки сердечной мышцы.

При невозможности восстановления нормального кровообращения по коронарным артериям, происходит нарушение ритма, повреждение и гибель миокарда.

ИБС может привести к развитию хронической или острой сердечной недостаточности.

Хроническая сердечная недостаточность обычно протекает годами. На ранних этапах среди симптомов можно отметить появление одышки, тахикардии, усталости. Если вы отмечаете у себя данные изменения, то необходимо обратиться на прием в поликлинику, чтобы не усугубить свое состояние.

Острая сердечная недостаточность представляет собой значительно большую опасность и если больному не оказать экстренную помощь, может наступить летальный исход.

Самым опасным проявлением ИБС является возникновение инфаркта или инсульта, которые могут привести к снижению качества жизни больного, его инвалидизации или даже к гибели. Помните, чем раньше будет выявлено наличие ИБС, тем легче и эффективнее будет лечение.

Структура нормального миокарда / инфаркт миокарда
Структура нормального миокарда / инфаркт миокарда

Берегите свое сердце и будьте здоровы.