Добавить в корзинуПозвонить
Найти в Дзене

Простыми словами о сложном: что значит стадия опухоли

Во многих случаях рост опухоли - процесс длительный и составляет порядка 3-5 лет. При этом, эффективность лечения определяется величиной новообразования. Поэтому крайне важно выявить рак на наиболее ранних этапах. В России для оценки размера и распространенности опухоли используют классификацию по стадиям и международную систему TNM. Что же значит данная классификация для пациента?
Первичный
Во многих случаях рост опухоли - процесс длительный и составляет порядка 3-5 лет. При этом, эффективность лечения определяется величиной новообразования. Поэтому, крайне важно выявить рак на наиболее ранних этапах. В России для оценки размера и распространенности опухоли используют классификацию по стадиям и международную систему TNM. Что же значит данная классификация для пациента?

Первичный очаг опухоли, как правило, возникает при трансформации одной клетки. Далее, происходит деление атипической клетки на 2, из них уже образуется 4, из четырех - 8 и т.д. Таким образом, за 30 делений из одной клетки опухоли, образуется узел размером в 1 см. А через 40 делений вес опухоли может достигнуть 1,5 кг, что вызовет смерть больного.

Темпы удвоения определяются индивидуальными особенностями опухоли и организма: локализацией, полом, возрастом, образом жизни и т.д.

Например:

  • При раке легкого опухоль удваивается примерно за 88 суток.
  • При лейкозах - за 4 дня
  • При аденокарциноме прямой кишки - за 2 года.

Теперь, поговорим более подробно о классификации опухолей, которую указывают в диагнозе.

Группировка по стадиям (0-4) зависит от размера опухоли, ее прорастания в ткани и соседние органы, а также наличия метастаз.

Для каждой опухоли характерны свои принципы стадирования, остановимся с вами на наиболее распространенных - эпителиальных.

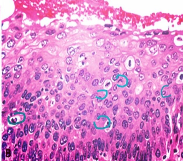
0 - стадия - клетки опухоли располагаются в пределах базальной мембраны, рост в ткани отсутствует. Клиническая симптоматика крайне скудна. Данную стадию чаще всего называют предраковой, либо - ca in situ.

Рак  ca in situ шейки матки
Рак ca in situ шейки матки

- начальные признаки прорастания в нижележащие ткани - инвазии. Клинические проявления обычно отсутствуют, диагностируется во время биопсии.

1b - опухоль размером до 2 см и ограничена несколькими слоями ткани органа. Метастазы обычно отсутствуют.

Рост плоскоклеточного рака в шейке матки
Рост плоскоклеточного рака в шейке матки

2 - опухоль величиной 2-5 см. Могут быть единичные метастазы в близлежащие ( регионарные) лимфоузлы.

Аденокарцинома кишки
Аденокарцинома кишки

3 - опухоль более 5 см, прорастает все слои органа, иногда и окружающие ткани, множественные метастазы в регионарные лимфоузлы.

Метастаз аденокарциномы толстой кишки в регионарный лимфоузел
Метастаз аденокарциномы толстой кишки в регионарный лимфоузел

4 - опухоль больших размеров и ростом в окружающих тканях. Метастазы в регионарные лимфоузлы и другие органы.

Метастаз меланомы в печень
Метастаз меланомы в печень

Международная классификация TNM включает в себя 3 основных признака:

T - (ТУМОР) характеризует размер опухоли

N - (НОДУЛИ) обозначает рост опухоли в лимфатических узлах

M - (МЕТАСТАЗЫ) - индекс, обозначающий наличие или отсутствие метастазов в отдаленные органы.

Для корректного подбора лечения параллельно используют обе классификации.

В зависимости от стадии опухолевого процесса выделяют следующие виды диагностики:

  • раннюю - включает 0, 1а, стадии
  • своевременную - 1b и 2 стадии
  • позднюю - 3 и 4 стадии

Наиболее эффективно лечение при ранней своевременной диагностике.

  • Пятилетняя выживаемость при ранней диагностике составляет 90-100%
  • При своевременной - 50-80%
  • И на поздней стадии диагностики -10-40%

Таким образом,эффективность лечения зависит прежде всего от своевременного обращения к врачу.

Ознакомиться с первыми клиническими проявлениями рака можно в моей статье:

https://zen.yandex.ru/media/id/5f5679803b3fcc0674830f01/profilaktika-raka-pri-poiavlenii-kakih-simptomov-neobhodimo-obratitsia-k-vrachu- 603f4a615f6b8d26fe74bbbb

И с профилактикой меланомы: https://zen.yandex.ru/media/id/5f5679803b3fcc0674830f01/profilaktika-melanomy-kakuiu-rodinku-stoit-pokazat-vrachu-603d22b28c22e678cf3ed871