Добавить в корзинуПозвонить
Найти в Дзене
Юлия Селютина

Лечение 16 молочных зубов за одно посещение!

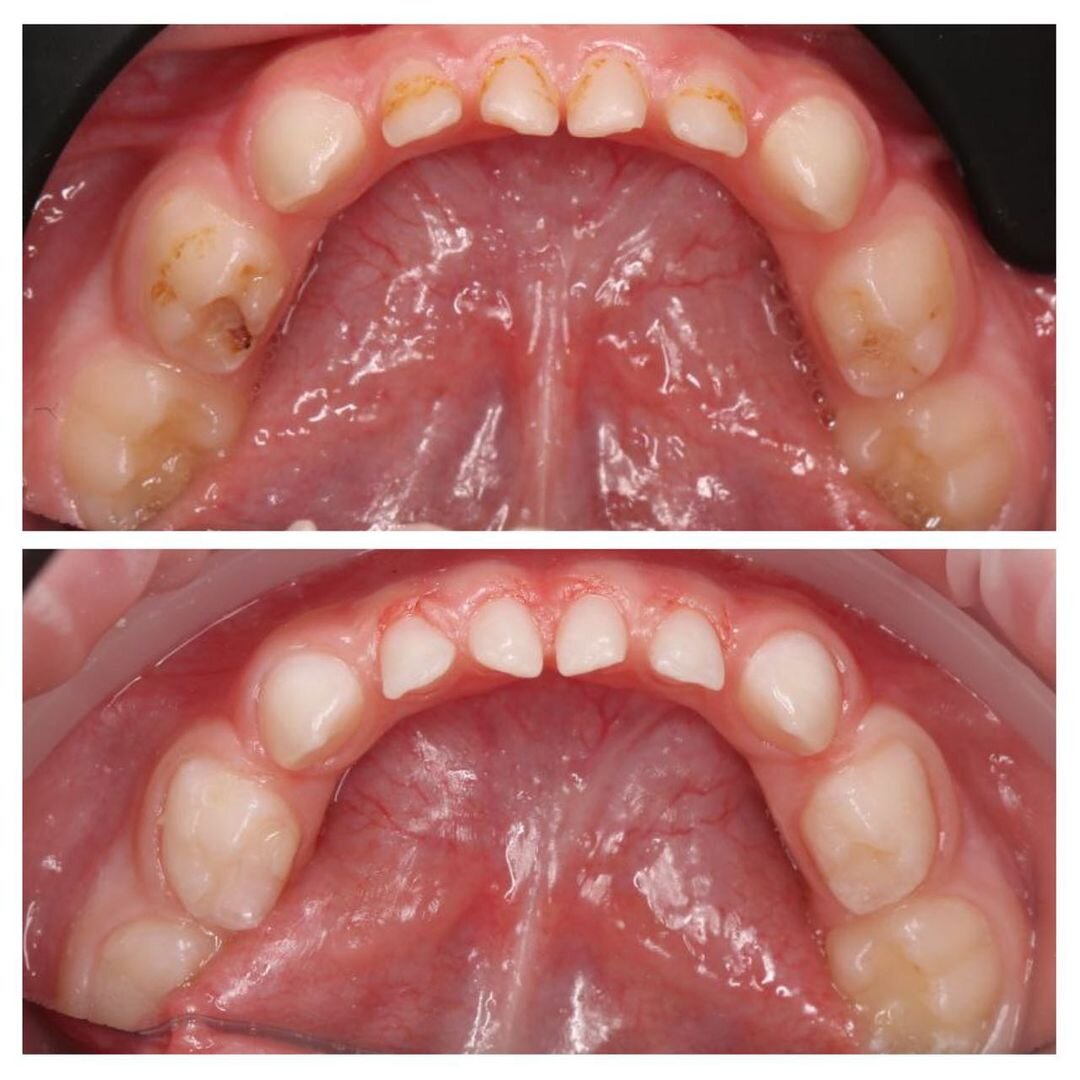
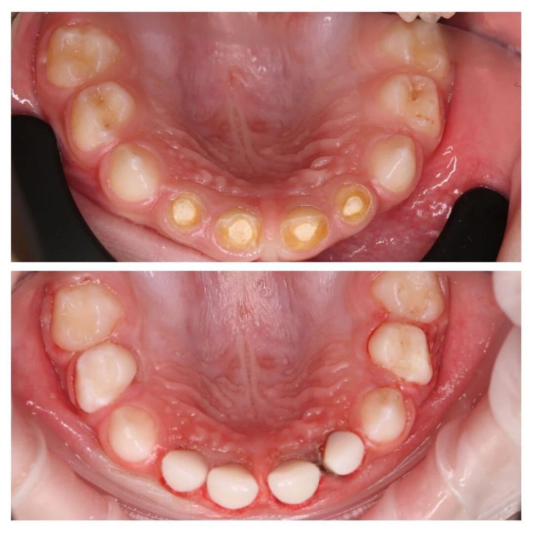
Верхние резцы прорезываются одними из первых и страдают сильнее всего.
Наглядный пример — наш маленький пациент.
Ему всего 2,5 года, а от четырех верхних резцов практически ничего не осталось.
Всё «съел» кариес❗

Верхние резцы прорезываются одними из первых и страдают сильнее всего.

Наглядный пример — наш маленький пациент.

Ему всего 2,5 года, а от четырех верхних резцов практически ничего не осталось.

Всё «съел» кариес❗

Кроме резцов пострадали практически все остальные зубы.

К сожалению, у кариеса нет приоритетов — где условия позволяют, там и появляется.

Малыша лечили под наркозом.

А теперь внимание, сколько зубов было поражено?

ШЕСТНАДЦАТЬ!

❗16 зубов вылечила за 4 часа наш детский стоматолог Мария Штельмах!

Это невероятно сложная, кропотливая и точная работа!

Требуется колоссальная усидчивость, внимательность и максимальная концентрация не только врачу, но и всей команде помогающих специалистов.

• Сделано 8 реставрации;

• Вылечен 1 пульпит и 4 кариеса;

• Загерметизированы 3 зуба.

Не устану восхищаться врачами в #ЦентрСелютиной!

Ну герои ведь, правда?

ИМЕЮТСЯ ПРОТИВОПОКАЗАНИЯ. НЕОБХОДИМА КОНСУЛЬТАЦИЯ СПЕЦИАЛИСТА.

-2
-3
-4