Найти в Дзене
Поговори со мной

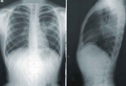
Мифические метастазы. Как не спутать рак легкого с коронавирусом?

Из-за схожести симптомов коронавирус можно спутать с раком легких. У пациентов с COVID и онкобольных всегда появляется кашель, отдышка и усталость. Кроме того, даже компьютерная томография не всегда может отличить рак от коронавируса.

Из-за схожести симптомов коронавирус можно спутать с раком легких. У пациентов с COVID и онкобольных всегда появляется кашель, отдышка и усталость. Кроме того, даже компьютерная томография не всегда может отличить рак от коронавируса. Рассказывает врач-онколог, эндоскопист Иван Карасев:

"На пике самой болезни, когда она переходит в пневмонию, и на фоне ярко выраженного отека ткани очень сложно поставить правильный диагноз посредством лучевых методов или общения с пациентом. Самая распространенная ошибка заключается в том, что врачи делают рентген или КТ один раз, пропуская контрольное исследование. То есть после того как пациент перенес заболевание, обязательно нужно делать контрольный снимок, и тогда будет понятно, действительно, это был ковид или все-таки пневмония ассоциирована с раком легкого.

Исход всех ковид-пневмоний - это образование фиброзных очагов в легких, и тут идет дифференциальная диагностика, которая помогает понять, действительно ли это фиброз или ранняя форма рака легкого. Кроме того, после того как пациент переболел коронавирусом, у него довольно быстро улучшается состояние, в течение одной-двух недель. А у людей с онкологией, наоборот, картина негативная и она с каждым днем ухудшается".

-2

К сожалению, ранние стадии рака легких никак себя не проявляют до тех пор, пока не наступает генерализация процесса, то есть когда опухоль увеличивается до таких размеров, что появляется клиническая картина - кровохарканье, постоянная усталость, образование ателектаза, когда опухоль закупоривает просвет легкого и в нем скапливается секрет, некая слизь и развивается пневмония.

Что касается КТ, то если человек делает снимок не во время болезни, то рак можно увидеть в относительно ранней стадии, когда опухоль еще размером с сантиметр.

По словам онколога Ивана Карасева, кроме рака легких никакие другие болезни перепутать с COVID-19 нельзя. Все остальные заболевания имеют свою конкретную клиническую картину. Да и у COVID есть свои особенности. Как правило, заболевший человек, теряет обоняние или вкус, чего не бывает при раке легких.

Подписывайтесь на наш дзен-канал, здесь много интересных историй, а также советов личных и профессиональных.