Описание флюорограммы
Результаты флюорографии готовят обычно несколько дней, после этого полученную флюорограмму рассматривает рентгенолог. В том случае, если была проведена флюорография здоровых легких, на дальнейшее обследование пациента не отправляют. Если рентгенолог обнаружил изменения легочной ткани, человека могут
Описание флюорограммы
Результаты флюорографии готовят обычно несколько дней, после этого полученную флюорограмму рассматривает рентгенолог. В том случае, если была проведена флюорография здоровых легких, на дальнейшее обследование пациента не отправляют. Если рентгенолог обнаружил изменения легочной ткани, человека могут
...Читать далее
26.10.2015
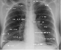
Расшифровка флюорограммы после прохождения флюорографии легких
Описание флюорограммы
Результаты флюорографии готовят обычно несколько дней, после этого полученную флюорограмму рассматривает рентгенолог. В том случае, если была проведена флюорография здоровых легких, на дальнейшее обследование пациента не отправляют. Если рентгенолог обнаружил изменения легочной ткани, человека могут отправить для уточнения диагноза на рентгенографию или в противотуберкулезный диспансер.
К снимку, полученному после флюорографии легких, прилагается заключение рентгенолога, в котором могут значиться такие формулировки:
- корни расширены, уплотнены . Корни легких формируют лимфатические узлы и сосуды, легочная вена и артерия, главный бронх, бронхиальные артерии. Уплотнение в этой области при общем удовлетворительном состоянии здоровья указывает на бронхит, воспаление легких и другие воспалительные, возможно хронические процессы.
- Корни тяжисты. Чаще всего такое заключение после проведенной флюорографии легких указывает на бронхит или другой острый/хронический процесс. Такое изменение легочной ткани часто обнаруживают на флюорографии легких курильщика.
- Усиление сосудистого (легочного) рисунка . Легочный рисунок образуют тени вен и артерий легких и если кровоснабжение из-за воспаления усилено, а это может и бронхит, и начальная стадия рака, и воспаление легких, на флюорографии заметно, что сосудистый рисунок слишком выделяется. Кроме этого, выявленное на флюорографии легких усиление рисунка может указывать и на проблемы сердечно-сосудистой системы.
- Фиброзная ткань . Обнаруженная соединительная ткань в легких говорит о том, что ранее человек перенес заболевание легких. Это могла быть травма, инфекция или операция. Несмотря на то, что подобное заключение указывает на потерю части легочной ткани, такой результат часто дает флюорография здоровых легких.
- Очаговые тени. Так называют затемнения области легких на флюорограмме размером до 1 см. Если очаги обнаружены в нижних и средних отделах легких, это может быть пневмония. На сильное воспаление указывает такая формулировка в заключении флюорографии легких: «неровные края», « слияние теней», «усиление сосудистого рисунка». Если же очаги больше ровные и плотные, значит, воспалительный процесс идет на спад. Если очаги обнаружены в верхних отделах легких, это может указывать на туберкулез.
- Кальцинаты. Так называют округлые по форме тени, напоминающие по плотности костную ткань. Опасности подобные явления не представляют, а лишь говорят о том, что у пациента был контакт с больным пневмонией, туберкулезом, зараженным паразитами и т. д., но организм не дал развиться инфекции, а изолировал бактерии-возбудители под отложениями солей кальция.
- Плевроапикальные наслоения, спайки . Обнаруженные на флюорографии легких структуры из соединительной ткани – спайки, в большинстве случаев также не требуют лечения, а лишь указывают на воспаление в плевре в прошлом. Иногда спайки вызывают болезненные ощущения, в этом случае следует обратиться за медицинской помощью. Плевроапикальными наслоениями называют утолщения верхушек легких, и они также указывают на то, что человек перенес воспаление, затронувшее плевру (чаще всего это туберкулез).
- Синус запаян или свободен. Плевральные синусы – это образованные плевральными складками полости. Если легкие здоровые, флюорография покажет, что синусы свободны. Но иногда наблюдаются скопление жидкости (в этом случае требуется лечение) или запаянные спайки.
- Изменения диафрагмы. Такое заключение после флюорографии легких дают в том случае, если у человека обнаружена аномалия диафрагмы, которая могла развиться из-за плохой наследственности, ожирения, деформации спайками, после перенесенных плеврита, болезней печени, пищевода, кишечника или желудка. В этом случае обычно назначают дополнительное обследование.
- Тень средостения смещена или расширена. Средостением называют пространство между легкими и органы в нем находящиеся - это аорта, пищевод, сердце, трахея, лимфатические сосуды, узлы, железа вилочковая. Расширение тени средостения наблюдается из-за увеличения сердца, гипертонии, сердечной недостаточности, миокардита. Смещение средостения может указывать на неравномерное скопление воздуха или жидкости в плевре, большие новообразования в легких. Подобное заключение флюорографии легких указывает на то, что необходимо немедленно пройти дообследование и лечение.