Найти в Дзене

Пародонтит и пародонтоз, в чем разница?

Пародонт – это ткани, которые удерживают зуб в лунке, то есть десны и связки. Заболевания этих тканей – пародонтоз и пародонтит – могут привести к потере зубов.
Пародонтит – это воспалительный процесс
Пародонтоз – дегенеративно-дистрофический процесс
В 95% случаев заболеваний пародонта это пародонтит.
Оглавление

Пародонт – это ткани, которые удерживают зуб в лунке, то есть десны и связки. Заболевания этих тканей – пародонтоз и пародонтит – могут привести к потере зубов.

  • Пародонтит – это воспалительный процесс
  • Пародонтоз – дегенеративно-дистрофический процесс

В 95% случаев заболеваний пародонта это пародонтит.

Причины

Главная причина развития воспалительного процесса – образование поддесневого зубного камня, зубо-десневого кармана, в котором бурно развивается бактериальная микрофлора. Так что в развитии пародонтита существенную роль играет недостаточная гигиена полости рта.

Причина развития дегенеративного, дистрофического процесса – нарушение кровообращения, обменные нарушения в организме. В профилактике этого заболевания не играют роли профессиональная чистка, удаление зубного налета, камня. Значительно большее значение имеет, например, наследственный фактор.

Симптомы

Симптомы заболеваний существенно различаются. Пародонтит сопровождается припухлостью, покраснением десны, кровоточивостью. Воспалительный процесс на фоне бурного развития бактериальной микрофлоры при пародонтите служит одной из частых причин неприятного запаха изо рта.

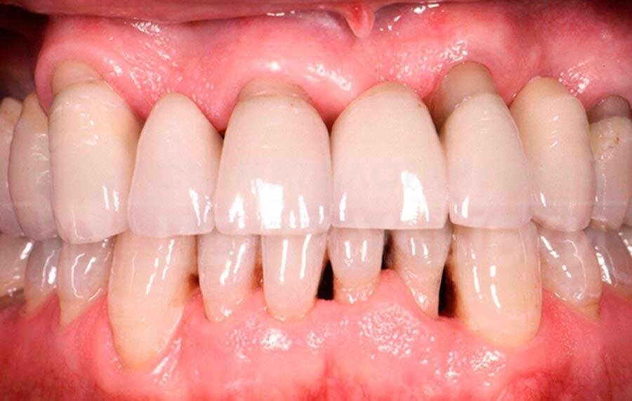
Для пародонтита характерна отечность, кровоточивость и краснота десен. Длительно протекающий воспалительный процесс приводит к потере зубов.
Для пародонтита характерна отечность, кровоточивость и краснота десен. Длительно протекающий воспалительный процесс приводит к потере зубов.

При пародонтозе десна не краснеет, а наоборот, бледнеет. Кровоточивость и отечность отсутствуют.

Как одно, так и другое заболевание могут стать причиной расшатывания зубов и их выпадения

Но при пародонтите шаткость зубов возникает раньше. Для их фиксации применяется шинирование – укрепление с помощью стекловолоконной или арамидной нити.

Оголение зубной шейки – характерный признак пародонтоза

Из-за атрофии десны ее край все больше опускается, оголяя шейку зубов. Это становится причиной повышенной чувствительности, болезненности, а также создает угрозу развития кариеса. Под десной эмаль имеет меньшую толщину и больше уязвима к разрушительным факторам.

Пародонтоз зубов, атрофия десны и оголение шейки зуба, тяжелая стадия
Пародонтоз зубов, атрофия десны и оголение шейки зуба, тяжелая стадия

При пародонтите оголение зубной шейки также возможно, но это происходит лишь на поздней стадии, при большой глубине зубо-десневых карманов.

Лечение

Лечение пародонтита направлено, в первую очередь, на устранение воспалительного процесса, вычищение зубо-десневых карманов, удаление бактериальной микрофлоры, зубного камня.

Для этого применяются такие операции как кюретаж, при котором десна разрезается, отслаивается. Под ней удаляются очаг воспаления, зубной камень, выполняется обработка антисептиком. После этого десна ушивается. При необходимости проводится лоскутная операция.

Лечение пародонтоза проводится преимущественно физиотерапевтическими методами. Для фиксации расшатанных зубов применяется шинирование арамидной нитью.

В отличие от стекловолоконной нити, срок службы которой составляет не более 3-х лет, арамидное волокно служит значительно дольше и применяется для постоянного или долгосрочного шинирования.
Арамидные нити устанавливаются в созданные стоматологом борозды.
Арамидные нити устанавливаются в созданные стоматологом борозды.

Пародонтит развивается значительно быстрее, чем пародонтоз. Это общее отличие воспалительных процессов от дегенеративно-дистрофических.

Но и лечатся воспалительные заболевания, как правило, быстрее и легче, чем дегенеративные процессы, связанные с дистрофией тканей.

При пародонтозе атрофия десны развивается в течение многих лет, не доставляя дискомфорта, не проявляясь болью или иными неприятными симптомами. Постепенно происходит оголение шейки зубов, но это дефект скорее эстетический.

Пародонтит, напротив, обычно развивается быстро, приводит к кровоточивости, отечности, болезненности десен. Поэтому люди раньше обращаются за помощью к пародонтологу.

Вам может быть интересно:

Что необходимо для профилактики кариеса зубов?

Имплантация зубов: стоматолог отвечает на важные вопросы

Желтые пятна на зубах. Это зубной камень? Как от него избавиться?

5 ПРИЗНАКОВ, что у вас кариес

ЖЕЛТЕЮТ ЗУБЫ! Как продукты влияют на цвет эмали?

Лечение зубов в Москве. Как найти хорошего врача?

Ставьте лайки, если статья была вам полезна и интересна!Подписывайтесь на наш канал – нам еще есть, о чем рассказать.