Найти в Дзене

Что такое шинирование зубов и для чего оно применяется?

Шинирование – укрепление зубного ряда посредством стекловолоконной или арамидной нити. Суть метода состоит в том, что несколько зубов накрепко соединяют воедино.
Стекловолоконные нити применяются также в качестве ретейнеров для закрепления результатов, полученных с помощью брекетов при ортодонтическом лечении (исправлении прикуса, кривизны зубного ряда). Нити фиксируются на зубах и удерживают
Оглавление

Шинирование – укрепление зубного ряда посредством стекловолоконной или арамидной нити. Суть метода состоит в том, что несколько зубов накрепко соединяют воедино.

Стекловолоконные нити применяются также в качестве ретейнеров для закрепления результатов, полученных с помощью брекетов при ортодонтическом лечении (исправлении прикуса, кривизны зубного ряда). Нити фиксируются на зубах и удерживают их в неизменном положении.

После снятия брекетов зубы стремятся вернуться в прежнее положение. Чтобы помешать этому, применяются ретейнеры – капы или нити из стекловолокна.
После снятия брекетов зубы стремятся вернуться в прежнее положение. Чтобы помешать этому, применяются ретейнеры – капы или нити из стекловолокна.

Стекловолоконные нити незаметны внешне, но служат они относительно недолго – до 3-х лет. Поэтому используются исключительно как временное средство – в качестве ретейнеров, а также при лечении зубочелюстных травм.

Для более длительного шинирования применяются арамидные нити. Укрепляющие нити могут накладываться как с внутренней, так и с внешней стороны, а также со стороны жевательной поверхности.

  • Внутренняя установка шины обычно применяется для укрепления, фиксации нижних клыков и резцов.
  • С наружной стороны шина накладывается для фиксации верхних резцов.
  • Для фиксации моляров шина может быть установлена на жевательной поверхности.

При наложении нити на зубе вытачивается тонкая бороздка. Нить при этом может быть единичной или двойной.

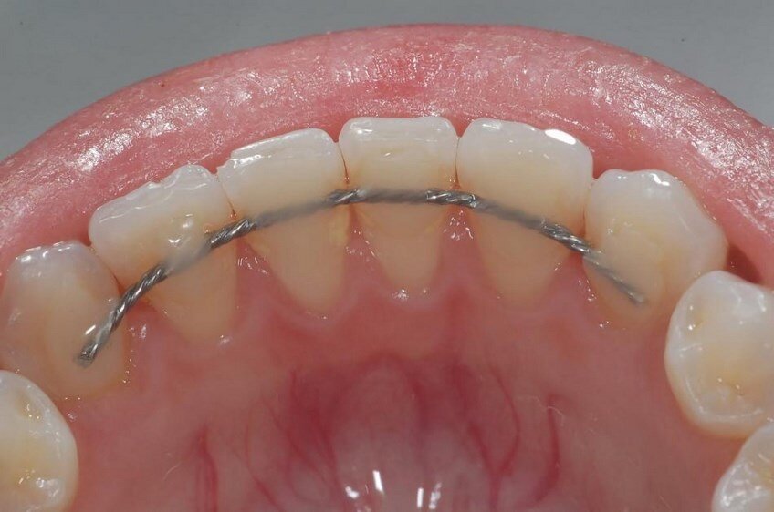
Стекловолоконная шина
Стекловолоконная шина

Чаще всего шинирование применяется при пародонтозе и пародонтите

Пародонтоз и пародонтит сопровождаются атрофией, уменьшением десны, оголением зубных шеек, корней, ослаблением и разрушением связочного аппарата, расшатыванием зубов. Если не принять никаких мер, этот процесс закончится их выпадением или необходимостью удаления.

Шина помогает зафиксировать зубы, устранить их шатание и в итоге спасти от выпадения или удаления. При этом восстанавливается нормальная жевательная нагрузка.

Недостаток этого метода состоит в его сугубо симптоматическом воздействии. Шинирование не устраняет причины пародонтита, пародонтоза. Поэтому укрепление зубов обязательно должно сопровождаться полноценным пародонтическим лечением.

Для пародонтоза и последней стадии пародонтита характерно оголение зубной шейки
Для пародонтоза и последней стадии пародонтита характерно оголение зубной шейки

Каждый вид шинирования имеет свои преимущества и недостатки. Одни используются для временной фиксации, другие – для долгосрочной, а третьи для постоянной.

Фиксация шиной широко применяется в рамках ортопедического лечения, при протезировании. Например, металлические нити могут быть частью бюгельных протезов.

Бюгельные протезы восстанавливают отсутствующие зубы и укрепляют сохранившиеся. Таким образом создается единая конструкция, которая полноценно восстанавливает зубной ряд.

Для укрепления зубного ряда широко применяются стекловолокно, арамидное волокно. Эти синтетические материалы полностью биосовместимы, не вызывают аллергии, обладают высокой прочностью.

Альтернативный способ шинирования – керамический мост. Он представляет собой единую монолитную конструкцию и состоит из закрепленных между собой колпачков из керамики. Форма каждого колпачка идеально соответствует зубу, на который он надевается.

После закрепления керамического моста он надежно фиксирует зубной ряд. Недостаток этого метода состоит в его относительно высокой стоимости.

Кроме того, для фиксирования зубов могут использоваться мосты из металлокерамики.

Вам может быть интересно:
Как лечат зубы под микроскопом? И зачем?
Профессиональная чистка зубов. Какую выбрать?
Лечение зубов в Москве. Как найти хорошего врача?
Голливудская улыбка: что такое виниры? В чем + и -?
Ставьте лайки, если статья была вам полезна и интересна!
Подписывайтесь на наш канал – нам еще есть, о чем рассказать.