Добавить в корзинуПозвонить
Найти в Дзене
Irrigator.ru - Блог

Флюороз зубов

Флюороз
Сегодня мы поговорим о флюорозе. Это заболевание появляется еще до прорезывания зубов. Некоторые о таком диагнозе вообще не слышали, а те, кто с ним сталкивался, знает об этом во всех подробностях.
Причины и симптомы
Зубы
Флюороз
Флюороз

Сегодня мы поговорим о флюорозе. Это заболевание появляется еще до прорезывания зубов. Некоторые о таком диагнозе вообще не слышали, а те, кто с ним сталкивался, знает об этом во всех подробностях.

Причины и симптомы

Зубы
Зубы

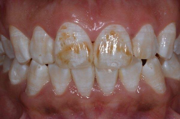
Чрезмерное потребление фтора вызывает флюороз зубов, повреждая клетки, образующие эмаль, называемые амелобластами. Повреждение этих клеток приводит к нарушению минерализации зубов, вследствие чего повышается пористость эмали. Данное заболевание возникает тогда, когда зубы еще развиваются под деснами, до их прорезывания.

У ребенка может развиться в возрасте до 5 - 7 лет. Избыток фтора может быть потреблен через питьевую воду, что характерно для какой-то определенной местности. В Москве питьевая вода бедна по фтору. А в Московской области, наоборот, его концентрация превышает санитарные нормы. Сюда же относятся и природные источники, и артезианские скважины, в которых содержание фторидов тоже значительно выше нормы.

Гипоплазия зубов
Гипоплазия зубов

Самым распространенным видом, является меловое обесцвечивание зубов с белыми пятнами или линиями на зубной эмали. В тяжелых случаях пораженные участки имеют желтоватые или коричневые обесцвечивания. В крайних формах флюороз приводит к образованию язв на поверхности зуба. Это косметическая проблема, а не стоматологическое заболевание. Зубы крепкие и здоровые, но пятна будут постоянными и могут со временем потемнеть.

Как быть людям с флюорозом?

Не применять пасты с фтором. При легких формах можно отбелить. При сложных — виниры.

Как же быть людям, проживающим в регионах с пониженным содержанием фтора в воде? Пользоваться пастой с фтором. Ходить на фторирование к стоматологу.

Полезна была статья?

Подписывайтесь на канал, у нас - территория красивой улыбки!