Найти в Дзене
EverCare

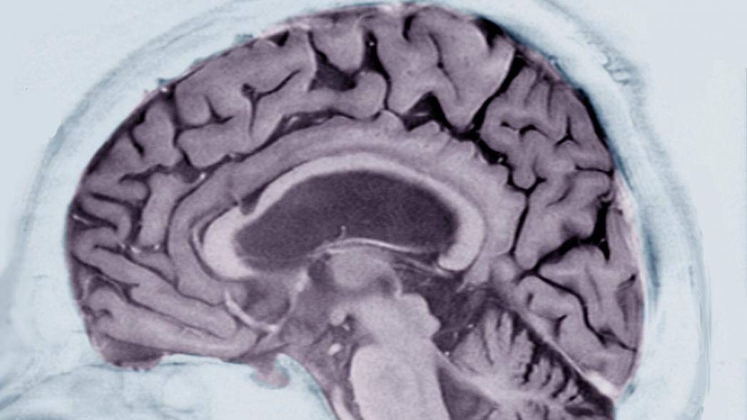
Определить вероятность Альцгеймера, читая записи пациента

Новый алгоритм искусственного интеллекта, созданный IBM, может помочь врачам диагностировать или предсказывать наступление болезни Альцгеймера - за годы до появления симптомов.
И все, что нужно, это чтобы субъект рассказал алгоритму историю. Сравнивая образцы текста, написанные участниками исследования в течение нескольких лет, алгоритм смог предсказать наступление болезни Альцгеймера на годы

Новый алгоритм искусственного интеллекта, созданный IBM, может помочь врачам диагностировать или предсказывать наступление болезни Альцгеймера - за годы до появления симптомов.

И все, что нужно, это чтобы субъект рассказал алгоритму историю. Сравнивая образцы текста, написанные участниками исследования в течение нескольких лет, алгоритм смог предсказать наступление болезни Альцгеймера на годы вперед с 75-процентной точностью. Потенциально это решение дает врачам новый инструмент для выявления болезни Альцгеймера и других серьезных нейродегенеративных состояний до того, как их признаки станут проявляться.

Информация об этом исследовании была опубликована в журнале The Lancet .

Алгоритм рассматривает данные неврологического исследования, в котором приняли участие 270 человек, которым, помимо прочего, было предложено наглядно описать то, что происходило на простой картинке несколько раз в течение нескольких лет. Основываясь только на этих образцах, алгоритм научился распознавать такие закономерности, как все более повторяющиеся фразы, опечатки или недостающие слова, как признаки нейродегенеративного заболевания.

-2

"Это первое исследование, где участвовали обычные, совершенно нормальные люди, в котором описана система, предсказывающая с достаточно высокой точностью, у кого из них будут проблемы годы спустя", - сказал доктор Майкл Вайнер, эксперт по болезни Альцгеймера в Калифорнийском университете (Сан-Франциско), который не работал над этим исследованием.

В настоящее время, после того как алгоритм был протестирован на болезнь Альцгеймера, команда IBM надеется испытать его с целью прогнозирования других неврологических заболеваний.

Источник: Futurism