Добавить в корзинуПозвонить
Найти в Дзене
Обитель свободы

Люди которые жили без мозга (удивительные возможности нашего организма)

Человек весьма удивительное существо. Его может погубить маленький порезик и в то же время он может жить с несовместимыми для жизни отклонениями.
Начнём с разогрева, человек с половиной мозга:
Пару лет назад, в подмосковную больницу попал 60-летний пациент с ишемической атакой (это как инфаркт, только чуток слабее). Человек чувствует себя неважно, теряется подвижность конечностей, но необратимых
Оглавление

Человек весьма удивительное существо. Его может погубить маленький порезик и в то же время он может жить с несовместимыми для жизни отклонениями.

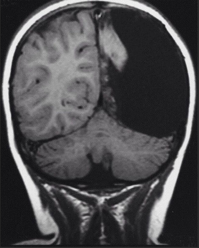
Начнём с разогрева, человек с половиной мозга:

Пару лет назад, в подмосковную больницу попал 60-летний пациент с ишемической атакой (это как инфаркт, только чуток слабее). Человек чувствует себя неважно, теряется подвижность конечностей, но необратимых последствий нет. Причиной тому обычно становится нарушение кровообращения головного мозга, потому мужчине в первую же очередь сделали КТ(первый необходимый анализ в этой ситуации). Результаты томографии оказались весьма необычными. Ишемическая атака должна была произойти у мужчины в левой половине мозга, но какого же было удивление врачей, когда они узнали, что она напрочь отсутствует. Это был не результат какой-либо травмы, этот мужчина с рождения жил без половины мозга, что никак не помешало ему получить высшее образование, обжиться семьей и жить без проблем до 60-ти лет. Да и когда двигательные функции после этого самого попадания в клинику восстановились, то он спокойно ушел домой.

Имени пациент не стал раскрывать, дабы популярностью не усложнять себе жизнь. Ирония судьбы в том, что подобный ему ребенок уже не родиться, т.к. на ранних этапах отсутствие полушария увидят врачи и предложат матери прервать беременность, но в 50-х таких технологий не было, а потому герой обстоятельств увидел свет и спокойно дожил до своего возраста.

Отсутствие таких больших кусков мозга не как не отражается на интеллекте, но может повлиять на двигательные функции организма. Самое распространенное следствие этого «церебральный паралич».

Мозг удивительная штука, он имеет такую приколюху как «нейропластичность, что значит, что даже при отсутствии какой-то его части, оставшееся часть перестраивается под недостающую.

Мозг размером с котлету

-2

Ну если половина мозга звучит еще хоть как-то реалистично, то как вам такое:

44-летний мужчина из Франции (чью личность врачи так же не стали раскрывать) дожил до своих лет имея мозг размером с котлету!

Парень пришел в клинику с жалобой на слабость в левой ноге. Естественно её связали с мозгом, но до сканирования его головы никто и не подозревал, что 90 % черепа наполняла жидкость. Наверно этот человек должен был быть очень глупым и заторможенным, но нет. Его iq составлял 75 и это не мешало ему работать госслужащим не испытывая никаких проблем.

У мужчины был редкий случай гидроцефалии, но вместо расширения головы его мозг сжимался. Год за годом жидкость спрессовывала мозг увеличивая его плотность.

Долгие годы врачи строили и строят теории по этому поводу. Но удалось сделать вывод, что наш мозг способен перестраиваться под какие-либо повреждения и если проблемы возникли еще в детском возрасте, то никаких осложнений даже заметно не будет.

========

Ставьте лайки и подписывайтесь на канал, чтобы не пропустить новых историй. Всех Вам благ и до новых встреч!