Найти в Дзене
ковёр-самолёт.

Как появился рентген и как он работает.

небольшая история большого открытия
Оглавление

История этого изобретения невероятно интересная и невероятная. Сейчас многие используют данное изобретение и даже не задумываются, каким образом работает это невероятное устройство.

Вообще, внутри рентгеновского аппарата находится трубка Крукса - устройство с двумя электродами (металлическими проводниками электричества). Катод подключён к источнику с отрицательным зарядом, а анод - с положительным. Отрицательно заряженные электроны, которые выходят из катода, набирают скорость, врезаются в положительно заряженный анод и резко тормозят. Так и возникает рентгеновское излучение.

Когда такие электроны проходят через предметы, то они могут либо рассеиваться, либо собираться вместе, поэтому, чем плотнее вещество, тем медленнее они двигаются. Вот потому человеческие кости, которые содержат много кальция, гораздо больше задерживают рентгеновские лучи, чем кожа и внутренние органы.

Если вы сейчас представите себе рентгеновский снимок, то сразу вспомните некий рисунок костей, которые можно увидеть как белые полосы. Кожу и органы также можно увидеть, но они уже будут менее интенсивно выражены, чем кости. Дело в том, что кости содержат кальций, который и задерживает эти лучи в организме.

Таким образом, можно заметить, что чем плотнее материал, тем светлее будет рисунок на плёнке. Кости видим белыми полосами, кожу сероватой, а воздух черным. Поэтому на картинке выше можно увидеть снимок грудной клетки, где внутри легких черный цвет - воздух.

Немного истории.

Говорят, что немецкий физик Вильгельм Рентген открыл рентгеновские лучи совершенно случайно. Один раз он допоздна остался в своей лаборатории. Перед уходом он потушил свет и заметил, как одна ёмкость с жидкостью начала светиться. В этот момент физик понял, что забыл выключить трубку Крукса. После того, как он выключил её, ёмкость с жидкостью перестала светиться. Физик заинтересовался этим необычным явлением и приступил к его исследованию.

Ёмкость находилась далеко от трубки, а это значит, что от нее исходили какие-то невидимые лучи. Чтобы это всё хорошенько узнать, Рентген помещал на пути лучей разные предметы: лист бумаги, доску, картонную коробку и стакан. Через все эти предметы излучение проходило без труда. Когда Рентген поставил на пути лучей ящик с металлическими фигурками, то на стене увидел чёткий силуэт этих гирек, хотя ящик был запечатан со всех сторон.

Физик продолжил изучение и случайно под излучение попала его рука, в результате чего на стене он увидел силуэт собственных костей и ужаснулся. Вильгельм решил, что надо дополнить конструкцию фотографической плёнкой и уже через несколько дней сделал первый в истории рентеновский снимок, это была рука его жены.

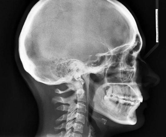
Чисто для интереса сравните с современными снимками.
Чисто для интереса сравните с современными снимками.

И тут физик понял, что обнаружил излучение, которое не видимо человеческому глазу и проходит через предметы. Он назвал их икс-лучами.

Когда Рентгену предложили запатентовать своё изобретение, он отказался. Физик попросту не понимал, где это всё можно использовать и решил подарить своё изобретение народу.

Вильгельм продолжал испытания и помещал на пути лучей различные предметы. Свинец оказался единственным материалом, который совсем не пропускает эти лучи. Кстати, сейчас именно свинец используют для того, чтобы обезопасить определенный участок тела от радиации. Чаще всего это щитовидная железа, которая больше всего страдает от излучения.

Слухи об этих лучах разошлись очень быстро, а потому уже спустя короткий промежуток времени начинали открываться первые конторы, которые позволяли людям сфотографировать свои скелеты. Некоторые мошенники и вовсе говорили, что с помощью этих лучей можно превратить свинец в золото.

Уже в 1896 году рентгеновские лучи начали использовать для диагностики переломов. И хотя с того времени прошло уже много лет, это открытие до сих пор считается одним из важнейших прорывов в медицине. Рентгеновские аппараты сейчас усовершенствовались и стали намного сложнее, но принцип их работы остался тот же.

К концу 20 века стало известно, что рентгеновское облучение вредное для человеческого организма и по-разному воздействует на различные части тела человека. Например, доза радиации, которую вы получите при флюорографии равняется 10 дням обычной прогулки по улице, облучение кисти - 1 день, желудок и кишечник - 3 года.

В общем, этот метод действительно важен и хорош, но использовать его нужно тогда, когда это действительно необходимо. Но и бояться облучения вовсе не стоит, ведь мы получаем намного больше радиации от солнца, просто гуляя по улице. Мы хорошо защищены от этой радиации и наши тела хорошо к этому адаптировались.

Рентгеновское излучение используется не только в медицине.

Аэропорты тоже взяли его себе на вооружение.

С помощью рентгена можно увидеть в багаже людей опасные и взрывные устройства.
С помощью рентгена можно увидеть в багаже людей опасные и взрывные устройства.

Также, его используют в искусстве.

Рентген картины помогает разглядеть, сколько слоёв делал художник в своей работе и какие правки он вносил. Таким образом, можно отличить подделку от оригинала.
Рентген картины помогает разглядеть, сколько слоёв делал художник в своей работе и какие правки он вносил. Таким образом, можно отличить подделку от оригинала.

С помощью рентгена также проверяют самолёты перед взлётом.

Рентген самолёта помогает увидеть трещины и повреждения, которые невозможно увидеть невооруженным взглядом.
Рентген самолёта помогает увидеть трещины и повреждения, которые невозможно увидеть невооруженным взглядом.

Очень необычно - рентген свитка.

Рентген помог прочитать свитки, не разворачивая их. Так бы они просто рассыпались, ведь являлись очень древними.
Рентген помог прочитать свитки, не разворачивая их. Так бы они просто рассыпались, ведь являлись очень древними.

Да уж, рентген нашел применение во многих сферах нашей жизни.