Добавить в корзинуПозвонить
Найти в Дзене
Луиза Рыбак

А вы верите в чудо (продолжение) ?

Часть 2.
Сначала у парня стали медленно отказывать ноги. Пришлось делать много различных обследований, на последнем из них подозрение вызвали лёгкие.
Его отправили в больницу, там он немного пробыл, так как ему поставили диагноз туберкулёз.
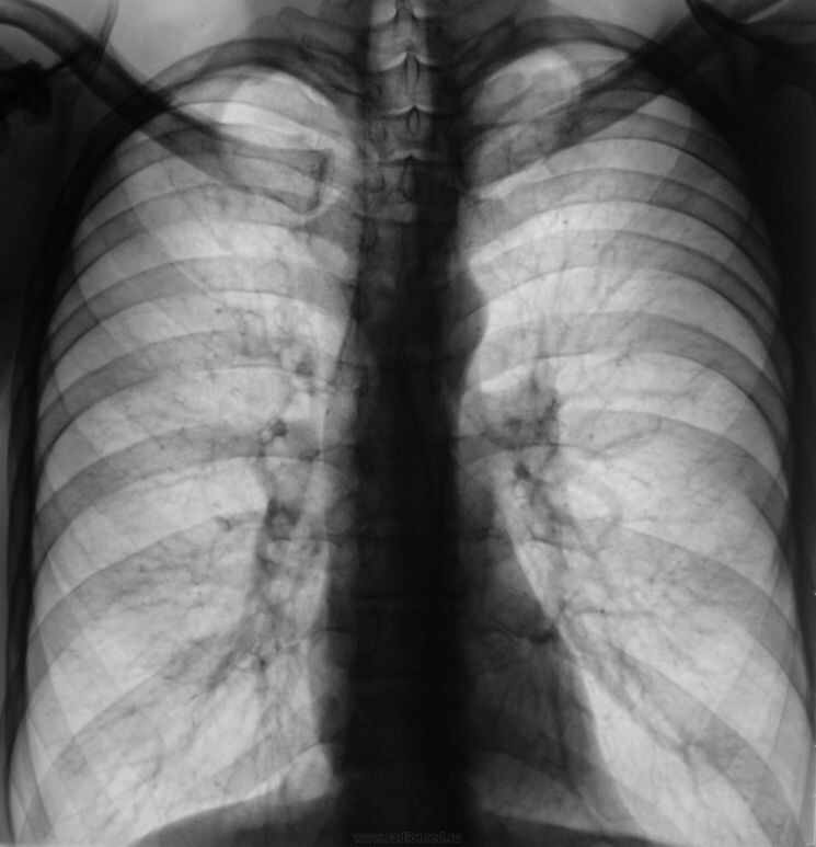
Взяли анализы, провели необходимые мед.обследования и опираясь на рентген снимки подтвердили ранее поставленный диагноз.

Часть 2.

Сначала у парня стали медленно отказывать ноги. Пришлось делать много различных обследований, на последнем из них подозрение вызвали лёгкие.

Его отправили в больницу, там он немного пробыл, так как ему поставили диагноз туберкулёз.

Яндекс картинки
Яндекс картинки
Но ему об этом не сказали прямо, а предложили пройти полное обследование в специальном медицинском учреждении.

Взяли анализы, провели необходимые мед.обследования и опираясь на рентген снимки подтвердили ранее поставленный диагноз.

Самое абсурдно было то, что все анализы пришли отрицательные, клинических подтверждений не было, диагноз был поставлен по рентген снимкам.

Ничего не осталось как пройти полный курс на стационарном и потом на амбулаторном лечении.

Выписали. Самочувствие было удовлетворительно, диагноз "здоров". Начались новые трудности, но уже связанные с поиском работы.

Шло время, поиски работы затянулись, пришлось выйти на работу в ЧОП.

Самым тяжёлым было встретить старых знакомых, которые были на прошлой работе и кто-то проходил мимо, некоторые откровенно радовались видя его в форме охранника, лишь малая часть пыталась как-то подбодрить.

Прошёл год. Весной вновь начались проблемы со здоровьем (отказывали ноги, болели суставы). Всё начало повторяться и стало ясно, что прошлое лечение помогло лишь на время да и было ли оно вообще верным.