Найти в Дзене

Гигиена не скука, а целая наука

Профессиональная гигиена полости рта - это процедура, с помощью которой можно удалить бактериальный налет, зубного камень, в том числе токсины, которые скапливаются на поверхности зуба. Эту процедуру выполняет узконаправленный специалист стоматолог - гигиенист. Многие люди не подозревают, что заболевания полости рта появляются в первую очередь из-за появления зубного камня на зубах. Давайте разберем причины появления этого коварного недруга: Расплата за пренебрежительное отношение неизбежна! Скопления зубного налета на зубах провоцирует появление заболеваний: Кариес – при этом заболевании происходит поражение твердых тканей зуба, вызванное бактериями. Соблюдай в полости рта порядок — зуб будет здоров и гладок Во избежания появления вышеперечисленных заболеваний специалисты Стоматологического центра «Водники» настоятельно рекомендуют раз в полгода проходить профилактические осмотры у стоматолога и проводить полный комплекс гигиены. В нашей клинике ведет прием гигиенист Комарова
Оглавление

Профессиональная гигиена полости рта - это процедура, с помощью которой можно удалить бактериальный налет, зубного камень, в том числе токсины, которые скапливаются на поверхности зуба. Эту процедуру выполняет узконаправленный специалист стоматолог - гигиенист.

Многие люди не подозревают, что заболевания полости рта появляются в первую очередь из-за появления зубного камня на зубах. Давайте разберем причины появления этого коварного недруга:

  1. Повышенный уровень углеводов в продуктах питания.
  2. Плохая гигиена.
  3. Вредные привычки. Из-за курения на поверхности зубов образуется тонкая пленка. Она плотно прилегает к эмали, самостоятельно в домашних условиях избавиться от нее невозможно. В дальнейшем на пленке скапливаются частицы пищи, что формирует уже более плотный слой отложений.
  4. Употребление напитков, содержащие красители: чай, кофе, вино и др.
  5. Нарушение секреции слюнных желез. При таких нарушениях состав слюны изменяется, из-за этого она перестает справляться с функцией очистки.
  6. Гормональные изменения. Зубные отложения могут активно образовываться при беременности и при других изменениях в организме.

Расплата за пренебрежительное отношение неизбежна!

Скопления зубного налета на зубах провоцирует появление заболеваний:

Кариес – при этом заболевании происходит поражение твердых тканей зуба, вызванное бактериями.

  • Гингивит – это заболевание десен, вызванное бактериями. Со временем без лечения перетекает в пародонтит. При таком заболевании появляются гнилостный запах, изменение вкуса и кровотечения.
  • Пародонтит – заболевание десен, которое приводит расшатыванию и выпадению зубов. На фоне этого заболевания появляются кровоточивость и гнойные выделения.
  • Стоматит – это инфекционное заболевание, характеризующееся поражением слизистой полости рта. В области языка, десен, щек появляются воспалительные элементы или язвенные, некротические поражения.
  • Кандидоз – это инфекционное заболевание, вызванное грибами candida, которое сопровождается отеками, появлением покраснения, белого налета и болезненных трещин.

Соблюдай в полости рта порядок — зуб будет здоров и гладок

Во избежания появления вышеперечисленных заболеваний специалисты Стоматологического центра «Водники» настоятельно рекомендуют раз в полгода проходить профилактические осмотры у стоматолога и проводить полный комплекс гигиены.

В нашей клинике ведет прием гигиенист Комарова Альбина Игоревна. Специалист со стажем более 14 лет, проводит ряд гигиенических процедур для профилактики появления заболеваний полости рта.

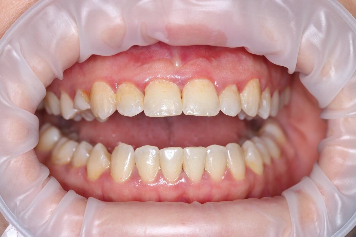
Ниже представлен пример ее работы.

До
До
До
До
После
После
После
После

Пациенту провели полный комплекс гигиены, в который входит:

  1. Снятие твердого камня ультразвуком. Под воздействием высокочастотных волн гигиенист удаляет камни и налет с зубов. Самостоятельно в домашних условиях зубной камень убрать невозможно.
  2. Снятие пигментированного налета аппаратом АйрФлоу. Это процедура, при которой из аппарата распыляется на зубы смесь из воды, воздуха и кристаллов специального порошка под давлением.
  3. Полировка зубов специальной щеткой и пастой.
  4. Фторирование – эта процедура позволяет эффективно и глубоко укрепить зубную эмаль минералами.
-6

Всем нашим пациентам после комплекса гигиены Альбина Игоревна проводит мини урок по уходу за зубами и деснами. На данном уроке доктор показывает какими движениями необходимо чистить зубы, как пользоваться зубной нитью после каждого приема пищи, подбирает индивидуальную систему по уходу за полостью рта, которая включает в себя подбор зубной щетки с определенной жесткостью, подбор пасты, которая будет положительно влиять на эмаль зубов.

-7
-8

Так же важно помнить о профилактике образования зубного камня.

  • Следует чистить зубы 2 раза в день.
  • Пользоваться зубной нитью после каждого приема пищи.
-9
  • Использовать в паре с обычной щеткой, монопучковую. Монопучковая щетка помогает очистить от налет самые труднодоступные участки.
-10
  • Так же рекомендуется пользоваться ирригатором. Ирригатор очищает поверхность зубов, промежутки между зубов и десны пульсирующей струей воды или специальной жидкости, которая подается под давлением из специального резервуара. Струя под давлением позволяет попасть в труднодоступные участки и устранить из них остатки пищи и налет, одновременно массируя десны, улучшая кровообращение и питание в них. Давление жидкости можно регулировать, ориентируясь на степень загрязнения и собственные ощущения, а с помощью насадок, которые идут в комплекте, направлять струю на конкретные участки.
-11

Записаться на осмотр и на гигиену полости рта к Комаровой Альбине Игоревне можно прямо сейчас по телефону +7-(495)120-37-30 или написать через наш сайт https://vodnikistom.ru/. Адрес: г. Долгопрудный, ул, Набережная дом 21 к. 1.

-12