Добавить в корзинуПозвонить
Найти в Дзене

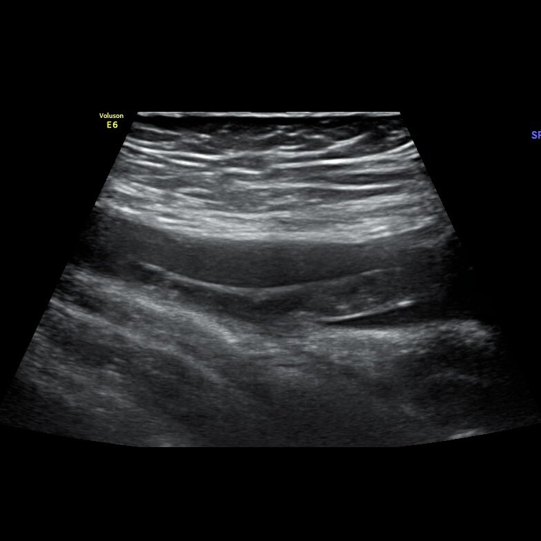
Тромбоз бедренной вены

🎏Что же мне попалось на этот раз? 🏥Пациент лечится по онкологическому заболеванию, проходит плановое УЗИ перед очередным курсом терапии. Боли в ноге уже почти месяц, отек не выражен. В бедренной вене эхогенный тромб, фиксация в бедренной вене, подвижный конец тянется на 7см, выше гбв но ниже сфс на 1.5 см. 🗒️Хронический не окклюзивный тромбоз, фиксированный тромб с подвижным концом. Пациент направлен к хирургам. . #узи #узд #тромб #тромбоз #medtrain #учеба #узивен #вены
-2

🎏Что же мне попалось на этот раз?

🏥Пациент лечится по онкологическому заболеванию, проходит плановое УЗИ перед очередным курсом терапии. Боли в ноге уже почти месяц, отек не выражен. В бедренной вене эхогенный тромб, фиксация в бедренной вене, подвижный конец тянется на 7см, выше гбв но ниже сфс на 1.5 см.

🗒️Хронический не окклюзивный тромбоз, фиксированный тромб с подвижным концом. Пациент направлен к хирургам.

-3
-4
-5

.

#узи #узд #тромб #тромбоз #medtrain #учеба #узивен #вены