Найти в Дзене
АиФ–Иркутск

Искусственный пищевод сделали 8-летнему мальчику в Иркутске

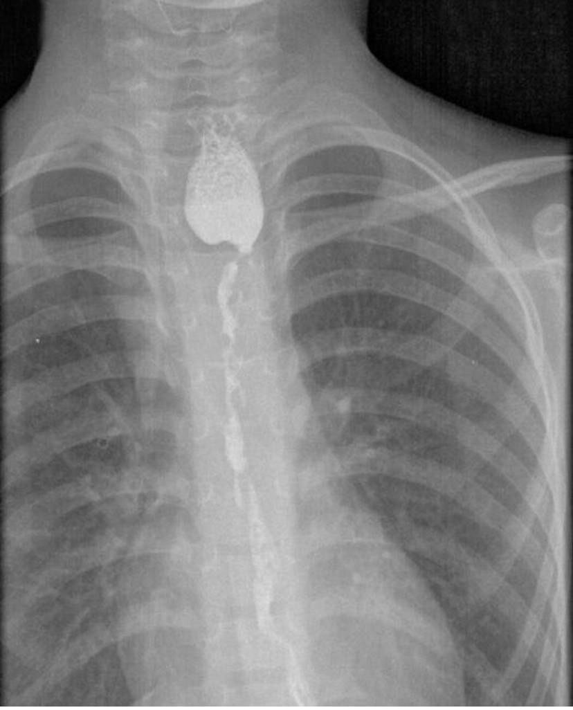
Хирурги Ивано-Матренинской детской клинической больницы сделали 8-летнему мальчику колоэзофагопластику, то есть сформировали искусственный пищевод, рассказали irk.aif.ru в пресс-службе правительства региона. Когда мальчику было 4 года, он выпил средство для очистки раковин и получил сильный ожог пищевода. Его удалось спасти, но несколько лент ребёнок почти не мог есть и месяцами лежал в больнице. Тогда врачи решили провести эту очень сложную операцию.Повреждённый пищевод заменили искусственным, который создали из тканей толстой кишки. Сама операция прошла ещё несколько месяцев назад и с тех пор за состоянием пациента наблюдали. Теперь окончательно ясно: хирургическое вмешательство прошло успешно, ребёнок может нормально есть и живёт полноценной жизнью. Сейчас он учится во втором классе.
   Искусственный пищевод сделали 8-летнему мальчику в Иркутске
Искусственный пищевод сделали 8-летнему мальчику в Иркутске

Хирурги Ивано-Матренинской детской клинической больницы сделали 8-летнему мальчику колоэзофагопластику, то есть сформировали искусственный пищевод, рассказали irk.aif.ru в пресс-службе правительства региона. Когда мальчику было 4 года, он выпил средство для очистки раковин и получил сильный ожог пищевода. Его удалось спасти, но несколько лент ребёнок почти не мог есть и месяцами лежал в больнице. Тогда врачи решили провести эту очень сложную операцию.Повреждённый пищевод заменили искусственным, который создали из тканей толстой кишки. Сама операция прошла ещё несколько месяцев назад и с тех пор за состоянием пациента наблюдали. Теперь окончательно ясно: хирургическое вмешательство прошло успешно, ребёнок может нормально есть и живёт полноценной жизнью. Сейчас он учится во втором классе.

   Искусственный пищевод Фото: Правительство Иркутской области
Искусственный пищевод Фото: Правительство Иркутской области