Добавить в корзинуПозвонить
Найти в Дзене
SimplaDental

Виниры E-Max

Современные стоматологии, в том числе медицинский центр «Simpladental», оказывают множество услуг, которые могут помочь пациенту избавиться от дефектов и болезней ротовой полости. Как правило, стоматолог может устранить практически любую проблему с помощью нескольких процедур. Но для комплексного лечения обычно требуется много денег и времени. При этом, далеко не все пациенты имеют возможность регулярно посещать специалистов для поддержания зубов в идеальном состоянии на протяжении нескольких месяцев или даже лет. Виниры E-Max – быстрый способ решения стоматологических проблем Современная мировая практика все чаще использует виниры, которые способны решить эстетические и функциональные проблемы. Это касается не только зоны улыбки или жевательного участка, но и всей области рта. С помощью этих микропротезов можно быстро и безболезненно сделать зубы пациента ровными, функциональными или идеально белыми. На сегодняшний день чаще всего профессиональные стоматологи рекомендуют использовать
Оглавление

Современные стоматологии, в том числе медицинский центр «Simpladental», оказывают множество услуг, которые могут помочь пациенту избавиться от дефектов и болезней ротовой полости.

Как правило, стоматолог может устранить практически любую проблему с помощью нескольких процедур. Но для комплексного лечения обычно требуется много денег и времени.

При этом, далеко не все пациенты имеют возможность регулярно посещать специалистов для поддержания зубов в идеальном состоянии на протяжении нескольких месяцев или даже лет.

Виниры E-Max – быстрый способ решения стоматологических проблем

Современная мировая практика все чаще использует виниры, которые способны решить эстетические и функциональные проблемы. Это касается не только зоны улыбки или жевательного участка, но и всей области рта. С помощью этих микропротезов можно быстро и безболезненно сделать зубы пациента ровными, функциональными или идеально белыми. На сегодняшний день чаще всего профессиональные стоматологи рекомендуют использовать виниры из керамики, особенно часто за последние 20 лет керамические виниры E-Max от немецкой компании «Ivoklar-Vivadent».

Что такое виниры E-Max?

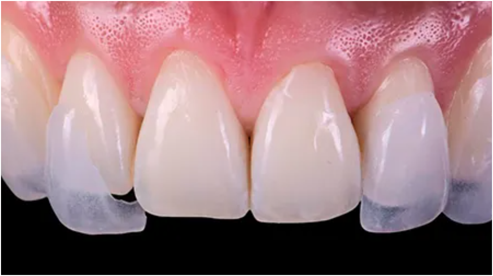
Виниры – это небольшие прокладки для восстановления формы, цвета или размера. Они устанавливаются на переднюю поверхность зубов и восстанавливают форму, цвет или размер. Основной материал для изготовления накладки - стеклокерамика E-max, которая состоит из дисиликата лития.

Один из плюсов – это неизменность цвета, а также и недостаток, если реставрировать один зуб. С годами керамическая поверхность будет оставаться такой же, а вот окружающие зубы побледнеют от возраста, пигментации и болезней. Из-за этого будет выделяться одиночная накладка. Виниры обычно ставят блоками, на всю зону улыбки — фронтальную часть передних четырех зубов.

У нас есть два способа изготовления виниров из керамики E-MAX: стоматологом на фабрике, методом прессования и оборудованием Cerec. Второе исследование также использует те же методы и алгоритмы, которые используются в лаборатории. Процесс занимает намного меньше времени: установку можно провести за один день.

Чем отличаются виниры E-Max от других виниров?

Посредством обычных виниров пациент получает ровные, аккуратные зубы. Микропротезы Е-Max наиболее близки к натуральным зубам по светоотражению и прозрачности для более эстетичного вида зубов.

Современные изделия требуют постоянного и качественного ухода, но нерегулярное очищение полости рта может привести к кариесу. За счет очень плотного прилегания конструкции E-Max бактерии не могут проникнуть под ее конструкцию.

Для установки виниров необходимо стачивать зуб на 0,3-0,6 мм. Это причиняет существенный вред эмали. Чтобы установить изделия из литий-силиконовых керамических плиток, требуется небольшая шлифовка, поэтому эмаль практически не повреждается.

Изготовление наружных виниров E-Max осуществляется с использованием инновационных технологий на современном оборудовании, при этом оно полностью автоматизировано. Именно поэтому они очень прочные, имеют высокую устойчивость к повреждениям и служат свыше 10 лет. Стоимость таких изделий в 2 раза выше обычных изделий.

Когда другие микропротезы изготавливаются вручную, их прочность низкая и существует большой риск сколов или повреждений. Срок службы составляет не более 10 лет.

Примеры работы
До:

-2

После:

-3
-4
-5

Показания и противопоказания

Показания

  • Промежутки между зубами (тремы, диастемы)
  • Сколы, трещины на эмали
  • Изменение цвета в результате болезней или пигментации
  • Некрасивая форма зубов (треугольные, бочковидные)
  • Неудовлетворительная величина (слишком мелкие зубы)
  • Пломбы в зоне улыбки

Противопоказания

  • Текущее ортодонтическое лечение
  • Выраженные аномалии прикуса
  • Большая скученность зубов
  • Бруксизм (купируется ношением ночной капы)
  • Отсутствие зубов
  • Беременность и период кормления
  • Инфекционные заболевания
  • Обострения хронических заболеваний
  • Кариес
  • Воспаления в полости рта

Преимущества

  • Высокие эстетические свойства
  • Керамика E-MAX пропускает свет, так же, как натуральная эмаль. Световые лучи преломляются, что придает керамике еще большую естественность.
  • Широкий выбор оттенков
  • В палитру входит 16 натуральных цветов и 4 из серии Bleach (супербелые). Подобрать оттенок не представляет труда.
  • Прочность
  • Керамика E-max способна выдерживать напряжение до 400 МПа (мегапаскалей). Это почти в 2 раза больше, чем у фарфора. Этого достаточно для изготовления виниров, ультраниров, одиночных коронок на любые (резцы, моляры) зубы, а также мостовидных протезов.
  • Износостойкость
  • Срок службы керамики – не менее 15 лет. Конечно, при условии бережного обращения. От травм и происшествий никто не застрахован. Однако, виниры - это одиночные реставрации. Если с одним из них произошел инцидент, его легко заменить.
  • Устойчивость цвета
  • Через 15 лет накладка из керамики сохранит свой цвет, яркость и не покроется пятнами.
  • Биоинертность
  • Керамические микропротезы подходят для пациентов с выраженными аллергическими реакциями так как не вызывают ни отторжения, ни аллергии.

Недостатки

  • Высокая стоимость
  • Виниры E-MAX — лидеры среди аналогов керамических накладок, они же самые надёжные и долговечные.
  • Чувствительность
  • После шлифовки эмали и до установки накладок собственные зубы очень чувствительны.
  • Ограничения
  • Не рекомендуется проводить ортодонтическое лечение брекет-системами и, соответственно, крепить их на виниры.

Этапы установки виниров E-Max

Диагностика

-6

Первая консультационная встреча предстоит с терапевтом, который даст заключение об общем состоянии ротовой полости и предупредит о болезнетворных процессах, которые могут препятствовать установке виниров. При необходимости к работе подключается ортодонт. Для того, чтобы добиться лучшего результата, пациента направляют на рентген, компьютерную томографию, делают снимки с разных ракурсов.

Подготовка

-7

Проводится санация полости рта. Зубы перед протезированием необходимо пролечить, убрать зубной налет и камни. После подготовки ортопед шлифует эмаль для лучшего сцепления накладки и зуба.

Снятие слепков и изготовление

-8

Классический метод предусматривает использование слепков для изготовления накладок в лаборатории. Но изготовление керамических изделий E-MAX на Cerec происходит с помощью внутриротового 3D сканирования. Цифровые технологии обеспечивают большую точность измерений. Данные обрабатываются компьютерной программой, и виниры тут же вытачиваются на станке с програмным управлением (метод Cerec).

Примерка и фиксация

-9

Сначала накладки фиксируют на временный клей, чтобы убедиться, что все в порядке. При необходимости — корректируют. Эмаль протравливают, наносят адгезив (сцепляющее вещество) а затем по одному приклеивают накладки. Клеящий раствор и винир становятся единым целым. Теперь снять пластинку можно только специальным бором с алмазным напылением.

Уход

-10

Чистить зубы необходимо минимум 2 раза в день. Вычищайте межзубные промежутки зубной нитью или ирригатором. Посещать стоматолога для профилактических осмотров необходимо 2 раза в год.