Найти в Дзене
Mr.emka🥼🦷

Зачем нужна проф-гигиена у стоматолога ?

Профессиональная гигиена полости рта – это механический способ удаления бактериального налета и зубного камня, в том числе токсинов, скопившихся на поверхности зуба и пигментированного налета.  Гигиена полости рта является очень важным аспектом нашего здоровья. Вам необходима процедура профессиональной гигиены полости рта, если: Однако, даже если у вас нет таких симптомов, обращаться за профессиональной гигиеной полости рта рекомендуется минимум раз в полгода. Зачем мне посещать гигиениста? Регулярная чистка зубов у стоматолога или врача-гигиениста важна для удаления зубного налета, который может развиться даже при тщательной чистке зубной щёткой и нитью, особенно в тех местах, куда пациенту трудно самостоятельно добраться. Профессиональная чистка включает в себя чистку зубов, полировку и удаление зубного камня, если его накапливается слишком много. Это включает использование различных инструментов или устройств для удаления отложений с зубов. Большинство стоматологов рекомендуют пр

Профессиональная гигиена полости рта – это механический способ удаления бактериального налета и зубного камня, в том числе токсинов, скопившихся на поверхности зуба и пигментированного налета. 

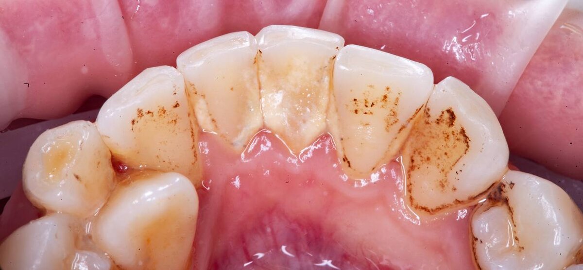
Эта фотопротокол - необходимый для стоматолога , чтобы наглядно показать пациенту отель проблемах в полости рта , а так же для проведения сравнения с результатом процедуры.
Эта фотопротокол - необходимый для стоматолога , чтобы наглядно показать пациенту отель проблемах в полости рта , а так же для проведения сравнения с результатом процедуры.
На данной фотографии, фото после проведения процедуры проф. гигиены. Фотографии из личного архива пациентов , не взятый из интернета. Наглядный пример «до» - «после».
На данной фотографии, фото после проведения процедуры проф. гигиены. Фотографии из личного архива пациентов , не взятый из интернета. Наглядный пример «до» - «после».

Гигиена полости рта является очень важным аспектом нашего здоровья. Вам необходима процедура профессиональной гигиены полости рта, если:

  • Вы регулярно жалуетесь на неприятный запах изо рта 🤢
  • Вы наблюдаете частую кровоточивость десен 🩸
  • у вас много зубного налета, который трудно удалить 🪥
  • У вас есть пигментация эмали зубов (как результат курения или употребления кофе/чая) ☕️

Однако, даже если у вас нет таких симптомов, обращаться за профессиональной гигиеной полости рта рекомендуется минимум раз в полгода.

Зачем мне посещать гигиениста?

Регулярная чистка зубов у стоматолога или врача-гигиениста важна для удаления зубного налета, который может развиться даже при тщательной чистке зубной щёткой и нитью, особенно в тех местах, куда пациенту трудно самостоятельно добраться. Профессиональная чистка включает в себя чистку зубов, полировку и удаление зубного камня, если его накапливается слишком много. Это включает использование различных инструментов или устройств для удаления отложений с зубов. Большинство стоматологов рекомендуют профессионально чистить зубы минимум каждые пять-шесть месяцев.

-3

Даже если вы проделываете большую работу по чистке зубов самостоятельно и пристрастны к использованию зубной нити, вам все равно нужна профессиональная чистка. Гигиенисты-стоматологи используют специальные методы, инструменты и свои профессиональные навыки для выполнения процедуры гигиены полости рта, что невозможно сделать самостоятельно. Кроме того, специалисты обследуют как вашу ротовую полость, так и ваши зубы на наличие различных заболеваний.

Лучший способ предотвратить развитие кариеса и гингивита и сохранить здоровье зубов - регулярно посещать своего гигиениста. В некоторых случаях зубная инфекция может быть опасна для ортопедических имплантатов, и ваш врач может порекомендовать лекарственные препараты до стоматологических процедур.

А как проходит процедура , я вам расскажу в следующем посту🦷