Добавить в корзинуПозвонить
Найти в Дзене
Старина Кох

Септическая эмболия

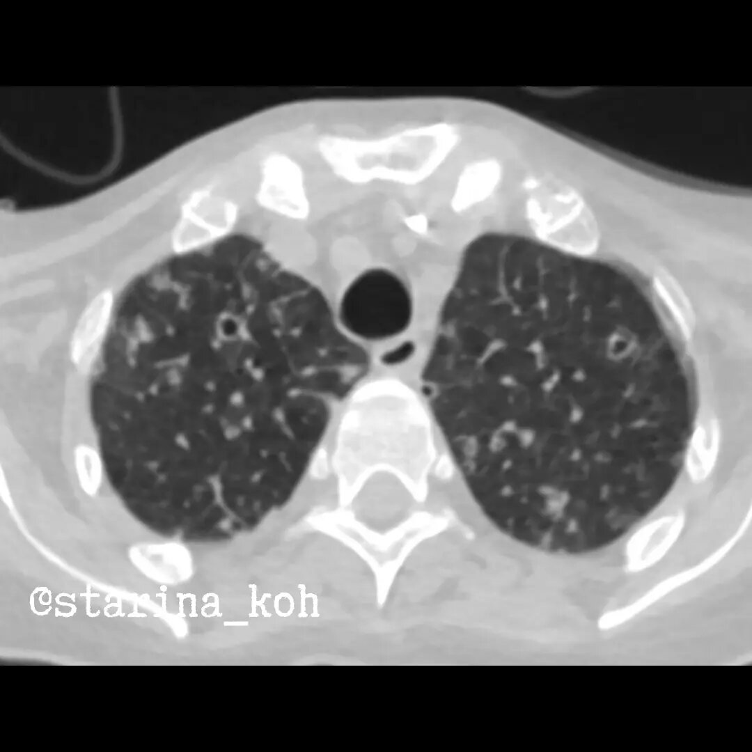
Наблюдательные читатели могут сказать - Старина, вы подсунули нам РГ и КТ разных больных. Постойте, сейчас все объясню (с). На самом деле - снимки одного пациента, но с разницей 6 дней - мы видим распространенные изменения на КТ, которых на РГ еще нет, за исключением единичных элементов - а мы понимаем, что они бы так или иначе "попали" на снимок. Имеем дело с очень бурным процессом! Пациентка 57 лет - два месяца назад выполнена правосторонняя гемиколэктомия с лимфодиссекцией по поводу рака восходящей ободочной кишки, поступила в больницу повторно с жалобами на схваткообразные боли в животе, тошноту - с подозрением на спаечную кишечную непроходимость осмотрена хирургом, выполнены дополнительные исследования - непроходимость не подтвердилась, проводилась консервативная терапия. Также больная отмечала, что последнее время появилась боль и покраснение, а также чувство распирания в правом предплечье и левом бедре - при осмотре гнойным хирургом данные области отечны, с нарушением функции,

Наблюдательные читатели могут сказать - Старина, вы подсунули нам РГ и КТ разных больных. Постойте, сейчас все объясню (с). На самом деле - снимки одного пациента, но с разницей 6 дней - мы видим распространенные изменения на КТ, которых на РГ еще нет, за исключением единичных элементов - а мы понимаем, что они бы так или иначе "попали" на снимок. Имеем дело с очень бурным процессом!

Пациентка 57 лет - два месяца назад выполнена правосторонняя гемиколэктомия с лимфодиссекцией по поводу рака восходящей ободочной кишки, поступила в больницу повторно с жалобами на схваткообразные боли в животе, тошноту - с подозрением на спаечную кишечную непроходимость осмотрена хирургом, выполнены дополнительные исследования - непроходимость не подтвердилась, проводилась консервативная терапия. Также больная отмечала, что последнее время появилась боль и покраснение, а также чувство распирания в правом предплечье и левом бедре - при осмотре гнойным хирургом данные области отечны, с нарушением функции, а при УЗИ кроме отека клетчатки под кожей - жидкостные прослойки. Было принято решение произвести вскрытие флегмон предплечья и бедра, что и было сделано. В дальнейшем проводилась местная терапия ран, а также антибиотикотерапия.

Однако, через 5 дней после операций состояние больной ухудшилось - стала регистрироваться гипертермия, возникло угнетение сознания и дыхательных функций - больная переведена в ОРИТ, инициирована ИВЛ. При переводе в ОРИТ показатели крови: WBC 6,2, гемоглобин 68 г/л, эритроциты 2,7, СРБ 180 мг/л, ПКЦ 10 мкг/л, в моче - бактерии, лейкоциты и эритроциты.

-2
-3
-4
-5
-6

Именно тогда, перед интубацией и была выполнена КТ - мы видим, что в лёгких имеется большое количество хаотично расположенных очагов, часть из которых с распадами, а также мелких полостей, инфильтратов и участков инфарктов в базальных отделах - вся эта КТ-картина в совокупности с тем, что изменения почти полностью отсутствовали 6 дней назад свидетельствует в пользу септической эмболии лёгких - часто очень бурно протекающему процессу, сопутствующим сепсису с наличием гнойного источника в организме - а их у пациентки было диагностировано минимум два - именно оттуда и "летят" инфицированные тромбы в окружающих сосудах, и далеко не только инфекционный эндокардит может стать причиной такой эмболии. В чем сложность данного случая? В наличии у пациентки онко анамнеза - если бы мы увидели подобную картину при поступлении на КТ (не зная о клинической картине) - можно было вполне думать и о метастазах колоректального рака в легких - ведь кавитирующие (т.е. полостные) метастазы - не такая уж и редкость. А если сочетание процессов? В общем, в данном случае именно корреляция клинической картины и изменений на КТ в виде быстрой отрицательной динамикой, а также характерных двусторонних элементов разного вида (очаги, инфильтраты, распады) позволило думать о том, что у пациентки септическая эмболия лёгких в рамках генерализованного сепсиса - уже на аутопсии удалось получить рост из материала легких acinetobacter spp., Klebsiella pneumoniae, Ps. aeruginosa.

А какие источники септической эмболии встречались вам?