Добавить в корзинуПозвонить
Найти в Дзене
International Lumbago Clinic

Истории пациентов (8)

С согласия пациентов публикуем их истории. Пациент – мужчина, 28 лет История болезни Три года назад появились сильные боли в пояснице. В 2021 году сделал инъекцию Hernicore, улучшения не было. В 2022 году – лечение озоном, боль немного утихла, но не прошла полностью. Симптомы усиливаются при переворачивании с боку на бок, вставании, наклонах, приседании. Не могу долго сидеть и поднимать тяжелые вещи. Симптомы по 10-балльной шкале (0 – отсутствие симптомов, 10 – сильные боли/онемение):
– боли в пояснице: 3;
– боли в ногах: 0;
– боли в ягодицах: 0;
– онемение в ногах: 0. Визуальная диагностика в клинике По данным МРТ выявлена дегенерация межпозвоночных дисков L4/L5 и L5/S1. Предполагается разрыв фиброзного кольца диска L4/L5. Лечение Проведена селлгель-терапия на 2 межпозвоночных дисках. Под визуализационным контролем в диски позвоночника введен гелевый препарат, способствующий восстановлению функциональности поврежденного межпозвоночного диска. Время лечения – около 25 минут. Для принят
Оглавление

С согласия пациентов публикуем их истории.

Пациент – мужчина, 28 лет

История болезни

Три года назад появились сильные боли в пояснице.

В 2021 году сделал инъекцию Hernicore, улучшения не было. В 2022 году – лечение озоном, боль немного утихла, но не прошла полностью.

Симптомы усиливаются при переворачивании с боку на бок, вставании, наклонах, приседании. Не могу долго сидеть и поднимать тяжелые вещи.

Симптомы по 10-балльной шкале (0 – отсутствие симптомов, 10 – сильные боли/онемение):
– боли в пояснице: 3;
– боли в ногах: 0;
– боли в ягодицах: 0;
– онемение в ногах: 0.

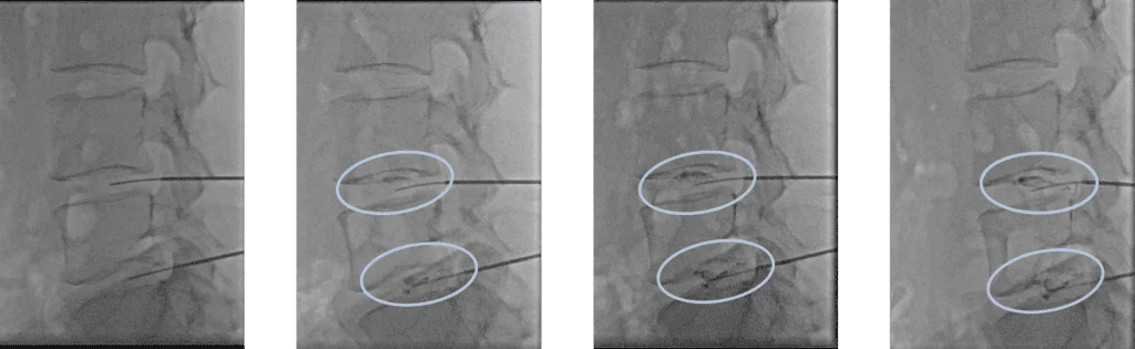
Визуальная диагностика в клинике

По данным МРТ выявлена дегенерация межпозвоночных дисков L4/L5 и L5/S1. Предполагается разрыв фиброзного кольца диска L4/L5.

Лечение

Проведена селлгель-терапия на 2 межпозвоночных дисках.

Под визуализационным контролем в диски позвоночника введен гелевый препарат, способствующий восстановлению функциональности поврежденного межпозвоночного диска.

-2

Время лечения – около 25 минут.

Для принятия решения о возможности / невозможности лечения в International Lumbago Clinic есть услуга удаленной диагностики.

Если Вы страдаете болями в пояснице и хотите избежать хирургического вмешательства и госпитализации, обратитесь к координаторам клиники:
Сайт:
https://ru.ilclinic.or.jp/
Телефон, WhatsApp: +81-80-9500-8185
E-mail:
ru-info@ilclinic.or.jp