Добавить в корзинуПозвонить
Найти в Дзене

Клиновидный дефект - это не кариес, это другое)

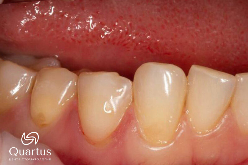
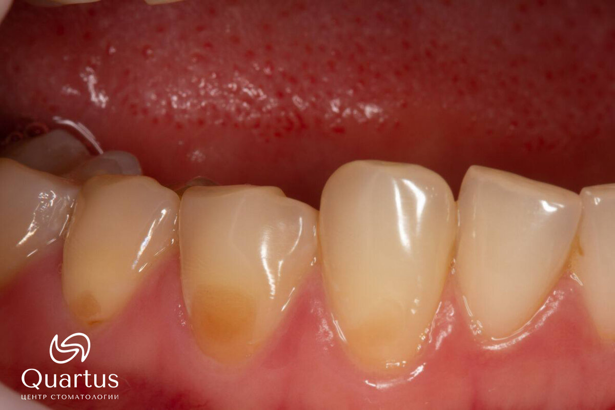
Не всегда патологии твердых тканей зубов – кариес. Существует некариозное поражение – клиновидный дефект, внешне – это полость, имеющая форму клина. При клиновидном дефекте на месте, где зубная коронка примыкает к десне, деформируется эмаль. Почему развивается клиновидный дефект зубов пока неизвестно. Есть несколько теорий и все они связаны с излишней нагрузкой на зубную эмаль. (Неправильная чистка зубов, патологический прикус, отсутсвие зубов, чрезмерное употребление газировок). Дефект может развиться как на верхней, так и на нижней челюсти, на одном или нескольких зубах. Чаще всего страдают клыки и премоляры. Заболевание развивается постепенно и незаметно. Со временем дефект углубляется в дентин, и человек чувствует боль, реакцию на термические и механические раздражители. Клиновидный дефект появляется у людей разного возраста. Однако, чем старше человек, тем больше риск развития патологии. Момент появления клиновидного дефекта невозможно отследить самостоятельно. Но если проходить

Не всегда патологии твердых тканей зубов – кариес. Существует некариозное поражение – клиновидный дефект, внешне – это полость, имеющая форму клина. При клиновидном дефекте на месте, где зубная коронка примыкает к десне, деформируется эмаль.

Почему развивается клиновидный дефект зубов пока неизвестно. Есть несколько теорий и все они связаны с излишней нагрузкой на зубную эмаль. (Неправильная чистка зубов, патологический прикус, отсутсвие зубов, чрезмерное употребление газировок). Дефект может развиться как на верхней, так и на нижней челюсти, на одном или нескольких зубах. Чаще всего страдают клыки и премоляры. Заболевание развивается постепенно и незаметно. Со временем дефект углубляется в дентин, и человек чувствует боль, реакцию на термические и механические раздражители. Клиновидный дефект появляется у людей разного возраста. Однако, чем старше человек, тем больше риск развития патологии.

Момент появления клиновидного дефекта невозможно отследить самостоятельно. Но если проходить регулярные осмотры у стоматолога, лечение будет начато вовремя и пройдет с минимальными затратами времени и средств.

-2

Наш талантливый стоматолог - терапевт Кадурина Владислава Сергеевна сможет избавить Вас от клиновидных дефектов безболезненно и быстро.

Записывайтесь на прием:

+7 (495) 197 8442
https://ik-stom.ru/

Доктор Кадурина Владислава Сергеевна.
Доктор Кадурина Владислава Сергеевна.