Добавить в корзинуПозвонить
Найти в Дзене

Бесплодие - минимально максимальное обследование.

Жизнь так изменчива...Некоторые в 18 лет боятся беременности и судорожно делают тесты, боясь увидеть две полоски, а потом наступает время, когда с трепетом ждешь эти заветные две полосочки. Прекрасно, когда желаемого получается добиться за 1-2 цикла. Но чем больше безрезультатно ждешь, тем больше растет тревога. Давайте разберемся, какие основные причины отсутствия беременности могут быть. 1. Гипотиреоз Компенсаторные способности нашего организма колоссальны, но у всех они разные. И действительно, на практике бывают ситуации, когда пациентка из жалоб озвучивает лишь отсутствие беременности, а по результатам обследований мы видим, что там махровый гипотиреоз с высоченным ТТГ и низким Т4св. А отеков нет, и усталости тоже, и цикл даже может быть регулярным. Поэтому, смотрим ТТГ . 2. Гиперпролактинемия Повышение пролактина, которое чаще вызывается аденомой гипофиза, действительно может блокировать овуляцию (соответственно, и беременность). И не обязательно из груди будет брызгать молок
Оглавление

Жизнь так изменчива...Некоторые в 18 лет боятся беременности и судорожно делают тесты, боясь увидеть две полоски, а потом наступает время, когда с трепетом ждешь эти заветные две полосочки.

Прекрасно, когда желаемого получается добиться за 1-2 цикла. Но чем больше безрезультатно ждешь, тем больше растет тревога.

Давайте разберемся, какие основные причины отсутствия беременности могут быть.

1. Гипотиреоз

Компенсаторные способности нашего организма колоссальны, но у всех они разные. И действительно, на практике бывают ситуации, когда пациентка из жалоб озвучивает лишь отсутствие беременности, а по результатам обследований мы видим, что там махровый гипотиреоз с высоченным ТТГ и низким Т4св. А отеков нет, и усталости тоже, и цикл даже может быть регулярным. Поэтому, смотрим ТТГ .

2. Гиперпролактинемия

Повышение пролактина, которое чаще вызывается аденомой гипофиза, действительно может блокировать овуляцию (соответственно, и беременность). И не обязательно из груди будет брызгать молоко. И нарушения цикла не обязательно будут выраженные. Да, может цикл удлиниться на несколько дней, и то не всегда. Поэтому вторым по значимости показателем, который мы должны оценить, будет пролактин. Напишу сразу, что для него принципиальны правила сдачи: день цикла может быть любой, но накануне не должно быть полового контакта, тяжелой интенсивной физической нагрузки, стресса. На консультации эндокринолога обязательно говорите о принимаемых препаратах, так как некоторые могут повышать пролактин.

3. Неклассическая врожденная дисфункция коры надпочечников (нВДКН).

Скажу сразу, если уже были беременности и успешные роды - можете пропускать этот пункт. Если же были неразвивающиеся беременности, самопроизвольные выкидыши, или беременности не было вовсе - обратите внимание.

Есть такое достаточно редкое врожденное генетическое заболевание - нВДКН. Исключить его можно сдав 17-ОН прогестерон строго на 2-4 день цикла (или в любой день, если цикл отсутствует вообще).

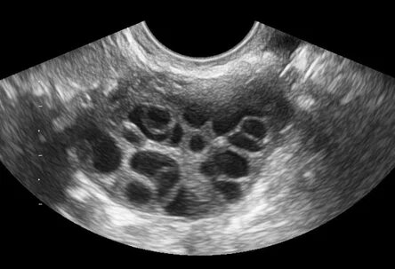
Если взять всех женщин с бесплодием, около 20-30% из них будут составлять женщины с СПКЯ (синдромом поликистозных яичников).

Поликистозный яичник.
Поликистозный яичник.

СПКЯ - диагноз исключения. Прежде чем его поставить, мы должны исключить указанную выше патологию (гипотиреоз, гиперпролактинемию, нВДКН). СПКЯ - хроническое заболевание, чаще манифестирует с 21 лет, сопровождаясь нерегулярным циклом и/или наличием симптомов гиперандрогении (избыточный рост волос на лице и теле, выпадение волос на голове).

Нерегулярность может варьироваться, от 1-2 недельных задержек до полного отсутствия менструального цикла.

Конечно, много и чисто гинекологической патологии: эндометриоз, полипы и пр.

В вопросе бесплодия главное поставить правильный диагноз и начать адекватное лечение (а не КОК на полгода, Дюфастон каждый месяц и пр - это разберем в следующих постах).

Расскажите свои истории, слушаю ваши вопросы. Буду рада подсказать ;)

-3