Добавить в корзинуПозвонить
Найти в Дзене
Учусь жизни у кота

Почему пяточная шпора?

Почему именно у меня? Почему так рано? Если окунуться в историю, то стопы у меня болели примерно с самого-самого детства. 40 минут идешь, дальше трындец.
В какой-то момент я научилась наступать с силой серединкой стопы на угол поребрика, тогда боль проходила на какое-то время.
А в 14 я открыла для себя каблуки. На них, конечно, не было удобно, но ступни не болели! Поэтому я с них не слезала, гуляла и ходила в них целыми днями. Натоптыши далеко не так сильно болят, как мышцы и кости внутри. И да, удобные туфли на каблуке существуют. Даже с коляской гулять на каблуках было норм. А вот когда я пыталась слезть с каблуков во время беременности (чтобы люди на улице не цеплялись), боль была до слёз, даже если выйдешь просто во двор. Ступни просто сводило.
Очевидно, у меня какие-то сухожилия и мышцы укорочены от природы. Плюс плоскостопие. Когда я лежу с расслабленными стопами, они вытянуты в подъём, им так удобно. Заметила, что не у всех так, когда вышла замуж.))) У ортопеда я, конечно,
Оглавление

Почему именно у меня? Почему так рано?

Если окунуться в историю, то стопы у меня болели примерно с самого-самого детства. 40 минут идешь, дальше трындец.

В какой-то момент я научилась наступать с силой серединкой стопы на угол поребрика, тогда боль проходила на какое-то время.

А в 14 я открыла для себя каблуки. На них, конечно, не было удобно, но ступни не болели! Поэтому я с них не слезала, гуляла и ходила в них целыми днями. Натоптыши далеко не так сильно болят, как мышцы и кости внутри. И да, удобные туфли на каблуке существуют. Даже с коляской гулять на каблуках было норм.

А вот когда я пыталась слезть с каблуков во время беременности (чтобы люди на улице не цеплялись), боль была до слёз, даже если выйдешь просто во двор. Ступни просто сводило.

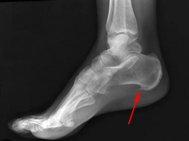
Снимок не мой, но наглядный
Снимок не мой, но наглядный


Очевидно, у меня какие-то сухожилия и мышцы укорочены от природы. Плюс плоскостопие. Когда я лежу с расслабленными стопами, они вытянуты в подъём, им так удобно. Заметила, что не у всех так, когда вышла замуж.)))

У ортопеда я, конечно, была. "Плоскостопие, подвижные суставы, что вы хотели, носите какие-нибудь стельки".


Потом у меня был необъяснимый, ненаучный и очень дорогой опыт с остеопатом. Он что-то сделал, и я смогла ходить хоть в кедах, хоть босиком без боли. Впервые в жизни!


А потом я сломала косточку в стопе. Там, где крепится большой палец. Неудачно спрыгнула с турника, с кем не бывает. О том, что там был в самом деле перелом, я узнала спустя лет пять. А так я продолжала ходить с ним. Ну, ноет и ноет, ничего, потерплю.😨 На каблуках я ходить, конечно, больше не могла, поэтому каждый день отправляла лучи любви и благодарности тому остеопату, ведь без его магии я бы и вовсе ходить не могла: ни так, ни так.

Но это ладно, всё зажило само, хотя травматолог и не был в восторге от увиденного. Ломать снова уже не имело смысла. Он уже и не болит, кстати.

И вот в сентябре я месяц проходила дома в супер-тонкий тапках, фактически босиком. А на улице просто много ходила. И с тех пор начала болеть пятка, и никак она не желала проходить. После сна было только хуже, а не лучше.

И оказалось что? Оказалась пяточная шпора!

Причин у неё крайне много:

  • пожилой возраст (риск появления заболевания повышается после 45-50 лет из-за изменения обмена веществ и снижения кровоснабжения нижних конечностей). Весы говорят, что возраст моего тела - 42. Видимо, они не врут. Привет теломерам!
  • ожирение (избыточная масса тела является причиной чрезмерной нагрузки на фасцию);
  • ✔ плоскостопие, неправильная похода;
  • ношение неправильной с точки зрения ортопедии обуви (чрезмерно тесной, на высоких каблуках и т.п.);
  • ✔ искривление позвоночника (сколиоз) и некоторые другие заболевания опорно-двигательного аппарата. У кого нет сколиоза, поднимите руку!
  • ✔ беременность (смещение центра тяжести, изменения в гормональном фоне и обмене веществ). Тогда было реальное ухудшение состояния стоп.
  • особенности профессии, из-за которых человек длительное время находится на ногах (продавцы, официанты, промоутеры, многие рабочие специальности) или вынужден часто носить тяжести;
  • профессиональные занятия спортом;
  • ✔ наследственная предрасположенность;
  • нарушения обмена веществ, связанные с повышенным отложением солей в тканях (в частности, подагра);
  • сосудистые заболевания, в частности, атеросклероз сосудов нижних конечностей, облитерирующий эндартериит (повышают риск развития шпоры из-за нарушения кровоснабжения тканей и ухудшения процессов регенерации);
  • ✔ травмы позвоночника, нижних конечностей;
  • сахарный диабет;
  • заболевания костей и суставов ног (артрозы, ревматоидный и псориатический артрит и т.п.), а также использование гормональных средств для их лечения.

В общем, прописали:

  • Ударно-волновую терапию (ДМС не покрывает),
  • Стельки во всю обувь (с ними легче!!)
  • Не прыгать.
  • Не бегать.
  • Я сама ещё прописала себе немного снизить массу тела.

Такие дела. Берегите свои ножки.❤