Добавить в корзинуПозвонить
Найти в Дзене
ВАШ СТОМАТОЛОГ

Профессиональная гигиена у стоматолога. На сколько она важна ?

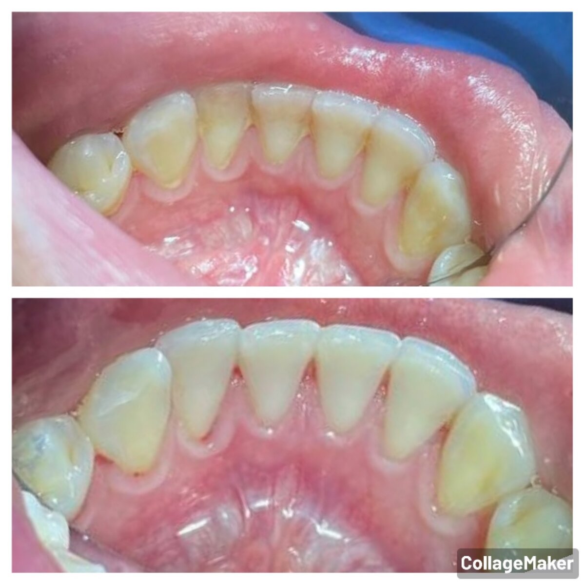
Профессиональная гигиена одна из наиболее простых, но не менее важных процедур в кресле у стоматолога. Давайте разбираться, мы чистим зубы 🦷 2 раза в день, разве этого не достаточно? К сожалению, нет. Даже при регулярной правильной домашней чистике зубов мягкий зубной налёт может скапливайся в труднодоступных местах, вызывая появление зубного камня, кариеса и воспаления десны. Что входит в эту процедуру? Профессиональная гигиена у стоматолога обычно занимает 60 минут, но перед проведением процедуры желатьно сходить на консультацию - время может изменится, это зависит от ситуации в полости рта. Как часто делать проф. гигиену стоматолога? При соблюдении правильной домашней гигиены данную процедуру необходимо проводить 1 раз в 6 месяцев. Но, если Вы любитель покурить и выпить крепкого кофе, а также если Вы носите брекеты или у Вас имеется какое - либо заболевание десен, то стоматолога лучше посещать 1 раз в 3 месяца. При регулярном посещении стоматолога с целью профессиональной гиг

Профессиональная гигиена одна из наиболее простых, но не менее важных процедур в кресле у стоматолога.

Давайте разбираться, мы чистим зубы 🦷 2 раза в день, разве этого не достаточно? К сожалению, нет.

Даже при регулярной правильной домашней чистике зубов мягкий зубной налёт может скапливайся в труднодоступных местах, вызывая появление зубного камня, кариеса и воспаления десны.

Что входит в эту процедуру?

  • Полировка зубов щёткой и специальными пастами - необходима для того, чтобы придать поверхности зуба идеальную гладкость. Это нужно для того, чтобы никаких шероховатостей не осталось, так налёт меньше цепляется за зуб.
  • Удаление камней ультразвуком - зубные камни давят на десну, вызывая ее воспаление, которое может в дальнейшем приводить к расшатыванию и выпадению зубов. Кроме того, камень - это конгломерат из бактерий, которые плохо влияют на иммунитет полости рта.
  • Удаление пигментированного налёта аппаратом Airflow - подача смеси из воды и бикарбоната натрия под давлением. Это обеспечивает очень быстрое удаление даже самых застарелых загрязнений, при этом этот способ безопасен для эмали зуба.
  • Обработка зубов фторлаком - завершающий этап гигиены, направленный на укрепление эмали зубов.

Профессиональная гигиена у стоматолога обычно занимает 60 минут, но перед проведением процедуры желатьно сходить на консультацию - время может изменится, это зависит от ситуации в полости рта.

Как часто делать проф. гигиену стоматолога?

При соблюдении правильной домашней гигиены данную процедуру необходимо проводить 1 раз в 6 месяцев.

Но, если Вы любитель покурить и выпить крепкого кофе, а также если Вы носите брекеты или у Вас имеется какое - либо заболевание десен, то стоматолога лучше посещать 1 раз в 3 месяца.

При регулярном посещении стоматолога с целью профессиональной гигиены Вы заметите, что ваши зубы станут белее на 1-2 тона, а еще забудете про неприятный запах изо рта!

Надеюсь Вам понравилась моя статья, если было полезно поставьте лайк и подпишитесь на канал ВАШ СТОМАТОЛОГ. Тут много полезного про улыбку!