Добавить в корзинуПозвонить
Найти в Дзене

Воспаление дёсен и их лечение

Проблемы с дёснами, их кровоточивость - довольно частая жалоба, с которой сталкиваются и взрослые и дети. При воспалённых дёснах улыбка выглядит непривлекательно. К тому же воспаление сопровождается болезненными ощущения, запахом изо рта, может появиться зубная боль. Болезни дёсен опасны тем, что могут привести к осложнениям, которые грозят потерей зубов. Десна является частью пародонта: тканей, окружающих и удерживающих зуб. Если не лечить заболевания пародонта, можно потерять даже здоровые зубы. Как понять, что с дёснами проблемы? Дёсны могут воспалиться по самым разным причинам: от недостаточной гигиены ротовой полости, из-за ослабленного иммунитета, во время беременности, в результате травм или приёма некоторых лекарственных препаратов. Если вы чувствуете, что появились отёчность десны, боль, кровоточивость, болезненные ощущения при приёме твёрдой, горячей или холодной пищи, нагноение у основания зубов или даже подвижность - всё это является симптомами одного из воспалительных забо

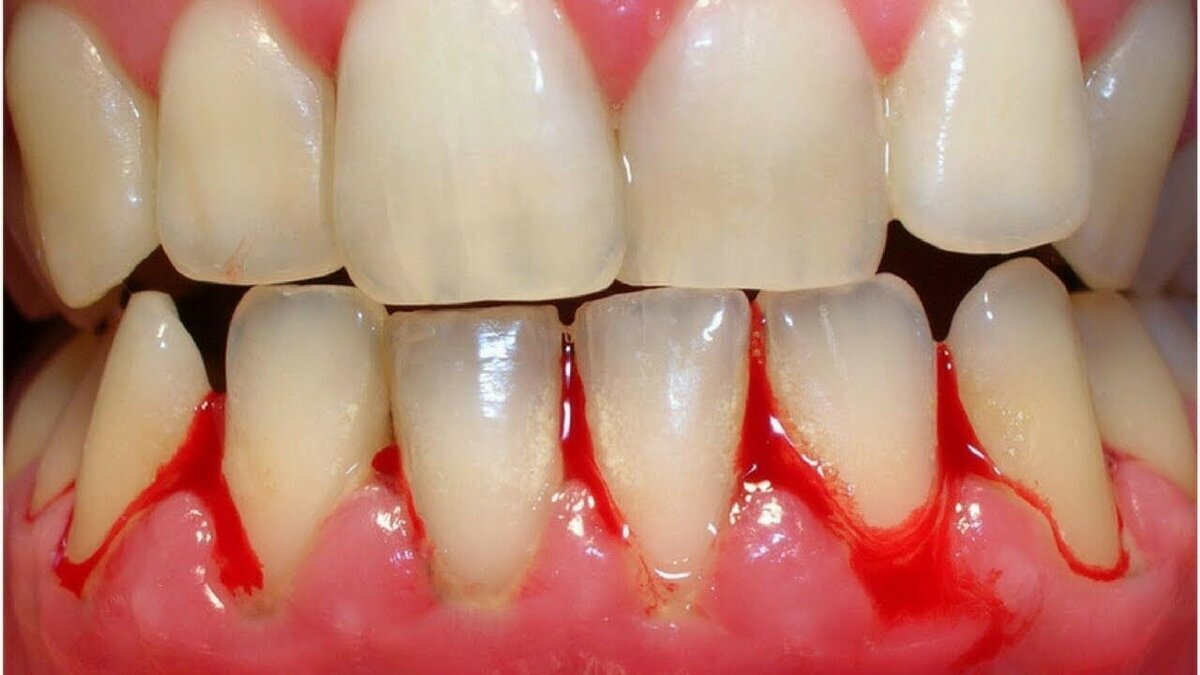
Проблемы с дёснами, их кровоточивость - довольно частая жалоба, с которой сталкиваются и взрослые и дети. При воспалённых дёснах улыбка выглядит непривлекательно. К тому же воспаление сопровождается болезненными ощущения, запахом изо рта, может появиться зубная боль. Болезни дёсен опасны тем, что могут привести к осложнениям, которые грозят потерей зубов. Десна является частью пародонта: тканей, окружающих и удерживающих зуб. Если не лечить заболевания пародонта, можно потерять даже здоровые зубы.

Как понять, что с дёснами проблемы?

Дёсны могут воспалиться по самым разным причинам: от недостаточной гигиены ротовой полости, из-за ослабленного иммунитета, во время беременности, в результате травм или приёма некоторых лекарственных препаратов.

Если вы чувствуете, что появились отёчность десны, боль, кровоточивость, болезненные ощущения при приёме твёрдой, горячей или холодной пищи, нагноение у основания зубов или даже подвижность - всё это является симптомами одного из воспалительных заболеваний ротовой полости.

Признаки, которые должны вас насторожить:

- Покраснение дёсен. Изменение цвета десны это повод для консультации у пародонтолога

- Кровоточивость. Может начаться во время гигиенических процедур, приёма пищи или при ином механическом воздействии. Если это происходит не в первый раз, возможно, вам требуется лечение.

- Дёсны отекли, увеличились в объёме и вызывают дискомфорт или, наоборот, край десны стал опускаться, объём десны уменьшился

- Неприятный запах изо рта, который не исчезает после гигиенических процедур. Это может быть связано с тем, что в зубодесневом кармане скапливается гной.

Болезни дёсен, причины их возникновения

Зачастую причиной заболевания дёсен является воспаление. Начальная стадия - гингивит - характеризуется небольшим воспалением в результате инфекции или механической травмы. При своевременном обращении к врачу он легко поддаётся лечению. Пародонтит является осложнением невылеченного гингивита. Заболевание затрагивает связки зуба, надкостницу, и в конечном итоге приводит к расшатыванию зуба и, как следствие, к его потере. При пародонтите постепенно опускается десна, оголяя шейку зуба, происходит убыль костной ткани; образуются карманы, в которые забивается пища, воспаление усугубляется, разрушая связки зуба. При этом дёсны могут не кровоточить и не болеть.

-2

Заболевание пародонта, протекающее без воспалительного процесса, называется пародонтозом. Приводит к постепенной убыли костной ткани, расшатыванию и выпадению здоровых зубов. Причинами возникновения могут быть: плохая гигиена полости рта, что приводит к образованию зубных камней, которые нарушают питание и кровоснабжение тканей, окружающих зуб. Не последнюю роль в этом вопросе играет наследственность.

На здоровье дёсен влияет общее состояние организма, иммунитета и наличие хронических заболеваний.

Как лечить дёсна?

При первичном осмотре пародонтолог оценит состояние зубов и дёсен, произведёт опрос пациента. В целях диагностики может понадобиться выполнение рентгеновских снимков, направление на анализы.

Для локализации воспаления необходимо провести санацию полости рта: удаление зубного налёта и камней, терапевтическое лечение зубов, при необходимости обработка пародонтальных карманов. Для лечения инфекции врач может назначить антибиотики или провести иную медикаментозную терапию.

При средней и тяжёлой стадии заболевания может потребоваться хирургическое вмешательство, а также шинирование зубов для их сохранения и стабилизации в костной ткани.

Если у пациента уже отсутствуют некоторые зубы, необходимо восстановить их с помощью протезирования для правильного распределения нагрузки при жевании, что позволит избежать появления новых заболеваний полости рта.

-3

Стоматологи Смайл Эстетик напоминают, что любое заболевание легче предотвратить или вылечить на ранней стадии. Своевременное обращение к стоматологу сохранит ваши зубы и дёсны здоровыми надолго и позволит избежать серьёзных денежных трат при лечении поздней стадии заболевания или его осложнений.

Профилактика
Отличной профилактикой болезней дёсен является своевременное терапевтическое лечение зубов, правильное выполнение ежедневных гигиенических процедур полости рта и профилактический осмотр у стоматолога не реже одного раза в полгода.