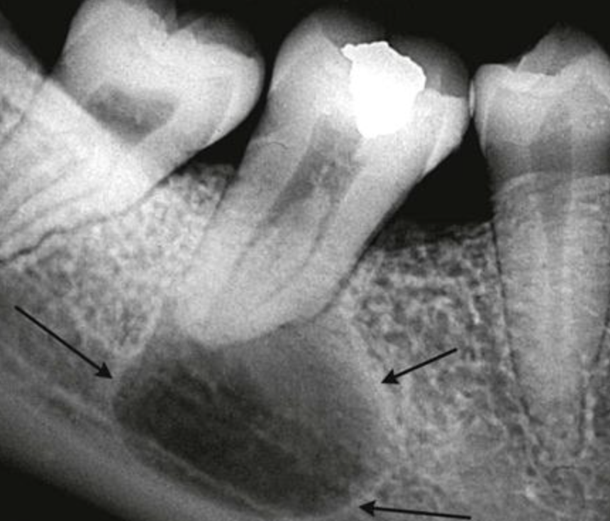
Диагноз "киста" нередко пугает пациентов, которые ассоциируют его с чем-то страшным, вроде новообразования. Особенно жутко становится, когда киста расположена рядом с зубом. Давайте разберемся, действительно ли всё настолько ужасно и есть ли повод для беспокойства. Что такое киста в любом органе у человека❓ Это патологическая полость, которая имеет оболочку и содержимое. Если говорить про кисты, связанные с зубами – так называемые перирадикулярные кисты – то это кисты, которые расположены вокруг корня зуба. И чаще всего причиной их возникновения является хронический периодонтит. Сразу уточним, что не всегда и не обязательно хронический периодонтит со временем переходит в кисту. Но иногда такое случается. Как узнать, что киста есть? На рентгеновских снимках в таких случаях врач может видеть достаточно четкие границы патологического процесса. Это косвенно говорит о том, что, скорее всего, вокруг очага хронического воспаления начала образовываться оболочка, которая впоследствии перерасте
Когда врач ставит диагноз “киста”❓
15 декабря 202215 дек 2022
829
2 мин
