Найти в Дзене
Dia

Полисинусит на КТ ППН: пример описания

Консультативное заключение по представленным КТ-томограммам пациента М, 39 лет. Выполнено исследование: компьютерная томография придаточных пазух носа с последующей реконструкцией в трех плоскостях и в объеме. Контрастное усиление: не проводилось. В "костном" и "мягкотканном" окне определяются следующие изменения: Верхнечелюстные пазухи: Правая: слизистая диффузно утолщена до 5 мм, преимущественно в альвеолярных отделах. Гайморо-назальное соустье проходимо, расширено (состояние после резекции крючковидного отростка). Левая: слизистая диффузно утолщена до 5 мм, преимущественно в альвеолярных отделах. Гайморо-назальное соустье расширено (состояние после резекции крючковидного отростка). Просвет соустья обтурирован мягкотканным образованием плотность +10...+50 HU. Клиновидная пазуха: в правой пазух слизистая незначительно утолщена до 4х мм, сфеноназальные соустья справа прослеживается, слева – обтурировано. Левая клиновидная пазуха тотально заполнена патологическим содержимым плотность
Оглавление

Консультативное заключение по представленным КТ-томограммам пациента М, 39 лет.

Выполнено исследование: компьютерная томография придаточных пазух носа с последующей реконструкцией в трех плоскостях и в объеме.

Контрастное усиление: не проводилось.

В "костном" и "мягкотканном" окне определяются следующие изменения:

Верхнечелюстные пазухи:

Правая: слизистая диффузно утолщена до 5 мм, преимущественно в альвеолярных отделах. Гайморо-назальное соустье проходимо, расширено (состояние после резекции крючковидного отростка).

Левая: слизистая диффузно утолщена до 5 мм, преимущественно в альвеолярных отделах. Гайморо-назальное соустье расширено (состояние после резекции крючковидного отростка). Просвет соустья обтурирован мягкотканным образованием плотность +10...+50 HU.

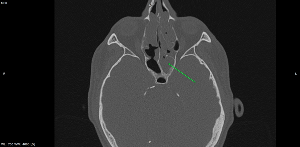
КТ ППН аксиальный срез. Соустья верхнечелюстных пазух расширены. Состояние после удаления крючковидных отростков
КТ ППН аксиальный срез. Соустья верхнечелюстных пазух расширены. Состояние после удаления крючковидных отростков

Клиновидная пазуха:

в правой пазух слизистая незначительно утолщена до 4х мм, сфеноназальные соустья справа прослеживается, слева – обтурировано. Левая клиновидная пазуха тотально заполнена патологическим содержимым плотностью ~30 мм.

Тотальное заполнение клиновидной  пазухи содержимым на компьютерной томограмме придаточных пазух носа.
Тотальное заполнение клиновидной пазухи содержимым на компьютерной томограмме придаточных пазух носа.

Ячейки решетчатой пазухи:

тотально заполнены патологическим содержимым, выводные протоки обтурированы.

Компьютерная томограмма придаточных пазух носа. Стрелками указаны ячейки решетчатой пазухи, тотально заполненные содержимым.
Компьютерная томограмма придаточных пазух носа. Стрелками указаны ячейки решетчатой пазухи, тотально заполненные содержимым.

Лобные пазухи:

тотально заполнены патологическим содержимым, фронтоназальные соустья обтурированы.

Компьютерная томограмма лобных пазух при фронтите.
Компьютерная томограмма лобных пазух при фронтите.

Полость носа:

слизистая утолщена с обеих сторон на уровне среднего и верхнего носовых ходов, средние носовые раковины удалены (состояние после операции). Носовая перегородка не искривлена, не имеет дефектов.

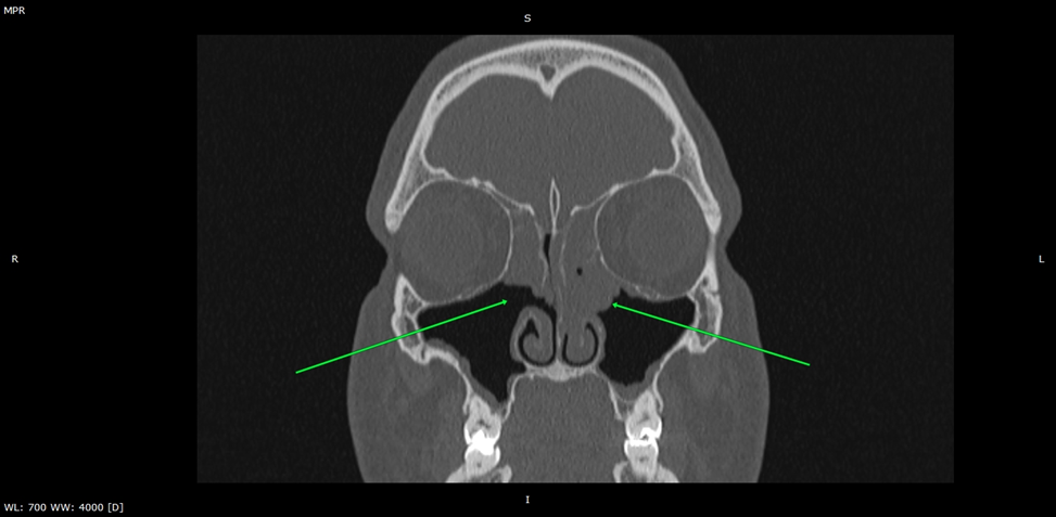
КТ околоносовых пазух, фронтальный срез. Стрелками указаны утолщенная слизистая оболочка носовых ходов.
КТ околоносовых пазух, фронтальный срез. Стрелками указаны утолщенная слизистая оболочка носовых ходов.

Височные кости (в объеме сканирования):

пневматизация ячеек сосцевидного отростка не снижена с обеих сторон, содержимого в ячейках не определяется, слуховые косточки дифференцируются; в барабанной полости воздух. Улитка и полукружные каналы без особенностей. Внутренний слуховой проход справа и слева не расширен, симметричен.

Головной мозг:

достоверно не оценить – не тот режим сканирования.

Костные структуры:

костно-деструктивных изменений на исследованном уровне не выявлено.

Заключение: Двусторонний ринит. Полисинусит, с преимущественным поражением лобной, основной и ячеек решетчатой пазухи. Состояние после оперативного лечения.

Врач рентгенолог: Алиев А.Н.

📲 Закажите удаленное описание КТ околоносовых пазух и получите расшифровку