Найти в Дзене
Галишников Олег

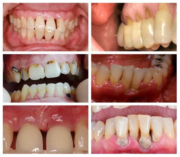
Десна «ушла», корни зубов оголились

Во так обычно и проявляется рецессия дёсен, причём некоторые пациенты ошибочно полагают, что проблема здесь только в эстетике. На самом же деле это довольно опасная патология. Но обо всём по порядку. Рецессия дёсен – это заболевание, при котором оголяются шейки зубов. Причин для его появления может быть множество: 🔹 зубной налёт и камень. Когда их много, они просто сдвигают десну и даже после чистки она уже не возвращается на своё прежнее место; 🔹 особенности строения альвеолярного отростка; 🔹 плохой уход за полостью рта и регулярные механические повреждения десны; 🔹 травмирование зубного ряда; 🔹 воспаление десневой ткани – гингивит или пародонтит. Примечательно, что с этой патологией чаще всего сталкиваются люди после 40 лет, хотя она может появиться даже в очень молодом возрасте. Симптомы, которые говорят о начале патологии: 👉 кариес в месте опущения десны; 👉 высокая чувствительность зубов к еде контрастных температур; 👉 снижение уровня десневой ткани; 👉 полное или частичное
-2
-3

Во так обычно и проявляется рецессия дёсен, причём некоторые пациенты ошибочно полагают, что проблема здесь только в эстетике. На самом же деле это довольно опасная патология.

Но обо всём по порядку.

Рецессия дёсен – это заболевание, при котором оголяются шейки зубов. Причин для его появления может быть множество:

🔹 зубной налёт и камень. Когда их много, они просто сдвигают десну и даже после чистки она уже не возвращается на своё прежнее место;

🔹 особенности строения альвеолярного отростка;

🔹 плохой уход за полостью рта и регулярные механические повреждения десны;

🔹 травмирование зубного ряда;

🔹 воспаление десневой ткани – гингивит или пародонтит.

Примечательно, что с этой патологией чаще всего сталкиваются люди после 40 лет, хотя она может появиться даже в очень молодом возрасте.

Симптомы, которые говорят о начале патологии:

👉 кариес в месте опущения десны;

👉 высокая чувствительность зубов к еде контрастных температур;

👉 снижение уровня десневой ткани;

👉 полное или частичное открытие корня зуба.

Чаще всего для лечения рецессия требуется оперативное вмешательство – когда берётся лоскуток слизистой и как заплатка нашивается на проблемную зону. Но до такого лучше не доводить, а заниматься профилактикой.

Что я рекомендую:

✅ своевременно лечить зубы;

✅ регулярно посещать стоматолога для осмотра и гигиены;

✅ подобрать подходящую щётку, которая не будет травмировать десну.

В галерее нашёл для вас несколько примеров рецессии дёсен. Надеюсь, что это поможет вам задумать о здоровье своих зубов и лечить их вовремя.

О возможных противопоказаниях проконсультируйтесь со специалистом

#галишников #стоматологиямск #стоматологмск #стоматолог #москвастоматология #стоматологмосква #лечениезубовмосква #стоматологическаяклиникамосква #отбеливаниезубовмосква #профигигиеназубов #симоновплаза #омегаплаза #юаомосква