Добавить в корзинуПозвонить
Найти в Дзене

Одномоментная или классическая имплантация — от чего зависит выбор?

Выбор одного их двух протоколов имплантации зависит от очень многих факторов: индивидуальных особенностей пациента, используемых материалов, количества и состояния костной ткани и многого другого. Каждый способ имеет свои преимущества и нюансы, которые следует учитывать.
🦷 Классическая имплантация состоит из двух этапов. Сначала расслаивают десну и формируют в кости ложе, в котором фиксируют имплантат. Спустя 2-6 месяцев, после окончательного приживления, устанавливают коронка на искусственный корень. При таком протоколе обеспечивается:
— создание четкого десневого контура
— повышенная устойчивость имплантата к нагрузке
Из минусов отметим длительность лечения и необходимость наращивания костной ткани.
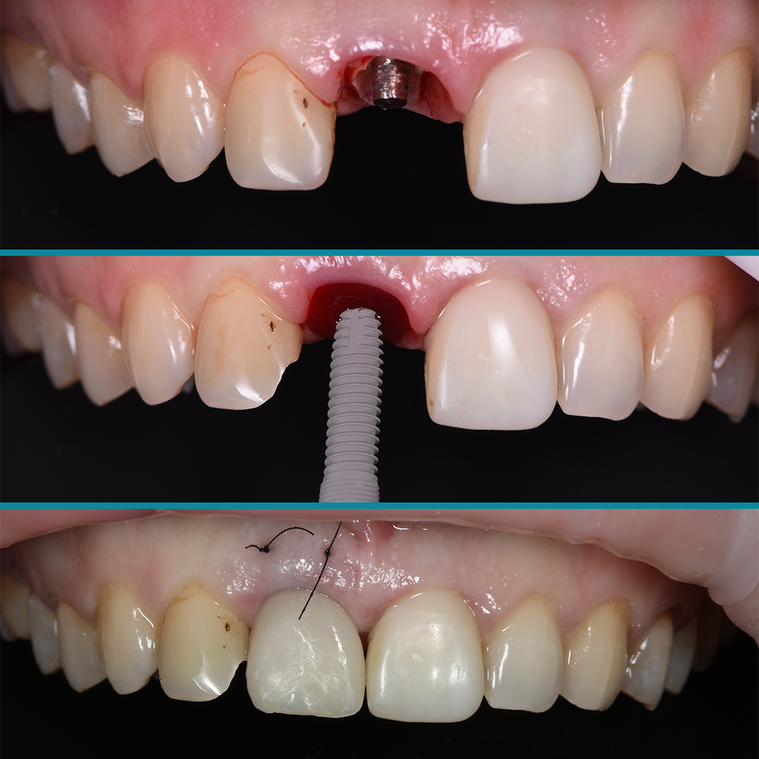
🦷 При одномоментной имплантации искусственный корень устанавливается сразу после удаления больного зуба в ту же лунку. Если объема костной ткани достаточно, то возможна немедленная нагрузка в виде временной коронки. Такой способ экономит массу времени и позволяет сразу после лечения к

Выбор одного их двух протоколов имплантации зависит от очень многих факторов: индивидуальных особенностей пациента, используемых материалов, количества и состояния костной ткани и многого другого. Каждый способ имеет свои преимущества и нюансы, которые следует учитывать.

🦷 Классическая имплантация состоит из двух этапов. Сначала расслаивают десну и формируют в кости ложе, в котором фиксируют имплантат. Спустя 2-6 месяцев, после окончательного приживления, устанавливают коронка на искусственный корень. При таком протоколе обеспечивается:
— создание четкого десневого контура
— повышенная устойчивость имплантата к нагрузке
Из минусов отметим длительность лечения и необходимость наращивания костной ткани.

🦷 При одномоментной имплантации искусственный корень устанавливается сразу после удаления больного зуба в ту же лунку. Если объема костной ткани достаточно, то возможна немедленная нагрузка в виде временной коронки. Такой способ экономит массу времени и позволяет сразу после лечения комфортно принимать пищу. Также одномоментная имплантация признана наименее травматичным способом. Но существует ряд противопоказаний, при которых одномоментная имплантация невозможна:
— недостаточный объем костной ткани
— воспалительные процессы в полости рта
— травматичное удаление зуба, при котором нарушается целостность костных стенок

Для выбора того или иного протокола в клинике Клиостом мы проводим детальное обследование с учетом всех индивидуальных показателей пациента. Основательная диагностика — важнейшая ступень успешного лечения! Наши специалисты профессионально проведут вас через все этапы, чтобы достичь наилучшего результата.

Ждем вас на консультацию, записаться очень просто:
— по телефону (846) 247-74-04;
— на сайте kiostom.ru;
— просто написав нам в личные сообщения.

Ждем вас на ул. Тухачевского, 88.

-2