Найти в Дзене
Zelenograd.ru

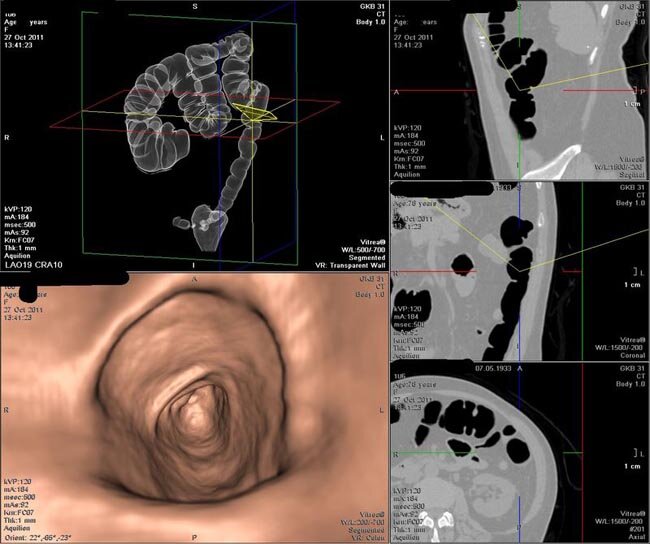
Виртуальная колоноскопия на компьютерном томографе в центре "Томоград" — высокоточная малоинвазивная методика обследования толстого кишечника

Уникальная, единственная в Зеленограде диагностика новообразований в кишечнике без дискомфорта. Диагностический центр "Томоград" приглашает провести диагностику толстого кишечника методом компьютерной томографии. Показания для обследования — подозрение на опухолевые поражения. Виртуальная колоноскопия — максимум комфорта для пациента Это современная и малоинвазивная методика визуализации толстого кишечника, которая дает возможность точно определить локализацию патологического процесса, позволяет оценить состояние толстой кишки (вне зависимости от ее длины, наличия дополнительных петель). - Колоноскоп в кишку не вводится — обследование проходит при помощи томографа, что немаловажно для пациентов, не готовых к неприятной процедуре классического обследования. - Отсутствие неприятных ощущений во время процедуры. Пациент не испытывает выраженного дискомфорта и боли. - Отсутствие риска травматизации слизистой кишечника. Процедура абсолютно безопасна. Перед проведением процедуры, проконсульти
Оглавление

Уникальная, единственная в Зеленограде диагностика новообразований в кишечнике без дискомфорта. Диагностический центр "Томоград" приглашает провести диагностику толстого кишечника методом компьютерной томографии. Показания для обследования — подозрение на опухолевые поражения.

-2

Виртуальная колоноскопия — максимум комфорта для пациента

Это современная и малоинвазивная методика визуализации толстого кишечника, которая дает возможность точно определить локализацию патологического процесса, позволяет оценить состояние толстой кишки (вне зависимости от ее длины, наличия дополнительных петель).

- Колоноскоп в кишку не вводится — обследование проходит при помощи томографа, что немаловажно для пациентов, не готовых к неприятной процедуре классического обследования. - Отсутствие неприятных ощущений во время процедуры. Пациент не испытывает выраженного дискомфорта и боли. - Отсутствие риска травматизации слизистой кишечника. Процедура абсолютно безопасна.

Перед проведением процедуры, проконсультируйтесь с лечащим врачом. После исследования вы получите результаты исследования: CD-диск с изображениями и подробное заключение врача-диагноста.

Отличия от классического исследования

Данный способ обследования основан на использовании мультиспиральной компьютерной томографии, в ходе которой на монитор передается 3D-изображение разных сегментов кишечника. Виртуальное исследование отличается от традиционной колоноскопии не только отсутствием необходимости во введении колоноскопа.

К другим достоинствам метода относят:

- высокую точность диагностики - возможности для оценки анатомии и формы всех отделов кишечника и окружающих кишку тканей - хорошую переносимость пациентами вне зависимости от возраста и индивидуальных особенностей - простоту осмотра даже при сильных изгибах кишки и самых труднодоступных участков - информативность и точность - малоинвазивность - скорость проведения процедуры - отсутствие риска травмирования слизистой кишки - исследование в 3D.

Методика проведения: процедура выполняется в амбулаторных условиях, исследование максимально комфортно для пациента. Продолжительность обследования — от 10 до 30 минут. Пациент размещается на кушетке. В прямую кишку вводится трубка, и нагнетается воздух для расправления стенок кишечника. Кушетка передвигается в сканер. Датчики внутри аппарата движутся вокруг пациента и выполняют серию снимков. По команде врача пациент должен задерживать дыхание.

Как попасть на исследование:

- исследование назначается при подозрении на онкологическое поражение кишечника - направление может выписать как проктолог, так и гастроэнтеролог - при отсутствии направления на диагностику показания для МСКТ устанавливает врач-рентгенолог центра.

Достоверность диагностики: зависит от степени подготовки кишечника.

Что НЕ включает в себя метод:

- невозможно выполнить биопсию при проведении данного исследования.

Противопоказания

- ущемление пупочной или паховой грыжи - период сразу же после операций (особенно полостных) - признаки кишечной непроходимости - колики или состояние "острого живота".

Когда возникает подозрение на онкологическое поражение кишечника

Факторы риска включают:

- возраст после 40 лет - отягощенный анамнез - воспалительные заболевания кишечника - мужской пол - высокое потребление жиров, сахара, алкоголя, красного мяса, мясных полуфабрикатов - ожирение - курение - отсутствие физических упражнений.

Классические симптомы включают:

- нарушения частоты стула и длительные запоры - боли в области живота с невыясненной причиной - обильные слизистые или кровяные включения в кале - анемия при наличии кишечной симптоматики - уменьшение калибра (густоты) стула - необъяснимая потеря веса.

-3

Преимущества проведения в центре "ТомоГрад"

Специалисты, которые проводят колоноскопию в центре "ТомоГрад" — высококвалифицированные врачи-рентгенологи, обладающие всеми необходимыми навыками и знаниями.

В центре — новейшее профессиональное оборудование. Гарантируется высокая точность и информативность диагностики.

Индивидуальный подход — к каждому пациенту. Врачи клиники внимательно следят за тем, чтобы пациенту было удобно во время подготовки к процедуре и в ходе ее проведения.

Телефоны для консультации и записи на исследование:

- 8-499-645-53-52 - 8-495-722-14-85

Адрес: Зеленоград, 15-й микрорайон, корпус 1514

Сайт, Вконтакте, Одноклассники

-4