Найти в Дзене
ПОКОЛЕНИЕ 43

Врачи спасли женщину с застрявшей в горле рыбной костью

Жительница Уржумского района поступила в оториноларингологическое отделение КОКБ в тяжёлом состоянии, вызванным сильнейшим обезвоживанием Оториноларингологическое отделение Кировской областной клинической больницы является старейшим в областной больнице, основано в 1927г. Здесь оказывается специализированная, в том числе высокотехнологичная медицинская помощь, включающая практически весь спектр заболевания уха, горла и носа. Ежегодно специалистами отделения проводится более 2500 операций на ЛОР-органах. В их числе и оперативные вмешательства по экстренным показаниям. Одним из таких примеров стала история спасения 61-летней жительницы Уржумского района. Женщина была доставлена из центральной районной больницы санитарным транспортом. Выяснилось, что ещё несколько дней назад она подавилась рыбной костью, однако за медицинской помощью не обратилась. Через 3 дня она уже не могла ни есть, ни пить, но всё ещё находилась дома. Только на 6 сутки пенсионерка обратилась к врачам по месту жительст

Жительница Уржумского района поступила в оториноларингологическое отделение КОКБ в тяжёлом состоянии, вызванным сильнейшим обезвоживанием

Оториноларингологическое отделение Кировской областной клинической больницы является старейшим в областной больнице, основано в 1927г. Здесь оказывается специализированная, в том числе высокотехнологичная медицинская помощь, включающая практически весь спектр заболевания уха, горла и носа. Ежегодно специалистами отделения проводится более 2500 операций на ЛОР-органах. В их числе и оперативные вмешательства по экстренным показаниям.

Одним из таких примеров стала история спасения 61-летней жительницы Уржумского района. Женщина была доставлена из центральной районной больницы санитарным транспортом. Выяснилось, что ещё несколько дней назад она подавилась рыбной костью, однако за медицинской помощью не обратилась. Через 3 дня она уже не могла ни есть, ни пить, но всё ещё находилась дома. Только на 6 сутки пенсионерка обратилась к врачам по месту жительства, откуда и была экстренно доставлена в областной центр.

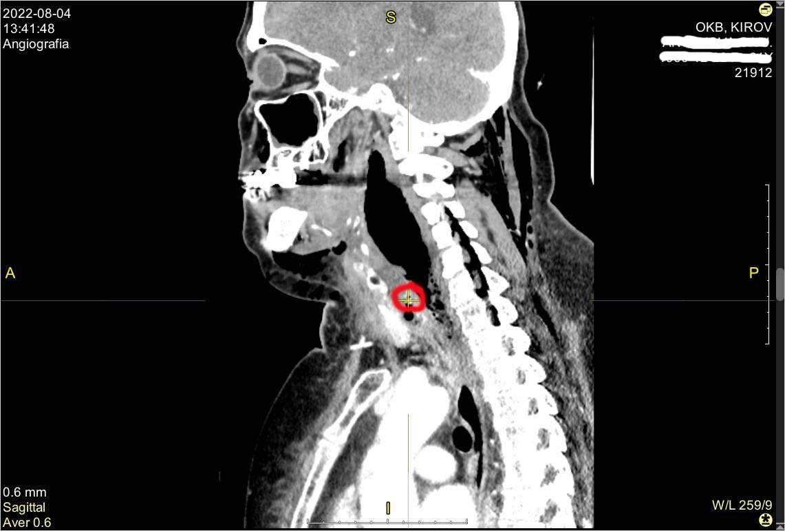
В областную больницу пациентка поступила в тяжёлом состоянии, вызванным сильнейшим обезвоживанием и интоксикацией. В результате компьютерной томографии специалистами было обнаружено инородное тело шейного отдела пищевода (рыбная кость) и флегмона шеи верхнего средостения. Ввиду того, что женщина поздно обратилась к врачам, гнойное воспаление тканей опустилось вниз, в полость между лёгким и сердцем, развилось чрезвычайно опасное для жизни инфекционное воспаление клетчатки средостения, причиной которого стала перфорация пищевода.

Владимир Михеев, заведующий оториноларингологическим отделением Кировской областной клинической больницы
Владимир Михеев, заведующий оториноларингологическим отделением Кировской областной клинической больницы

Как рассказал заведующий оториноларингологическим отделением КОКБ Владимир Михеев, пациентка была незамедлительно прооперирована. Выполнено широкое вскрытие флегмоны, аэрация и санирование раны, а также трахеостомия.

– Это операция по формированию временного отверстия в трахее, в случае если происходит закупорка верхних дыхательных путей инородным телом. Две недели пациентка находилась в реанимации, получала питание через зонд. В течение этого периода потребовалась ещё одна операция по удалению гнойных затёков области плеча и шеи, – сообщил Владимир Михеев.

После перевода из реанимации в оториноларингологическое отделение пациентка по-прежнему не могла принимать пищу через рот. Специалисты выполнили операцию по наложению гастростомы – искусственного отверстия, которое соединяет переднюю брюшную стенку и желудок и необходимо для питания пациентки.

– Всего женщина провела в областной больнице около месяца и была выписана в ЦРБ по месту жительства на долечивание. Отмечу, что, несмотря на возраст и тяжесть исходного состояния, пациентка уверенно идёт на поправку. Наши коллеги сообщили, что рана пищевода закрылась, в ближайшее время трахеостому можно будет убрать. Женщине предстоит ещё ряд операций, но главное, что её жизнь уже вне опасности, – подчеркнул заведующий отделением.

Как отметил главный врач КОКБ Вадим Ральников, сохранить жизнь и здоровье пациентки позволили быстрая постановка диагноза, грамотно налаженное взаимодействие между структурными подразделениями клиники, высокая квалификация специалистов и наличие современного оборудования.

– Для наших специалистов важно сохранить качество жизни пациента. Коллектив больницы совместными усилиями делает все, чтобы вернуть человека к нормальной жизни. Это и есть самый главный результат нашего труда, – подчеркнул главный врач.

По словам первого заместителя председателя правительства Кировской области Дмитрия Курдюмова, командная работа врачей-специалистов неоднократно показывала свою эффективность в спасении жизни и здоровья жителей нашего региона. Все службы, начиная от скорой помощи до медицинской реабилитации, работают в тесном взаимодействии, что позволяет принимать решения в кратчайшие сроки и оказывать экстренную медицинскую помощь на качественно высоком уровне.