Добавить в корзинуПозвонить
Найти в Дзене
Life

Рак полости рта больше не редкость, и у него есть четыре главных признака

Число пациентов с диагнозом "рак полости рта" с каждым годом лишь увеличивается, поэтому главное — вовремя выявить опухоль. Flickr / Marco Verch Professional Photographer Заболеваемость раком полости рта в Великобритании удвоилась за последние десять лет. В прошлом году на учёт встало почти девять тысяч новых пациентов с такой опухолью. Больше трёх тысяч человек умерло — и это на 20% больше, чем за последние пять лет. Рак полости рта заметно снижает качество жизни: пациенту трудно говорить, есть и пить. Часто не в лучшую сторону меняется и внешность онкобольного. К счастью, серьёзных проблем можно избежать, если вовремя обратиться к врачу. Вот признаки заболевания на ранних стадиях, которые обычно появляются во рту: Исследования показывают, что в большинстве случаев опухоль возникает на языке, на втором месте — миндалины, пишет The Sun. Но лучше осмотреть и всё остальное: губы, дёсны, внутренние части щёк и нёбо. Специалисты советуют как можно чаще заглядывать к себе в рот. И если там

Число пациентов с диагнозом "рак полости рта" с каждым годом лишь увеличивается, поэтому главное — вовремя выявить опухоль.

Flickr / Marco Verch Professional Photographer

Заболеваемость раком полости рта в Великобритании удвоилась за последние десять лет. В прошлом году на учёт встало почти девять тысяч новых пациентов с такой опухолью. Больше трёх тысяч человек умерло — и это на 20% больше, чем за последние пять лет.

Рак полости рта заметно снижает качество жизни: пациенту трудно говорить, есть и пить. Часто не в лучшую сторону меняется и внешность онкобольного.

Клетки плоскоклеточного рака изо рта. Изображение © Flickr / Weining Zhong
Клетки плоскоклеточного рака изо рта. Изображение © Flickr / Weining Zhong

К счастью, серьёзных проблем можно избежать, если вовремя обратиться к врачу. Вот признаки заболевания на ранних стадиях, которые обычно появляются во рту:

  • язва, которая не заживает в течение трёх недель;
  • белые или красные пятна;
  • необычные шишки или припухлости;
  • хриплый голос.
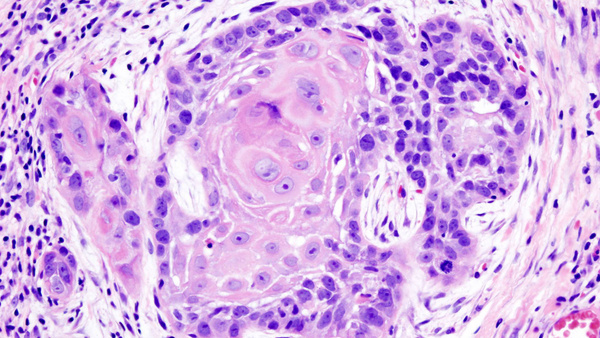
Раковые клетки в образце ткани из ротовой полости. Изображение © Wikimedia Commons / KGH
Раковые клетки в образце ткани из ротовой полости. Изображение © Wikimedia Commons / KGH

Исследования показывают, что в большинстве случаев опухоль возникает на языке, на втором месте — миндалины, пишет The Sun. Но лучше осмотреть и всё остальное: губы, дёсны, внутренние части щёк и нёбо.

Специалисты советуют как можно чаще заглядывать к себе в рот. И если там появилось что-то, чего раньше не было, — лучше сходить в больницу, чтобы развеять сомнения... или же подтвердить опасения.