Найти в Дзене
Эй, доктор!

УЗИ для чайников. Как быстро научиться смотреть ультразвуковое изображения.

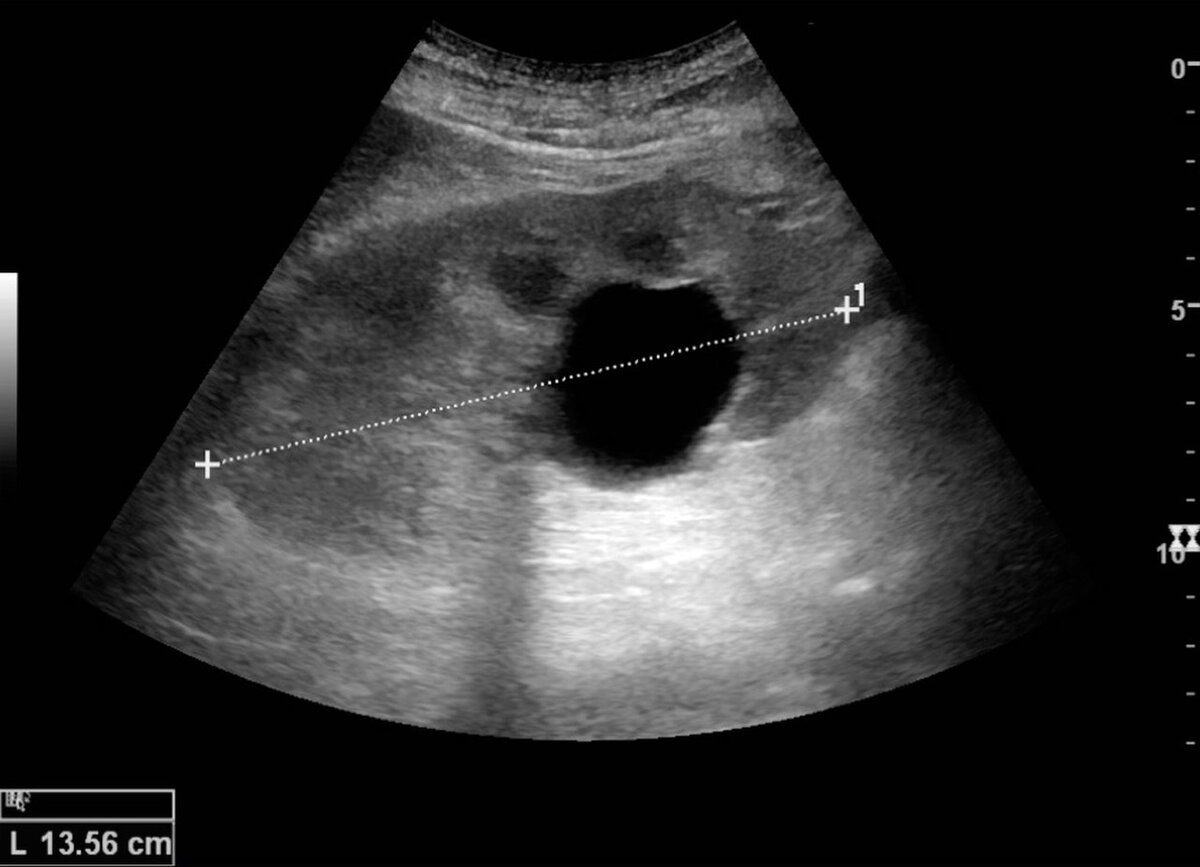
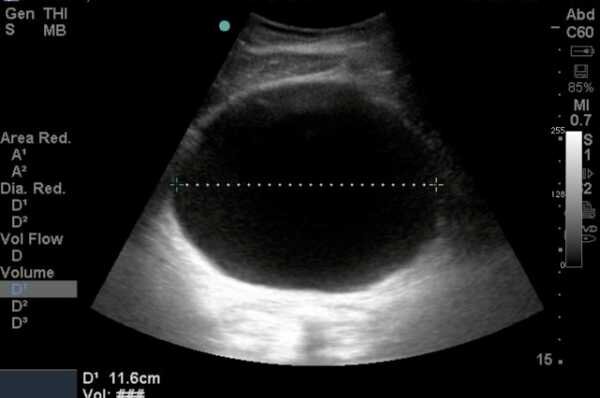
Наверняка у вас в жизни был момент, когда вы проходили ультразвуковое исследование и было интересно понять что там происходит на мониторе аппарата. Прочитав эту статью вы научитесь смотреть УЗ (ультразвуковое) изображение. Основные принципы визуализации ультразвукового изображения. Как вы заметили УЗ изображение состоит из темных и светлых участков. Светлые участки образуются вследствие того, что в них высокое отражение ультразвукового сигнала, темные же наоборот - больше поглощают сигнал. У каждой ткани в организме человека свой "уровень" поглощения и отражения сигнала, благодаря этому мы и можем различать их на снимках. Если кратко и примерно, то градация поглощения тканями УЗ волн такая: 1 Больше всех поглощают ультразвук ( самые черные на изображении) Это полости заполненные жидкостью ( сосуды, кисты, наполненный мочевой пузырь), они будут выглядеть на снимках как полностью или практически полностью черные структуры 2 Поглощают ультразвук "частично" ( темные или умеренно светлы

Наверняка у вас в жизни был момент, когда вы проходили ультразвуковое исследование и было интересно понять что там происходит на мониторе аппарата. Прочитав эту статью вы научитесь смотреть УЗ (ультразвуковое) изображение.

Основные принципы визуализации ультразвукового изображения.

Как вы заметили УЗ изображение состоит из темных и светлых участков. Светлые участки образуются вследствие того, что в них высокое отражение ультразвукового сигнала, темные же наоборот - больше поглощают сигнал. У каждой ткани в организме человека свой "уровень" поглощения и отражения сигнала, благодаря этому мы и можем различать их на снимках.

Если кратко и примерно, то градация поглощения тканями УЗ волн такая:

1 Больше всех поглощают ультразвук ( самые черные на изображении)

Это полости заполненные жидкостью ( сосуды, кисты, наполненный мочевой пузырь), они будут выглядеть на снимках как полностью или практически полностью черные структуры

2 Поглощают ультразвук "частично" ( темные или умеренно светлые участки на изображении)

Это чаще всего паренхиматозные ткани, то есть органы состоящие в основном из ткани без полостей ( различные органы также отличаются по поглощению ультразвука и, соответственно, имеют разную градацию серого цвета)

3 Меньше всех поглощает ультразвук (светлые или практически белые участки на изображении)

Это ткани нашего организма которые меньше всех поглощают, отражая практически весь направленный на них ультразвук. К такими тканям например относят кости ( они на УЗ снимках полностью белые), жировая ткань ( светлые участки).

Теперь вы больше знаете о УЗ изображениях, но это, конечно, не все. Если хотите больше знать об этом ставьте лайки и пишите комментарии. Всем спасибо за прочтение!