Здравствуйте, друзья! Сегодняшняя статья посвящена ортодонтическим минивинтам. Если быть точнее, то речь пойдет о механизме, позволяющему решить классическую проблему длительного отсутствия того или иного зуба – его смещение.
Крайне редко люди задумываются о восстановлении удаленного или выбитого зуба сразу после случившегося. Как правило, уходят долгие годы на то, чтобы собраться с духом и посетить стоматолога. Всё чаще поводом похода ко врачу является боль. Десятилетиями в головах формировалась мысль, что если не болит, то значит всё хорошо. К тому же большинство «докторов» поддерживают такую идею (особенно тогда, когда это касается, например, зубов мудрости).
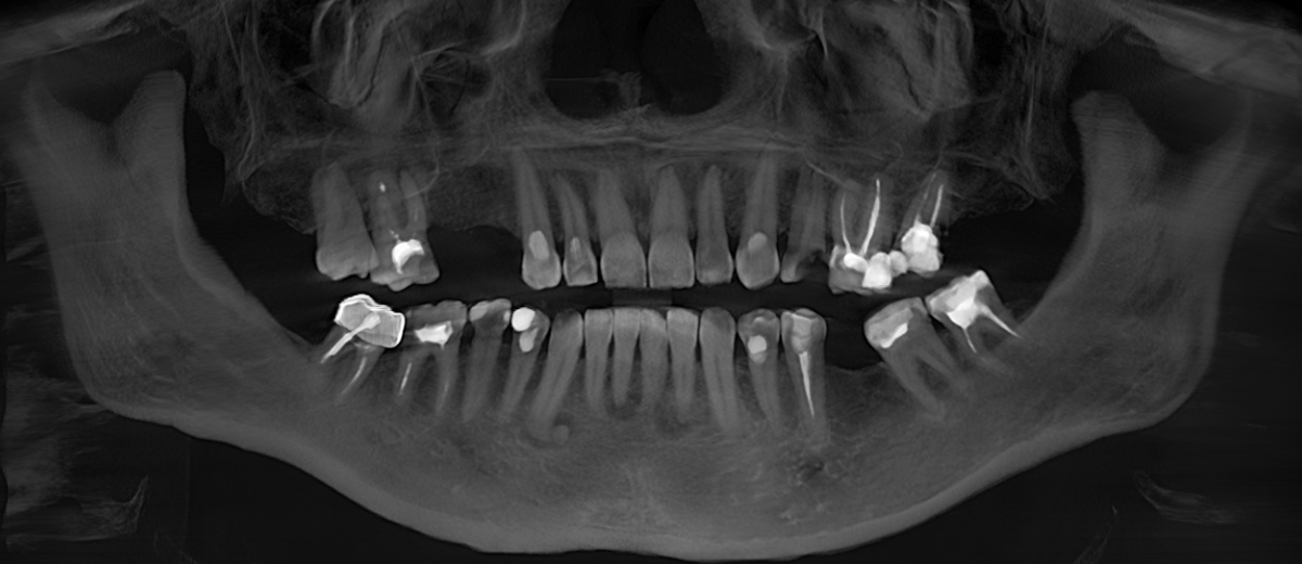
Ниже панорамный снимок, где хорошо видно, как из-за длительного (овер 10 лет) отсутствия 6-го зуба на нижней челюсти слева (на снимке справа) соседние зубы – седьмой и восьмой – наклонились в сторону отсутствующего.
Для того, чтобы протезирование этой области было успешным, необходимо выставить седьмой зуб в правильное положение.
Почему?
Имплантат в данной области должен располагаться примерно так:
В данном случае можно столкнуться с сложностями позиционирования имплантата, потому как наклон 7-го зуба препятствует правильному расположению сверла. Но это даже не самая большая проблема. Вся загвоздка в том, что в данном случае изготовить и установить коронку анатомический правильной формы будет невозможно. Ниже то, как (примерно) должен располагаться имплантат и коронка:
Прекрасно видно, что семерка мешает.
Но есть доктора, которым «буква Ю -...» плевать.
Хирург тупо смещает имплантат, а ортопед изготавливает вот такую ущербную коронку на основной жевательный зуб:
Чем плох такой вариант? Да тем, что между коронкой на имплантате и коронковой частью семерки образуется так называемый «черный треугольник»:
Там постоянно будут скапливаться остатки пищи и зубной налет. Это приведёт к воспалению и убыли костной ткани как в области установленного имплантата, так и седьмого зуба. Всё это закончится удалением имплантата и зуба. Следовательно, необходимо стремиться к чему-то такому:
(На верхней челюсти с этой же стороны были удалены четвертый, шестой и седьмой зубы. На их месте установлены имплантаты и проведен синус-лифтинг. Пятого зуба у пациентки не было.
Я опущу этот момент, потому как у меня есть отдельные статьи на тему установки имплантатов и синус-лифтинга)
Если посмотреть внимательно, то можно обратить внимание на то, что седьмой и восьмой зубы стоят в зубном ряду выше, чем с противоположной стороны:
Именно это и привело к тому, что верхние жевательные зубы окончательно разрушились.
Конечно, эта линия очень условна. Я лишь хотел, чтобы эта проблема явно бросилась в глаза.
(Верхние и нижние зубы контактируют не по прямой линии, а по «кривой» – Кривой Шпее):
Так как же сделать так, чтобы зуб встал в правильную позицию?
Для этого чаще всего используются ортодонтические минивинты. Для начала необходимо удалить зуб мудрости, потому как он будет только мешать (про зубы мудрости у меня есть целый ряд статей). Далее установить минивинт:
Вот эта белая палка справа – это и есть винт. Специфика этих винтов в том, что они не срастаются с костной тканью, а тупо вкручиваются в кость и держатся за счёт своей резьбы. Это позволяет без проблем и анестезии (!) выкрутить этот винт после окончания передвижения зуба.
Так вот: ортодонт дал тягу к винту при помощи специальных резинок. Далее пациентке необходимо будет посещать ортодонта 1-2 раза в месяц для замены тяг. Обычно такое передвижение занимает в среднем три месяца.
Вжух, три месяца прошло. Была проведена компьютерная томография для планирования имплантации. В связи с длительным отсутствием зуба костная ткань начинает постепенно убывать, что приводит к необходимости в костной пластике.
Оранжевым цветом отмечено необходимое положение имплантата.
Красным пунктиром отмечена фактическая ширина костной ткани в этой области, голубым – то, как должно быть.
Пациентке была проведена костная пластика – пересадка костного блока (как это делается, читай тут) и установка имплантата (а об этом тут):
Этот снимок был сделан после операции. Если приглядеться, то можно увидеть область, откуда был взят костный блок, и его очертания в месте его фиксации винтиками:
Так как зуб встал на своё место, резиновые тяги были заменены на металлические лигатуры для того, чтобы просто зафиксировать положение зуба. Это вот те белые полоски, тянущиеся от зуба к винту.
После операции необходимо подождать 4 месяца перед установкой формирователя десны.
(На данном снимке виден зазор между формирователем и имплантатом. Как раз поэтому полезно делать контрольные снимки. Формирователь я дотянул)
Зуб и имплантат на своих местах. Теперь никаких проблем с изготовлением коронки не будет:
Вот результат после установки временной коронки и удаления минивинта:
Временные коронки делаются из фрезерованной пластмассы, поэтому не рентгеноконтрастны, хотя, если посмотреть внимательно, то можно увидеть неявные очертания коронок.
Пы.сы.
Бонусом еще небольшой клинический случай, как можно передвигать зубы на свое место:
Был установлен имплантат, и параллельно начато лечение у ортодонта. Как мы видим, нижний правый седьмой зуб наклонен, а верхний правый шестой несколько выдвинулся в сторону отсутствующего шестого на нижней челюсти.
Обратите внимание: необязательно устанавливать полноценную брекет-систему для того, чтобы устранить эту проблему. Достаточно приклеить 3 брекета на 4-й, 5-й и 7-ой зубы. Затем при помощи специальной пружины толкать проблемный зуб на свое место. На верхней челюсти ситуация несколько иная. Для устранения проблемы устанавливаются два ортодонтических винта: один со стороны щеки, а второй со стороны неба. К зубам клеятся две кнопки, и дается тяга.
И под другим углом:
На сегодня всё!
Надеюсь, все было понятно и вам понравилось!
С уважением, Андрей Дашков.
Про имплантацию зубов:
- Расщепление в стоматологии: как это делается?
- Пересадка костного блока в стоматологии: как это делается?
- Имплантация при полном отсутствии зубов, как следствие несвоевременного обращения к стоматологу
- Одномоментная имплантация и немедленная нагрузка
Про зубы мудрости и их удаление:
- Онемение после удаления зуба мудрости
- Последствия несвоевременного удаления зубов мудрости. Часть II
- Удаление зубов мудрости. Как это делается?
Про профессиональную гигиену полости рта:
- Удаление зуба: как это делается?
- Сверхкомплектные зубы
- Удаление кисты малой слюнной железы. Как это делается?
- Удаление зуба, «недорого»... последствия
- Рекомендации после приёма хирурга-стоматолога
- Голая правда (статья о формировании стоимости лечения в стоматологической клинике)
Моя статья на Хабре - https://habr.com/ru/post/600103/
На Пикабу - https://pikabu.ru/story/distalizatsiya_zubov_8758228
