Добавить в корзинуПозвонить
Найти в Дзене
MEDSERVICE COMPANY

Сравнение эффективности раннего протезирования с опорой на имплантаты с поверхностью прошедшей пескоструйную обработку

И травление кислотой (поверхность SA), и поверхностью SA, модифицированной буферным агентом рН (поверхность S01): 4-месячные результаты многоцентрового рандомизированного контролируемого исследования по принципу разделенного рта. Лукаш Задрозный (Łukasz Zadrozny), Эрта Джанари (Erta Xhanari), Мирча Георгита (Mircea Gheorgita), Андре де Вааль (Andre de Waal), Николас Видмер (Nicolas Widmer), Леонардо Муцци (Leonardo Muzzi), Элица Деливерска (Elitsa Deliverska), Фулвио Гатти (Fulvio Gatti), Марта Чайковска (Marta Czajkowska), Якопо Бути (Jacopo Buti), Адела Алуши (Adela Alushi), Марко Талларико (Marco Tallarico) Цель Целью настоящего исследования является сравнение коэффициента стабильности (ISQ), а также показателей выживаемости и успешности имплантатов с двумя типами поверхности: поверхностью, прошедшей пескоструйную обработку и травление кислотой (SA, контрольная группа), и поверхностью SA, модифицированной буферным агентом рН (S0I, тестовая группа), при проведении раннего протезирова
Оглавление

И травление кислотой (поверхность SA), и поверхностью SA, модифицированной буферным агентом рН (поверхность S01): 4-месячные результаты многоцентрового рандомизированного контролируемого исследования по принципу разделенного рта.

Лукаш Задрозный (Łukasz Zadrozny), Эрта Джанари (Erta Xhanari), Мирча Георгита (Mircea Gheorgita), Андре де Вааль (Andre de Waal), Николас Видмер (Nicolas Widmer), Леонардо Муцци (Leonardo Muzzi), Элица Деливерска (Elitsa Deliverska), Фулвио Гатти (Fulvio Gatti), Марта Чайковска (Marta Czajkowska), Якопо Бути (Jacopo Buti), Адела Алуши (Adela Alushi), Марко Талларико (Marco Tallarico)

Цель

Целью настоящего исследования является сравнение коэффициента стабильности (ISQ), а также показателей выживаемости и успешности имплантатов с двумя типами поверхности: поверхностью, прошедшей пескоструйную обработку и травление кислотой (SA, контрольная группа), и поверхностью SA, модифицированной буферным агентом рН (S0I, тестовая группа), при проведении раннего протезирования для устранения одиночных дефектов зубного ряда.

Материалы и методы

Настоящее многоцентровое рандомизированное контролируемое исследование по принципу разделенного рта было направлено на оценку выживаемости имплантатов и протезов, вероятности осложнений и коэффициента стабильности имплантатов (ISQ) у пациентов с частичной адентией, нуждающихся в установке не менее двух одиночных коронок с опорой на имплантаты. Каждому пациенту установили по одному имплантату каждого типа по одноэтапному протоколу. ISQ каждого имплантата измеряли непосредственно после установки имплантатов, еженедельно на протяжении 8 недель, а затем - в день фиксации окончательных реставраций (через 12 недель после имплантации).

Результаты

В исследование включили в общей сложности 62 пациента из 9 клинических центров. Один пациент выбыл из исследования через 8 недель наблюдения. В течение 12 недель после операции были утрачены два имплантата с поверхностью SA, однако разница между группами не была статистически значимой (р = 0,5). Ни один протез не был утрачен в течение 4 месяцев с момента фиксации. Было зарегистрировано пять осложнений: три в группе SA и два в группе S01. Разница между группами не была статистически значимой (ОШ = 0,66, 95% ДИ: 0,11- 4,07; р = 0,650).

Выявили выраженное снижение стабильности двух имплантатов из группы S0I и двух имплантатов из группы SA без их прокручивания через 3-4 недели после установки. Имплантаты перекрывали мягкими тканями: через 12 недель они успешно остеоинтегрировались. В еще одном случае выявили ослабление ортопедического винта в области имплантата SA: винт затянули повторно. Исходные средние значения ISQ составляли 76,57 ± 7,54 (95% ДИ: 74,69-78,44) в группе SA и 75,92 ± 7,69 (95% ДИ: 73,89-77,73) в группе S0I. Средние значения ISQ через 12 недель возросли до 79,17 ± 7,83 (95% ДИ: 77,03-81,29) и 78,82 ± 8,80 (95% ДИ: 76,42-81,21) в группах SA и S0I соответственно. При использовании модели со смешанными эффектами обнаружили статистически значимую разницу между группами с течением времени; при этом зарегистрированные значения ISQ были несколько ниже в группе S0I (-0,65; 95% ДИ -1,14- -0,15). В ходе исследования также анализировали различия между клиническими центрами (р <0,001).

Выводы

С учетом ограничений настоящего исследования полученные данные позволяют сделать вывод о том, что оба типа имплантатов можно успешно нагружать по раннему протоколу.

Введение

Протезирование с опорой на дентальные имплантаты является эффективным методом стоматологической реабилитации. Долговечность и стабильность имплантатов подтверждаются результатами целого ряда недавних исследований.1-4 Было предпринято несколько попыток сделать протезирование с опорой на имплантаты более приемлемым и доступным методом лечения для пациентов. Одной из ключевых тем исследований в дентальной имплантологии стало сокращение периода заживления. Были разработаны различные хирургические методики для проведения немедленной эстетической и функциональной реабилитации.4-6 По данным Кокрановских систематических обзоров, между протоколами протезирования отсутствует клинически значимая разница с точки зрения неудачных исходов имплантации и протезирования,6 однако немедленная имплантация характеризуется более высоким риском утраты имплантата по сравнению с традиционным протоколом.6-10 За несколько десятилетий было испробовано несколько вариантов макро- и микродизайна имплантатов с целью увеличения контакта имплантата с костью и ускорения его остеоинтеграции. В последние годы наиболее бурно развиваются методы модифицирования имплантата, направленные на изменение шероховатости его поверхности с целью создания благоприятных условий для остеоинтеграции. Методы обработки поверхности можно разделить на три категории: физические, химические или сочетанные. Наиболее распространенным физическим методом является грубозернистая пескоструйная обработка .11 К химическим методам относят травление кислотой, нанесение на поверхность резорбируемого нано слоя гидроксиапатита12 или буферного агента рН. Сочетание физических и химических методов (пескоструйной обработки оксидом алюминия и травления кислотой) позволяют получить одну из наиболее тщательно документированных поверхностей имплантатов в стоматологии, эффективность которой подтверждается результатами длительных исследований. В то же время данные Кокрановского обзора свидетельствуют об отсутствии существенных клинических различий между разными типами имплантатов. Tallarico и соавт. обнаружили менее выраженное снижение коэффициента стабильности имплантата (ISQ) во время ремоделирования кости при использовании имплантатов с поверхностью, прошедшей пескоструйную обработку и травление кислотой, с нанопокрытием на основе биоадсорбируемого гидроксиапатита, по сравнению с имплантатами, прошедшими только пескоструйную обработку и травление кислотой.

Недавно компания Osstem (Osstem Implant, Osstem Global, Сеул, Южная Корея) представила новую поверхность, модифицированную буферным агентом pН, для более быстрой остеоинтеграции имплантата. Несмотря на многообещающие результаты доклинических исследований и положительные предварительные результаты, полученные в одном независимом рандомизированном контролируемом исследовании (РКИ),17 систематический обзор не выявил существенной разницы между поверхностью, прошедшей пескоструйную обработку и травление кислотой, и поверхностью, покрытой буферным агентом рН.

Целью настоящего многоцентрового рандомизированного контролируемого исследования по принципу разделенного рта является сравнения выживаемости, успеха и коэффициента стабильности имплантатов TSIII (Osstem Implant) с поверхностью SA (пескоструйная обработка и травление кислотой) и SOI (поверхность SA, модифицированная буферным агентом pН) при использовании протокола раннего протезирования для устранения одиночных дефектов зубного ряда. Имплантаты с поверхностью SOI и SA имели одинаковый дизайн и размеры. Поверхность SOI является гидрофильной, а поверхность SA - гидрофобной (рис. 1). За нулевую гипотезу принимали отсутствие разницы между группами. Для повышения качества представления результатов рандомизированного контролируемого исследования использовали единые стандарты CONSORT (Consolidated Standards Of Reporting Trials - Единые стандарты представления результатов испытаний).

Выводы

Настоящее рандомизированное контролируемое исследование проводили по принципу разделенного рта на базе 10 частных и государственных клинических центров в Европе и ЮАР с сентября 2019 г. по июнь 2021 г. Результаты оценивали с помощью слепого метода за исключения осложнений и неудачных исходов - о них сообщали лечащие стоматологи. Исследование соответствовало принципам Хельсинской декларации о проведении биомедицинских исследований с участием человека в редакции 2018 г. и было зарегистрировано в государственном реестре клинических исследований (clinicaltrial.gov) под номером NCT04073654. Протокол исследования был одобрен комитетом по этике координирующего центра в Албании (1/2018). Все пациенты были проинформированы об особенностях лечения и подписали информированное согласие.

Рис. 1. Имплантаты с поверхностью SA (слева) и SOI (справа). Поверхность SOI является гидрофильной (более темная),а поверхность SA - гидрофобной
Рис. 1. Имплантаты с поверхностью SA (слева) и SOI (справа). Поверхность SOI является гидрофильной (более темная),а поверхность SA - гидрофобной

Критерии включения/исключения из исследования

В исследование включали пациентов старше 18 лет, страдающих частичной адентией и нуждающихся в изготовлении не менее двух одиночных коронок с опорой на имплантаты. Перед включением в исследование пациенты должны были подписать информированное согласие. Локализация участка адентии, курение и класс кости в участке адентии не являлись критерием включения или исключения из исследования. Объем кости в участке адентии должен был быть достаточным для установки имплантатов длиной не менее 8,5 мм и диаметром не менее 3,5 мм с усилием не менее 3О Нсм. С момента удаления зубов или костной пластики должно было пройти не менее 4 месяцев. Курящих пациентов распределяли на две группы: умеренные курильщики (до 1О сигарет в день) и заядлые курильщики (более 1О сигарет в день) по результатам опроса.

• Использовали следующие критерии исключения из исследования:

- Общие противопоказания к установке дентальных имплантатов;

- Ширина зоны кератинизированной десны менее 4 мм в области имплантации;

- Иммуносупрессия или ослабленная иммунная система;

- Лучевая терапия опухолей в области головы и шеи в течение 5 лет до имплантации;

- Декомпенсированный сахарный диабет;

- Беременность или грудное вскармливание;

- Невылеченный гингивит или пародонтит;

- Неудовлетворительный уровень самостоятельный гигиены полости рта/неготовность пациента соблюдать рекомендации стоматолога (общий индекс кровоточивости и общий индекс микробного налета более 25 %);

- Злоупотребление алкоголем или наркотиками;

- Психические расстройства и нереалистичные ожидания от лечения;

- Острая инфекция и гноетечение в области планируемой имплантации;

- Необходимость проведения пластики кости или мягких тканей одновременно с имплантацией;

- Немедленная имплантация (имплантаты устанавливали не ранее чем через 4 месяца после удаления зубов);

- Внутривенный прием бисфосфонатов в анамнезе;

- Пациент направлен в клинику только по поводу установки имплантатов, что исключает наблюдение за пациентом;

- Участие в других исследованиях, при условии, что они не позволяют строго придерживаться протокола настоящего исследования.

Для оценки доступного объема кости в области планируемой имплантации всем потенциальным участникам исследования выполнили прицельные снимки и/или направили их на конусно-лучевую компьютерную томографию. Пациентов с достаточным объемом кости для установки двух имплантатов и последующего изготовления одиночных коронок допустили до участия в исследовании. Пациентов информировали о клинических этапах лечения, потенциальных рисках и осложнениях, а также графике контрольных осмотров. Перед включением в исследование пациенты должны были подписать информированное согласие. Если у пациента было более двух участков адентии, подходящих для имплантации, стоматолог мог выбрать два из них с наиболее схожими характеристиками во время скринингового визита. Желательно, чтобы участки адентии не находились в области соседних зубов. Выбранные участки обозначали номерами 1 (наименьший, согласно нотации Международной федерации стоматологов FDI ) и 2 (наибольший).

• Хирургический и ортопедический этапы

Примерно за 10 дней до хирургического вмешательства всем пациентам проводили профессиональную гигиену. За 1 час до операции пациентам назначали антибиотики (2 г амоксициллина или 600 мг клиндамицина в случае аллергии на пенициллин). Пациенты полоскали рот 0,2% раствором хлоргексидина в течение 1 минуты перед любыми хирургическими манипуляциями. Операцию проводили в условиях местной анестезии раствором артикаина с 1:100000 эпинефрина. В зависимости от анатомии участка адентии и предпочтений стоматолога имплантаты устанавливали с формированием небольшого лоскута (без вертикальных послабляющих разрезов) или без его отслаивания (у каждого пациента использовали один и тот же хирургический протокол в области обоих участков аднетии). Ложе для нескольких имплантатов препарировали одновременно коническими сверлами (800-1200 об/мин) с обильным водяным охлаждением в соответствии с рекомендованным производителем протоколом (хирургический набор 122 Taper Kit, Osstem Implant) и плотностью костной ткани.

Плотность костной ткани оценивали во время формирования остеотомических отверстий и классифицировали как «твердую», «нормальную» или «мягкую». Длину имплантата выбирали в соответствии с требованиями клинической ситуации и предпочтениями стоматолога. По возможности, каждому пациенту старались устанавливать два имплантата с одинаковым диаметром и длиной. Конические имплантаты TSIII с поверхностью SA, прошедшей пескоструйную обработку и травление кислотой (группа SA), и поверхностью SA, модифицированной буферным агентом pH (группа SOI), устанавливали по одноэтапному протоколу на одном уровне с краем кости или слегка субкрестально с усилием не менее 30 Н см. Если торк при установке имплантата была ниже 30 Н см, повторное измерение ISQ не проводили: на имплантате фиксировали одиночную коронку через 4 месяца заживления.

Последовательность этапов лечения приводится на рис. 2a-2h. Коэффициент стабильности имплантатов (ISQ) измеряли с помощью частотно-резонансного анализа, используя штифт multipeg (Hiossen; Энглвуд Клиффс, США) и аппарат IS3 Monitor (Hiossen). Формирователи десны на имплантатах фиксировали ручной отверткой. Края раны ушивали швами. В послеоперационном периоде пациентам назначали антибиотики (1 г амоксициллина или 600 мг клиндамицина в случае аллергии на пенициллин) дважды в день в течение 5 дней и 600 мг ибупрофена при необходимости. Повторные измерения ISQ выполняли каждую неделю в течение 8 недель после имплантации, а затем - через 12 недель, как и в ранее опубликованном исследовании. Для оценки ISQ удаляли формирователи десны и поочередно фиксировали штифты multipeg в каждом имплантате. ISQ измеряли дважды: вестибулярно-орально и мезиально-дистально. После чистки и дезинфекции в 0,2% растворе хлоргексидина и ультразвуковой ванночке формирователи десны повторно фиксировали на имплантатах с помощью ручной отвертки. Оттиски для изготовления окончательных реставраций получали через 8 недель после имплантации.

Окончательные одиночные коронки фиксировали через 12 недель после установки имплантатов. Стоматологи самостоятельно выбирали материал реставрации: металлокерамическая и цельнокерамическая коронка и тип фиксации: цементная или винтовая. Согласно протоколу исследования, коронки должны были быть изготовлены из одинакового материала и иметь один и тот же тип фиксации в области обоих имплантатов, установленных каждому пациенту. Окончательные коронки/абатменты фиксировали дважды с усилием 20 или 30 Нсм (в соответствии с инструкцией производителя и ортопедической платформой имплантата) с интервалом 10 минут.

Проверяли окклюзию, после чего при необходимости проводили инструктаж по гигиене полости рта. Прицельные рентгенограммы и внутриротовые снимки делали непосредственно после имплантации и фиксации окончательных реставраций. Оценивали следующие параметры: неудачные исходы имплантации и протезирования, а также наличие осложнений в течение периода наблюдения.

- Использовали следующие критерии неудачи имплантологического лечения: прокручивание имплантата при фиксации/удалении абатмента, перелом имплантата, инфекция или любые механические осложнения, требующие удаления имплантата или не позволяющие зафиксировать на имплантате протез.

- Протез считали несостоятельным, если требовалась его замена.

- Регистрировали любые биологические (боль, отек, гноетечение и т.д.) и/или механические осложнения (ослабление винта, скол керамической облицовки и т.д.).

В ходе исследования также оценивали коэффициент стабильности имплантата (ISQ) с помощью частотно-резонансного анализа, при этом эксперты, проводившие измерения, не знали к какой группе относится каждый имплантат. ISQ (в баллах от 1 до 100) измеряли вестибулярно-орально и мезиально-дистально; полученные значения усредняли. Значение ISQ измеряли в день имплантации, еженедельно в течение 8 недель после имплантации, а затем - в день фиксации окончательных реставраций через 12 недель.

В ходе контрольного осмотра через 1 год после лечения оценивали следующие параметры: высоту краевой кости (ВКК), глубину зондирования (ГЗ), кровоточивость при зондировании (КЗ), индекс микробного налета (ИМН) и количество баллов по шкале розовой эстетики. В каждом центре за сбор данных отвечал один эксперт. ВКК и количество баллов по шкале розовой эстетики оценивал один эксперт. Во время сбора и интерпретации данных использовали метод ослепления.

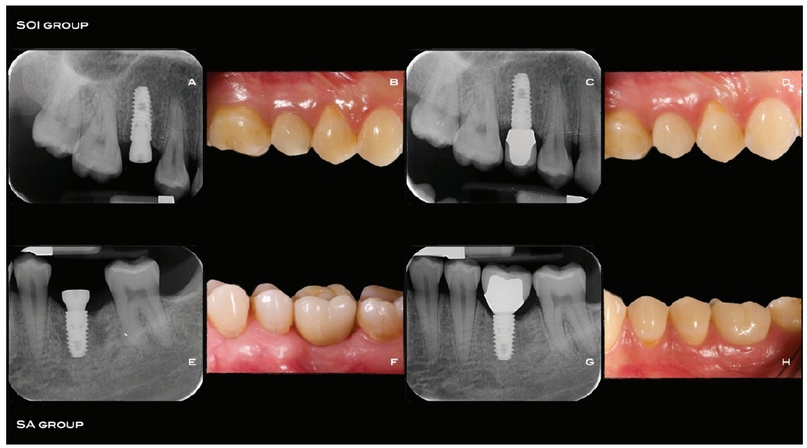
Рис. 2a-2h. a-d: последовательность этапов лечения в группе S01: установка имплантата (а), фиксация протеза через12 недель после имплантации (Ь), прицельная рентгенограмма после фиксации протеза (с), клинический снимок через 4 месяца (d). E-h: последовательность этапов лечения в группе SA: установка имплантата (е), фиксация протеза через 12 недель после имплантации (f), прицельная рентгенограмма после фиксации протеза (g), клинический снимок через4 месяца (h)
Рис. 2a-2h. a-d: последовательность этапов лечения в группе S01: установка имплантата (а), фиксация протеза через12 недель после имплантации (Ь), прицельная рентгенограмма после фиксации протеза (с), клинический снимок через 4 месяца (d). E-h: последовательность этапов лечения в группе SA: установка имплантата (е), фиксация протеза через 12 недель после имплантации (f), прицельная рентгенограмма после фиксации протеза (g), клинический снимок через4 месяца (h)

•Анализ данных

При размере эффекта d = 0,6383489, шансе ошибки второго рода равном 0,05 и мощности (1-ß = 0,95) достаточный размером выборки считали 65 имплантатов в каждой группе в 10 клинических центрах. Размер эффекта определяли на основании результатов ранее проведенного аналогичного исследования, согласно которым ISQ составлял 71,2 ± 4,07 и 74 ± 4,68 для имплантатов со стандартной и модифицированной поверхностью соответственно.17 Поскольку исследование проводили по принципу разделенного рта, каждому пациенту устанавливались как тестовые (S0I), так и контрольные (SA) имплантаты. Чтобы избежать недостаточной силы результатов (< 95%) в связи с выбыванием участников из исследования, в исследование дополнительно включили 35 пациентов, чтобы общий запланированный размер выборки составил 100 пациентов (200 имплантатов). Таким образом, в каждом центр планировали установить по 10 тестовых (S0I) и контрольных имплантатов (SA)10 пациентам.

Для проведения рандомизации заранее создали 10 списков из произвольной последовательности чисел с помощью компьютерной программы. Доступ к кодам рандомизации, хранившимся на защищенном паролем компьютере, имел только одни независимый консультант, которые не принимал участия в проведении исследования. Коды рандомизации вкладывали в пронумерованные идентичные непрозрачные конверты и запечатывали. Конверты вскрывали после создания остеотомических отверстий для двух имплантатов. Анализ данных проводили по заранее подготовленному плану двое экспертов (МС и JB). Эксперты не знали о результатах рандомизации. Данные пациентов заносили в таблицу Excel (Мicrosoft; Редмонд, США). Регистрировали неудачные исходы имплантации и протезирования, а также осложнения (дихотомические исходы). Значения ISQ (непрерывные исходы) анализировали во всех временных точках (0, 1, 2, 3, 4, 5, 6, 7, 8 и 12 недель). Для оценки неудачных исходов имплантации использовали критерий Мак-Немара. Использовали модель со смешанными эффектами для анализа непрерывной зависимой переменной (ISQ) и обобщенные смешанные модели для дихотомических зависимых переменных (осложнения); при этом пациентов относили к случайным эффектам, а время и группу - к фиксированным эффектам. Для оценки различий между центрами рассчитали отдельную модель со смешанными эффектами, в рамках которой пациентов считали случайными эффектами, а время и центр - фиксированными эффектами. Провели ретроспективный анализ и построили графики эффектов. Для проведения статистического анализа использовали программное обеспечение Jamovi 1.8.0.0 (Jamovi Project, Сидней, Австралия). Данные представлены в виде среднего значения ± стандартного отклонения с 95% доверительным интервалом (ДИ). Статически значимым считали значение р < 0,05.

Результаты

Исследование планировали провести на базе 1О клинических центров, в каждом из которых 1О пациентам должны были установить в общей сложности 2О имплантатов. Однако в одном центре не удалось включить в исследование ни одного пациента. Остальные 9 клинических центров были расположены в Италии (MТ, FG, LM), Албании (ЕХ), Болгарии (ОЕ), Румынии (MG), Швейцарии (NW), Южной Африке (AdW) и Польше (LZ). Потенциальных участников оценивали на предмет соответствия критериям включения в исследование. В результаты только в двух центрах (MТ и ЕХ) удалось включить в исследование 1О участников. Число участников, отобранных другими центрами, составляло: 9 пациентов (MG), 8 пациентов (NW и AdW), 6 пациентов (LM и LZ), 3 пациента (ОЕ) и 2 пациента (FG). Предварительно отобрали 91 пациента, однако в исследование последовательно включили только 62 из них (23 мужчины и 39 женщин). 29 пациентов не были допущены к участию в исследовании из-за частых визитов в клинику (18 пациентов) и необходимости в проведении направленной костной регенерации (11 пациентов). Один пациент выбыл из исследования на восьмой неделе в связи с утратой имплантата.

Пациенту провели повторную имплантацию, однако он отказался принимать дальнейшее участие в исследовании. В 6 центрах в 22 случаях отклонились от изначального протокола исследования (см. табл. 1). Средний возраст пациентов составлял 52,1±14,3 года, из них 66,1% не курили, 27,4% выкуривали до 1О сигарет в день, а 6,5% - более 1О сигарет в день. Пациентам было установлено в общей сложности 124 имплантата, по 62 имплантата с поверхностью SA и S01. Распределение типоразмеров имплантатов по группам представлено на рис.3. Во всех центрах у каждого пациента в области имплантатов SA и S01 использовали реставрации одного типа за исключением одного пациента (пациенту 2 в центре 3 установили одну коронку с винтовой фиксацией и одну коронку с цементной фиксацией). В обеих группах реставрации были изготовлены из одного материалы. В группах SA и S01 использовали преимущественно реставрации с винтовой фиксацией (69,4% и 68,1%, соответственно), а 56,5% коронок в обеих группах были цельнокерамическими

Таблица 1. Отклонения от оригинального протокола исследования

-3
Рис. 3. Распределение типоразмеров имплантатов по группам
Рис. 3. Распределение типоразмеров имплантатов по группам

В течение периода наблюдения в группе S01 не был утрачен ни один имплантат. В группе SA было утрачено 2 имплантата между 3-й и 4-й неделями после установки (имплантаты были подвижны, жалобы на боль отсутствовали). Имплантаты удалили, после чего сразу же провели повторную имплантацию. Пациента из центра 7 регулярно приглашали на контрольные осмотры для наблюдения за имплантатом S01. Пациент из центра 10 выбыл из исследования через 8 недель после имплантации. Разница в выживаемости имплантатов между группами не была статистически значимой (р = 0,5). Ни один протез не был утрачен в течение 12-недельного периода наблюдения. В ходе исследования было зарегистрировано пять осложнений: три в группе SA и два в группе S01. В центрах 1, 7 и 8 в общей сложности четыре имплантата (по 2 имплантата из каждой группы) характеризовались незначительной горизонтальной подвижностью без прокручивания. Подвижные имплантаты перекрывали мягкими тканями. Через 12 недель все имплантаты успешно остеоинтегрировались, и на них зафиксировали реставрации в соответствии с протоколом исследования. Через 8 недель после протезирования выявили ослабление ортопедического винта в группе SA (центр 3). Статистический анализ с применением модели со смешанными эффектами свидетельствует об отсутствии статистически значимой разницы между группами в количестве осложнений: ОШ = 0,66, 95% ДИ: 0,11-4,07; р = 0,65.

Результаты измерений 1SQ представлены в табл. 2. Исходные средние значения 1SQ составляли 76,57 ± 7,54 (95% ДИ: 74,69-78,44) в группе SA и 75,92 ± 7,69 (95% ДИ: 73,89-77,73) в группе S01. Средние значения 1SQ через 12 недель возросли до 79,17 ± 7,83 (95% ДИ: 77,03-81,29) и 78,82 ± 8,80 (95% ДИ: 76,42-81,21) в группах SA и S01 соответственно. Модель со смешанными эффектами выявила статистически значимую разницу между группами с течением времени; при этом зарегистрированные значения 1SQ были несколько ниже в группе S01 (-0,65; 95% ДИ от -1,14 до -0,15; см. табл. 3). В ходе исследования также анализировали различия между клиническими центрами (р <0,001). График эффектов с течением времени представлен на рис. 4.

Таблица 2. Изменение ISQ с течением времени

-5

Результаты анализа с применением модели со смешанными эффектами для выявления разницы между клиническими центрами приводятся в табл. 4. Так, в центре 4 значения ISQ были значительно ниже (р <0,001) по сравнению с другими центрами. Все различия, выявленные в ходе попарного ретроспективного анализа, представлены в табл. 5. График эффектов с течением времени приводится на рис. 5.

Таблица 2. Разница в значении ISQ между группами с течением времени (оценка фиксированных эффектов)

-6
Рис. 5. График эффектов для значений ISQ с течением времени в разных центрах
Рис. 5. График эффектов для значений ISQ с течением времени в разных центрах

Обсуждение

Целью настоящего рандомизированного контролируемого исследования является получение предварительных данных о клинической эффективности и коэффициенте стабильности имплантатов TSIII с поверхностью SA, модифицированной буферным агентом рН (S0I), по сравнению с имплантатами с обычной поверхностью SA при устранении одиночных дефектов зубного ряда с помощью одиночных коронок. Исследование проводили по принципу разделенного рта. Полученные результаты свидетельствуют о наличии статистически значимой разницы в значении ISQ между группами, что позволило отвергнуть нулевую гипотезу. В то же время следует отметить, что разница между группами не превышала 0,65 и не была клинически значимой.

При попарном сравнении результатов (ISQ), полученных в разных центрах, в ряде случаев выявили статистически значимую разницу. Она может быть обусловлена различиями в числе пациентов, проходивших лечение в каждом центре, неодинаковой первичной стабильностью имплантатов и нюансами при выполнении хирургических манипуляций. Помимо типоразмера имплантатов и хирургического протокола (которые были одинаковыми во всех центрах) коэффициент стабильности имплантата зависит от ряда других факторов, включая качество и объем костной ткани. Это вызывает некоторые сомнения в клинической значимости ISQ для быстрой оценки стабильности имплантата.

В ходе периода наблюдения было утрачена только 2 имплантата. Оба имплантата относились к группе SA и были утрачены через 3-4 недели после установки. Все имплантаты в группе S0I успешно остеоинтегрировались. Разница между группами не была статистически значимой, что указывает на то, что оба типа имплантатов совместимы с протоколом раннего протезирования. В то же время через 3-4 недели после имплантации выявили подвижность еще 4 имплантатов (по 2 в каждой группе): их перекрыли мягкотканным лоскутом, после чего они успешно остеоинтегрировались. Двухэтапный протокол установки не является обязательным условием успешной остеоинтеграции,21 однако, по мнению авторов, следует избегать повторного отвинчивания формирователя десны на раннем этапе заживления. В данном случае повторная фиксация абатмента была обусловлена исключительно исследовательскими целями. Одним из основных ограничений данного исследования является небольшой размер выборки; запланированный размер выборки не был достигнут, поэтому мощность исследования может быть недостаточной для проверки гипотезы. Ряд измерений не был проведен из-за карантина в связи с пандемией C0VID-19. Следует отметить, что аналогичные измерения не были выполнены в обеих группах, поскольку исследование проводили по принципу разделенного рта. Другим ограничением настоящего исследования является короткий период наблюдения. Тем не менее, основной цель данной публикации было описание тенденции в изменении стабильности имплантатов обоих типов в течение периода остеоинтеграции.

В настоящее время свойства биоактивных поверхностей являются одной из популярных исследовательских тем в дентальной имплантологии, однако число клинических исследований ограничено - большая часть научной литературы представлена экспериментами на животных. Этические ограничения не позволяют проводить гистологический анализ в рамках клинических исследований, однако результаты исследований in-vitro и экспериментов на животных свидетельствуют о том, что модифицирование поверхности имплантата может ускорить остеоинтеграцию на раннем этапе заживления.22 Тем не менее, результаты настоящего предварительного исследования согласуются с выводами ранее опубликованного систематического обзора и рандомизированного контролируемого исследования, согласно которым между обычной и модифицированной поверхностями имплантатов отсутствует статистически значимая разница.

Целью модифицирования поверхности имплантата является стимулирование контактного остеогенеза в области имплантата для ускорения остеоинтеграции на раннем этапе заживления. В ходе настоящего исследования имплантаты устанавливали в зажившую кость: все имплантаты были по периметру окружены костной тканью и характеризовались высокой первичной стабильностью. Поскольку выполнение гистологического анализа не представляется возможным по этическим причинам, необходимы дальнейшие рандомизированные контролируемые исследования для оценки эффективности имплантатов с модифицированной поверхностью при наличии зазора между поверхностью имплантата и стенками ложа или низком качестве костной ткани.

Обсуждение

Несмотря на ограничения настоящего исследования, было установлено, что имплантаты с поверхностью, модифицированной буферным агентом рН (S01), позволяют проводить эффективное раннее протезирование при устранении одиночных дефектов зубного ряда. В то же время они не имеют существенных преимуществ перед имплантатами с обычной поверхностью, прошедшей пескоструйную обработку и травление кислотой (SA). Чтобы подтвердить или опровергнуть предварительные результаты необходимы дальнейшие исследования.

ИСТОЧНИК: https://medservice-shop.ru/

+7 (938) 868-94-39

krasnodar@tc-medservice.ru