Добавить в корзинуПозвонить
Найти в Дзене
Советы стоматолога

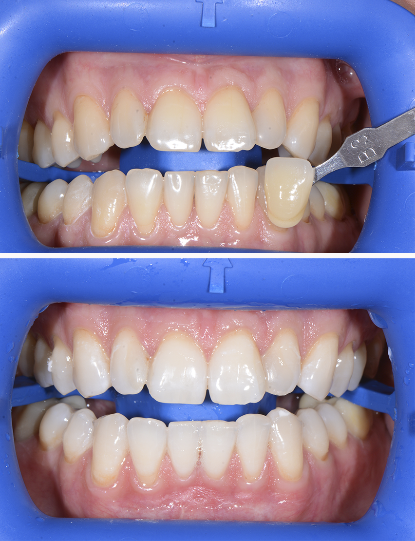
До и после. Отбеливание зубов при повышенной чувствительности (гиперестезии).

Отбеливание имеет ряд противопоказаний, и главное из них - непереносимость перекиси водорода. При наличии аллергии на это вещество отбеливание делать нельзя ни при каких условиях. Но если честно, я такого еще не встречала в практике. А вот повышенная чувствительность, которая сопровождает разные дефекты эмали, а также рецессии десен (оголение шеек и корней зубов), является относительным противопоказанием. Во-первых, сама по себе повышенная чувствительность не даст полноценно провести процедуру. А во-вторых, высокие концентрации перекиси водорода предназначены только для нанесения на эмаль зубов. А там, где есть дефекты эмали (например, клиновидные) и рецессии - эмали нет. К тому же не забываем про кариес - перед отбеливанием его надо устранить. И теперь к клиническому случаю У этого пациента всю сознательную жизнь была повышенная чувствительность эмали, вызванная клиновидными дефектами и незначительной рецессией десен. Помню, первые профессиональные гигиены тоже были не очень приятные
Оглавление

Отбеливание имеет ряд противопоказаний, и главное из них - непереносимость перекиси водорода. При наличии аллергии на это вещество отбеливание делать нельзя ни при каких условиях. Но если честно, я такого еще не встречала в практике.

А вот повышенная чувствительность, которая сопровождает разные дефекты эмали, а также рецессии десен (оголение шеек и корней зубов), является относительным противопоказанием.

Во-первых, сама по себе повышенная чувствительность не даст полноценно провести процедуру. А во-вторых, высокие концентрации перекиси водорода предназначены только для нанесения на эмаль зубов. А там, где есть дефекты эмали (например, клиновидные) и рецессии - эмали нет. К тому же не забываем про кариес - перед отбеливанием его надо устранить.

И теперь к клиническому случаю

У этого пациента всю сознательную жизнь была повышенная чувствительность эмали, вызванная клиновидными дефектами и незначительной рецессией десен.

Помню, первые профессиональные гигиены тоже были не очень приятные, но со временем специальными средствами удалось справиться с гиперестезией.

Этими же средствами мы подготовили пациента к отбеливанию. За две недели до мероприятия началась реминерализующая терапия в домашних условиях, которая позволила нам провести полный курс отбеливания зубов системой Zoom! WhiteSpeed (или Zoom4).

Также при подготовке к нанесению отбеливающего геля все слабые места (шейки, клиновидные дефекты) были изолированы жидким коффердамом, чтобы гель на эти участки не попал.

Про цвет

Вы можете заметить, что шейки так и остались желтоватыми. Это происходит из-за того, что в этих местах эмаль сходит на нет, и дентин (который придает цвет зубу) становится более заметным.

Соответственно и до, и после отбеливания разница в цвете остается, и это совершенно нормально. При улыбке и разговоре эти места не видно, потому что шейки закрывают губы, поэтому эстетика тут никак не страдает.

Но есть пациенты, которых такой результат не устраивает. В этом случае пациент сразу ориентируется на керамические виниры. С их помощью человек получит стабильный цвет на протяжении всей эксплуатации протезирования, а также сможет скорректировать форму зубов и устранить все раздражающие дефекты.

Поэтому прежде, чем делать что-либо со своими зубами, обязательно проконсультируйтесь со стоматологом, чтобы ваши ожидания совпали с реальностью.

Другие интересные статьи тут: