Добавить в корзинуПозвонить
Найти в Дзене

Сифилис- инфекционное поражение. Как выглядит сифилис в полости рта...

Как писал Роберт Маркс: "Если представленная информация позволит спасти хотя бы одну жизнь, даже этого будет не мало." Все больше и больше людей страдают патологиями слизистых оболочек полости рта и челюстно-лицевой области, и к сожалению, порой не воспринимают появившиеся высыпания/образования/ болевые ощущения за сигнал к действию. Если вы заметили даже малейшее отклонение необходимо незамедлительно обратиться к врачу. Сегодня рассмотрим с вами: Так сложилось, что многие, даже общие заболевания, как инфекционные так и хронические, не связанные только со стоматологией, а затрагивающие организм в целом, на начальной стадии диагностируется именно в кресле стоматолога. За основу моих статей по патологиям полости рта и челюстно-лицевой области взята одноименная книга Роберта Маркса в великолепном переводе Александра Островского, знакомству с которым я бесконечно рада. В книге очень удобно описано каждое заболевание и автор не прибегает к витиеватым сложно сочиненным фразам, стремясь зап
Оглавление

Как писал Роберт Маркс: "Если представленная информация позволит спасти хотя бы одну жизнь, даже этого будет не мало."

Все больше и больше людей страдают патологиями слизистых оболочек полости рта и челюстно-лицевой области, и к сожалению, порой не воспринимают появившиеся высыпания/образования/ болевые ощущения за сигнал к действию.

Если вы заметили даже малейшее отклонение необходимо незамедлительно обратиться к врачу.

Сегодня рассмотрим с вами:

  1. Характер заболеваний
  2. Путь приобретения
  3. Стадии сифилиса и их проявления в полости рта и челюстно-лицевой области.
  4. Предрасположенность
  5. Распространенность
  6. Лечение

Так сложилось

Так сложилось, что многие, даже общие заболевания, как инфекционные так и хронические, не связанные только со стоматологией, а затрагивающие организм в целом, на начальной стадии диагностируется именно в кресле стоматолога.

За основу моих статей по патологиям полости рта и челюстно-лицевой области взята одноименная книга Роберта Маркса в великолепном переводе Александра Островского, знакомству с которым я бесконечно рада. В книге очень удобно описано каждое заболевание и автор не прибегает к витиеватым сложно сочиненным фразам, стремясь запутать. А представляет понятный алгоритм диагностики и действий по многим патологическим состояниям слизистых оболочек полости рта и челюстно-лицевой области.

Сифилис

Сифилис пришел к нам из древних времен. По разным теориям и суждениям распространенность сифилиса приписывалось то одному, то другому государству и народу. Но если честно, с тем как умело тот или иной народ умеет переписывать историю, то и до истины докопаться будет сложно. Да и надо ли? Не думаю! Но то что раньше лечение сифилиса было не возможно- это факт, да и были времена, когда считалось, что сифилис и гонорея относятся к одному заболеванию, что тоже не верно!

Характер заболевания

  1. Сифилис- это инфекционное заболевание;
  2. Передается половым путем, как говорится где нагрешили там и проявилось;
  3. Treponema pallidum - является специфическим возбудителем;

Врожденный сифилис

Врожденный сифилис встречается как у мальчиков так и у девочек. Для детей характерны следующие проявления:

1. Трещины кожи в углах рта;

2. Деформация носа в связи с отсутствием перегородки и сошника;

3. Центральные зубы отверткообразной формы;

4. Моляры (жевательные зубы) имеют форму тутовых ягод;

Стадии сифилиса и их проявления в полости рта и челюстно-лицевой области.

При подозрении на любую стадию сифилиса необходимо обратится к инфекционисту.

  1. Первичный сифилис
Сифилитический шанкр
Сифилитический шанкр

При первичном сифилисе мы наблюдаем шанкр. Шанкр слабо болезненный с четко ограниченными краями.

2. Вторичный сифилис

Мукозит при вторичном сифилисе.
Мукозит при вторичном сифилисе.

В полости рта при вторичном сифилисе мы видим круглые или овальные эритематозные скопления на слизистой оболочки полости рта, как правило безболезненные.

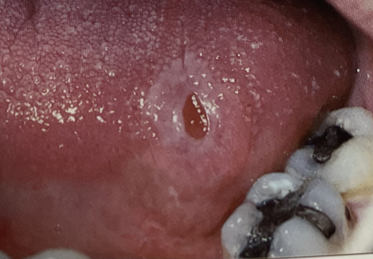
3. Третичный сифилис

Склерозирующий глоссит при третичном сифилисе
Склерозирующий глоссит при третичном сифилисе

Третичный сифилис разнообразен в своем проявлении. В запущенной третьей стадии мы сможем наблюдать и склерозирующий глоссит, ороназальный свищ, потерю координации и многое другое.

Предрасположенность

Чаще всего сифилис встречается у взрослых мужчин.

Распространенность

На сегодняшний день, согласно разным источникам, в нашей стране заболеваемость сифилисом находится на низком уровне и продолжает снижаться.

Лечение

При первичном и вторичном сифилисе лечение заключается в однократном введении лекарственных препаратов.

История из жизни

Расскажу вам такую историю, историю из далеких студенческих времен. На инфекционном отделении у нас на приеме две молодые девушки периодически менялись косметикой, что кстати очень важно. Встретились они как-то за чашкой кофе. Одна другой показала новую помаду, вторая попросила накраситься. У обеих на губах был герпес, у кого не бывает, вот и они на это не обратили внимания. И без проблем одна подруга дала другой свою помаду. Все бы ничего, только у одной был герпес, а вот у обладательницы новой помады был сифилитический шанкр... Итак подруга не только поделилась новой помадой с девушкой, но и еще и сифилисом. Вот такая не очень радостная история. На первых стадиях сифилис остро заразен.

Друзья, будьте аккуратны и внимательны к своему здоровью и помните, что любую болезнь проще, быстрее и дешевле лечить на ее начальных этапах.

С уважением Гришенина Юлия Валерьевна.

В следующей статье поговорим про афтозный стоматит.

Также советуем ознакомиться с нашей предыдущей статьей: "Заболевания полости рта и их возможные неизлечимые последствия".