Добавить в корзинуПозвонить
Найти в Дзене
Пищевая Алхимия

Молчаливые убийцы. Электронные сигареты

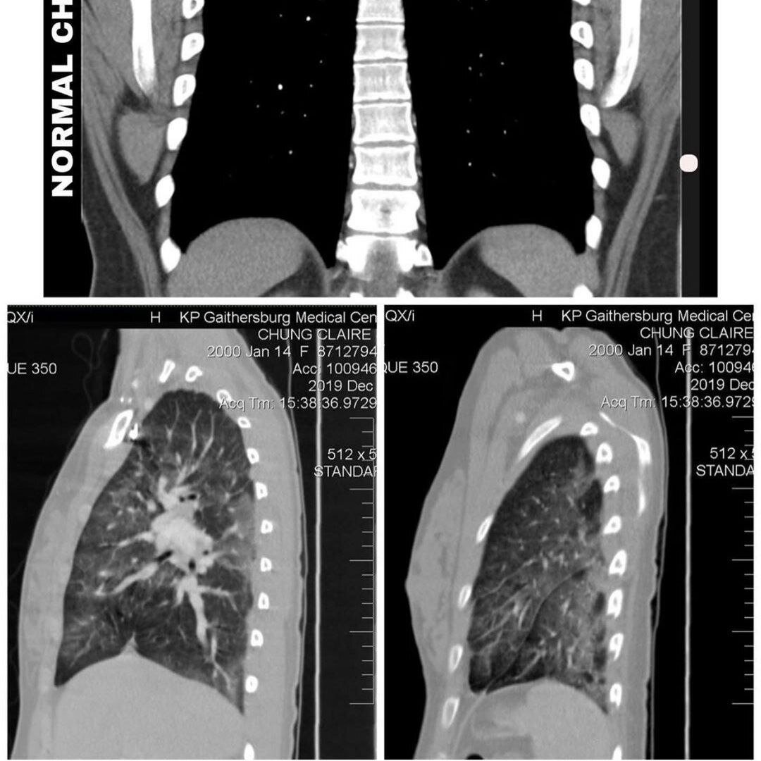
Прочитал историю 19-ти летней девушки Claire и скажу честно у меня волосы зашевелились в самых интересных местах! . Суть такова (полную историю можете почитать у неё в профиле @clairechunggg), что как и большинство подростков она во всю курила вейп (электронная сигарета), полагая, что это просто клевая модная штука Перед Рождеством у неё в течении 3 недель у неё держалась температура под 40 без каких-либо симптомов, предполагая, что это грипп она принимала безрецептурные препараты, но толку от них не было. Рентгенография грудной клетки показала, что у неё была легкая пневмония в нижней части левого легкого. Приём антибиотиков ни помог, поэтому она была доставлена в отделение реанимации . Здоровые легкие при сканировании должны быть черными. Её 19-летние легкие были полностью мутными и белыми на снимках. Врачи не могли определить, показывало ли при сканировании жидкость, кровь, бактерии, инфекции и т. д. Как следствие они не могли фактически понять, от чего нужно лечить Claire . После

Прочитал историю 19-ти летней девушки Claire и скажу честно у меня волосы зашевелились в самых интересных местах!

.

Суть такова (полную историю можете почитать у неё в профиле @clairechunggg), что как и большинство подростков она во всю курила вейп (электронная сигарета), полагая, что это просто клевая модная штука

Перед Рождеством у неё в течении 3 недель у неё держалась температура под 40 без каких-либо симптомов, предполагая, что это грипп она принимала безрецептурные препараты, но толку от них не было. Рентгенография грудной клетки показала, что у неё была легкая пневмония в нижней части левого легкого. Приём антибиотиков ни помог, поэтому она была доставлена в отделение реанимации

.

Здоровые легкие при сканировании должны быть черными. Её 19-летние легкие были полностью мутными и белыми на снимках. Врачи не могли определить, показывало ли при сканировании жидкость, кровь, бактерии, инфекции и т. д. Как следствие они не могли фактически понять, от чего нужно лечить Claire

.

После проведения еще многих анализов и бронхоскопии было установлено, что инфекции не было и что легочная ткань была просто полностью разрушена от использования Juul, паров и масляных картриджей

.

Сейчас Claire принимает большое количество препаратов, стероидов и проходит процесс восстановления

.

Бронхи ЧРЕЗВЫЧАЙНО воспалены, и вся белая мутность (которая должна быть черной и чистой при здоровом сканировании) - это поврежденная ткань. Никаких исследований по влиянию электронных сигарет нет, поэтому врачи и не думают на них зачастую, полая что это просто очередная забава

.

Самая страшная часть в том, что, несмотря на степень ущерба, у неё никогда не было одышки, кашля, хрипов, боли в груди или каких-либо признаков респираторного расстройства или проблем

.

А теперь вопрос : УЧИТЫВАЮТ ЛИ ВРАЧИ В ЛЕЧЕНИИ ПИЩЕВЫЕ ДОБАВКИ?

.

Электронные сигареты и кальяны доступны так же как и пищевые добавки

.

Следующий вопрос: ПРОХОДЯТ ЛИ СТУДЕНТЫ МЕДВУЗОВ КУРС ПО ВЛИЯНИЮ ПИЩЕВЫХ ДОБАВОК НА ОРГАНИЗМ ЧЕЛОВЕКА?

.

Если электронная сигарета такой молчаливый убийцы, то пищевые добавки просто ниндзя, при этом полностью легализованные!

-2
-3
-4
-5
-6
-7
-8
-9