Найти в Дзене
ProЗубы

Как меньше тратить на стоматологов?

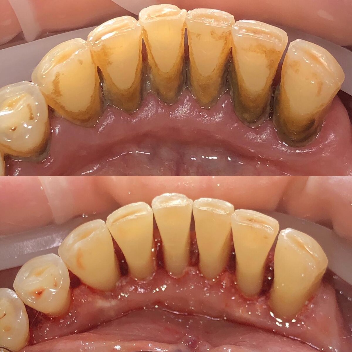
Предотвратить болезнь всегда дешевле, чем потом её лечить. Максимально простое правило, но помнят о нём и применяют в жизни далёко не все. Не в последнюю очередь это касается зубов и дёсен. С детства нас учат, что надо чистить зубы по утрам и вечерам; глянцевые журналы и кино объяснили нам, что белоснежная улыбка - символ здоровья и успеха. Это всё мы помним, но пока зубы не болят, мы не всегда соблюдаем то, чему нас учили. А правильно ли нас учили и не врут ли те самые 9 из 10 стоматологов из рекламы. Как меньше тратить на стоматологов❓ Когда вы в последний раз были у гигиениста? Даже не так. Вы когда-нибудь были у гигиениста? Именно стоматологи-гигиенисты предотвращают болезни зубов. Они учат нас правильно чистить зубы. Индивидуально технику подбирает врач, стоматологический гигиенист. - И жёсткость щётки тоже должен определить специалист, это строго индивидуально. Нельзя на основе рекламы определить, нужна ли вам паста с фтором или кальцием или с экстрактом сосновой шишки. Помните,

Предотвратить болезнь всегда дешевле, чем потом её лечить. Максимально простое правило, но помнят о нём и применяют в жизни далёко не все. Не в последнюю очередь это касается зубов и дёсен. С детства нас учат, что надо чистить зубы по утрам и вечерам; глянцевые журналы и кино объяснили нам, что белоснежная улыбка - символ здоровья и успеха. Это всё мы помним, но пока зубы не болят, мы не всегда соблюдаем то, чему нас учили. А правильно ли нас учили и не врут ли те самые 9 из 10 стоматологов из рекламы.

Как меньше тратить на стоматологов❓

-2

Когда вы в последний раз были у гигиениста? Даже не так. Вы когда-нибудь были у гигиениста? Именно стоматологи-гигиенисты предотвращают болезни зубов. Они учат нас правильно чистить зубы.

Индивидуально технику подбирает врач, стоматологический гигиенист. - И жёсткость щётки тоже должен определить специалист, это строго индивидуально.

Нельзя на основе рекламы определить, нужна ли вам паста с фтором или кальцием или с экстрактом сосновой шишки. Помните, что паста - это лекарство. А лекарство назначает врач. Но чистит зубы не паста, а щётка, паста лишь помогает добиться наилучшего результата. Стоматологи ещё советуют использовать зубную нить, но что делать, если после использования нити дёсны кровоточат.

-3

Больные зубы, больные дёсны влияют на здоровье всего организма. Болезни полости рта приводят к язве желудка, заболеваниям сердца, почек, суставов, выкидышам у беременных женщин, отрицательно влияют на репродуктивные способности мужчин.

Белые зубы не значит здоровые зубы. Здоровье зубов не имеет ничего общего с их цветом. Не проводите отбеливание зубов самостоятельно без консультации с врачом, дабы не довести до ожогов десны, и повышенной чувствительности зубов.

Какой отсюда вывод?

Важно, хотя бы раз в год приходить на профессиональный осмотр. Ведь всегда лучше болезнь предотвратить, чем потом ее лечить.

С любовью, ПроЗубы!