Добавить в корзинуПозвонить
Найти в Дзене

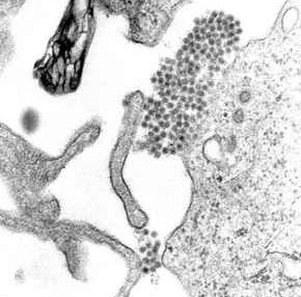
Ученые ЮФУ открыли еще один секрет самосборки вирусов в клетках

Исследование поможет бороться с одним из вариантов лихорадки Исследователи из Южного федерального университета совместно с учеными из Китая и Словении изучили способ, с помощью которого некоторые из вирусов собираются из белковых молекул в клетках. Потенциально исследование может помочь создать препараты для лечения и профилактики некоторых вариантов лихорадки. Итоги исследования опубликовал научный журнал Nanoscale Advances. Ученые сосредоточились на том, каким образом молекулы в пораженных вирусом клетках собираются в оболочку вируса. Оболочки вирусов, если попытаться их представить, похожи на футуристические жилища из ячеек правильной формы. И до сих не была изучена ситуация, когда оболочки вирусов собираются из одинаковых ячеек с количеством молекул меньше пяти. Так ведет себя, например, вызывающий лихорадку вирус Денге. Специалисты создали математическую модель и проверили ее на компьютерах. Модель показала, что молекулы ячеек оболочки вирусов выстраиваются так, чтобы центры тяжес

Исследование поможет бороться с одним из вариантов лихорадки

Исследователи из Южного федерального университета совместно с учеными из Китая и Словении изучили способ, с помощью которого некоторые из вирусов собираются из белковых молекул в клетках. Потенциально исследование может помочь создать препараты для лечения и профилактики некоторых вариантов лихорадки. Итоги исследования опубликовал научный журнал Nanoscale Advances.

Ученые сосредоточились на том, каким образом молекулы в пораженных вирусом клетках собираются в оболочку вируса. Оболочки вирусов, если попытаться их представить, похожи на футуристические жилища из ячеек правильной формы. И до сих не была изучена ситуация, когда оболочки вирусов собираются из одинаковых ячеек с количеством молекул меньше пяти. Так ведет себя, например, вызывающий лихорадку вирус Денге.

Специалисты создали математическую модель и проверили ее на компьютерах. Модель показала, что молекулы ячеек оболочки вирусов выстраиваются так, чтобы центры тяжести молекул соответствовали определенному правилу.

Однако более важным ученые считают открытие правил, по которым «молодые» вирусы перестраивают свои оболочки внутри клетки перед выходом наружу. Зная это правило, можно создать препараты, нарушающие этот процесс. А значит замедляющие распространение вируса в организме.

Биология
8125 интересуются