Добавить в корзинуПозвонить
Найти в Дзене
Юлия Селютина

Ортодонтическое лечение в сменном прикусе

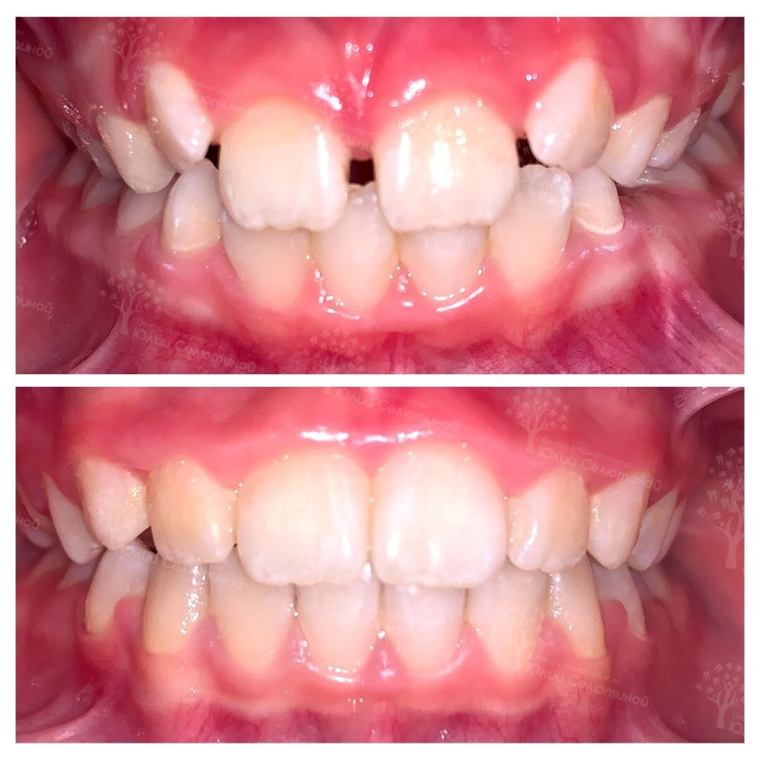
Не перестаю восхищаться профессионализму ортодонтов в #ЦентрСелютиной! В этом случае обошлись без брекетов и даже без пластики уздечки верхней губы. Как это удалось, рассказываю и показываю. У этого пациента были жалобы на: • неправильное положение зубов; • диастему — щель между верхними центральными резцами; • на эстетику улыбки, точнее ее несовершенство. А еще посмотрите внимательно: центральные линии не совпадают — зубы "съехали" вбок из-за ранней потери молочного зуба. Постоянные сместились в сторону пустоты. Это повод задуматься о своевременном лечении молочных — они важны для формирования постоянного прикуса❗ ✔️Ортодонт Гаянэ Майтесян начала лечение с индивидуального пластиночного аппарата на верхней челюсти. Через 9 месяцев получили нужный результат. Он промежуточный! Дальше перешли на индивидуальную капу и миогимнастику. • Всего срок ортолечения составил 1,5 года. Последние полгода пациент надевал капу только на ночь. Но поставленных целей достигли: с помощью упражнений под

Не перестаю восхищаться профессионализму ортодонтов в #ЦентрСелютиной!

В этом случае обошлись без брекетов и даже без пластики уздечки верхней губы.

Как это удалось, рассказываю и показываю.

У этого пациента были жалобы на:

• неправильное положение зубов;

• диастему — щель между верхними центральными резцами;

• на эстетику улыбки, точнее ее несовершенство.

А еще посмотрите внимательно: центральные линии не совпадают — зубы "съехали" вбок из-за ранней потери молочного зуба.

Постоянные сместились в сторону пустоты.

Это повод задуматься о своевременном лечении молочных — они важны для формирования постоянного прикуса❗

✔️Ортодонт Гаянэ Майтесян начала лечение с индивидуального пластиночного аппарата на верхней челюсти.

Через 9 месяцев получили нужный результат.

Он промежуточный!

Дальше перешли на индивидуальную капу и миогимнастику.

• Всего срок ортолечения составил 1,5 года.

Последние полгода пациент надевал капу только на ночь.

Но поставленных целей достигли:

с помощью упражнений под действием собственных мышц сформировали окклюзию (смыкание) постоянных зубов,

центральные линии практически совпадают,

диастему закрыли — без вмешательства хирурга и пластики уздечки!

Коррекция положения зубов в сменном прикусе дает очень хороший результат и задел на будущее.

С хорошим прогнозом можно исправить прикус без брекетов.

Показания к пластике уздечки верхней губы у детей сведены к минимуму.

Если врач грамотный и знает биомеханику перемещения зубов, учитывает особенности анатомии и роста челюстей, то он сможет достичь положительного результата при помощи пластинок и кап.

Высший пилотаж, я считаю!

Врачи, к которым дети идут с удовольствием, принимают тут 📍Москва, ул. Крылатские холмы, д. 32, к. 2

📲+7 495 125 48 84

ИМЕЮТСЯ ПРОТИВОПОКАЗАНИЯ. НЕОБХОДИМА КОНСУЛЬТАЦИЯ СПЕЦИАЛИСТА.