Добавить в корзинуПозвонить
Найти в Дзене
4pda.to

Создан «живой» кровеносный сосуд, растущий после пересадки

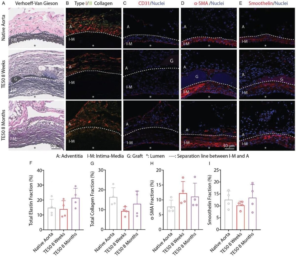
Международная группа учёных под руководством Сиднейского университета создала технологию производства синтетических кровеносных сосудов. Искусственные вены не вызывают иммунного отклика и даже обрастают новыми клетками внутри себя после трансплантации. Технология использует только два природных материала, которые хорошо приживаются в организме. Каркас выполнен из тропоэластина, упакованного в эластичную оболочку, способствующую формированию высокоорганизованных естественных имитаторов функционирующих кровеносных сосудов. После пересадки она рассасывается, оставляя пористые «трубки». Со временем они зарастают новыми клетками, вследствие чего сосуд становится по большей части «живым». Искусственный кровеносный сосуд можно безопасно и долго хранить в стерильном пластике, как одноразовый шприц. Создатели позиционируют свою разработку как многообещающий инструмент для изучения заболеваний, таких как диабет и рак. Также она облегчит участь детей, нуждающихся в трансплантации сосудов, так как

Международная группа учёных под руководством Сиднейского университета создала технологию производства синтетических кровеносных сосудов. Искусственные вены не вызывают иммунного отклика и даже обрастают новыми клетками внутри себя после трансплантации.

Технология использует только два природных материала, которые хорошо приживаются в организме. Каркас выполнен из тропоэластина, упакованного в эластичную оболочку, способствующую формированию высокоорганизованных естественных имитаторов функционирующих кровеносных сосудов. После пересадки она рассасывается, оставляя пористые «трубки». Со временем они зарастают новыми клетками, вследствие чего сосуд становится по большей части «живым».

-2

Искусственный кровеносный сосуд можно безопасно и долго хранить в стерильном пластике, как одноразовый шприц. Создатели позиционируют свою разработку как многообещающий инструмент для изучения заболеваний, таких как диабет и рак. Также она облегчит участь детей, нуждающихся в трансплантации сосудов, так как по мере взросления требуются новые операции и замены имплантов — эти же будут расти вместе с ними.